Suppr超能文献

一名成年男性自然发生的纵隔畸胎瘤伴恶性转化

Naturally occurring mediastinal teratoma with malignant transformation in an adult male.

作者信息

Kim Ho Jin, Kim Hyeong Ryul

机构信息

Department of Thoracic and Cardiovascular Surgery, Asan Medical Center, University of Ulsan College of Medicine, Korea.

出版信息

Korean J Thorac Cardiovasc Surg. 2013 Aug;46(4):305-8. doi: 10.5090/kjtcs.2013.46.4.305. Epub 2013 Aug 6.

Abstract

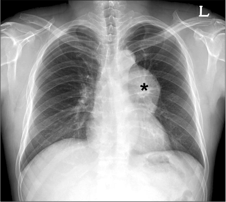
We report a rare case of rhabdomyosarcoma spontaneously arising in an anterior mediastinal teratoma in a 47-year-old male. The patient was found to have an anterior mediastinal mass on a chest X-ray, which was taken two months before his presentation to Asan Medical Center. A subsequent computed tomography scan revealed an 8.9×7.1×8.0 cm heterogeneous mass in the anterior mediastinum. He underwent an excision via median sternotomy. The histopathologic study identified a mature teratoma with embryonal rhabdomyosarcoma.

摘要

我们报告了一例罕见的横纹肌肉瘤病例,该肿瘤自发发生于一名47岁男性的前纵隔畸胎瘤内。患者在就诊于峨山医学中心前两个月拍摄的胸部X光片上发现前纵隔有肿块。随后的计算机断层扫描显示前纵隔有一个8.9×7.1×8.0厘米的异质性肿块。他通过正中胸骨切开术进行了切除。组织病理学研究发现是一个伴有胚胎性横纹肌肉瘤的成熟畸胎瘤。

https://cdn.ncbi.nlm.nih.gov/pmc/blobs/865f/3756166/78f3836e98a1/kjtcs-46-305-g001.jpg

文献AI研究员

20分钟写一篇综述,助力文献阅读效率提升50倍。

立即体验

用中文搜PubMed

大模型驱动的PubMed中文搜索引擎

马上搜索

文档翻译

学术文献翻译模型,支持多种主流文档格式。

立即体验