• 文献检索
  • 文档翻译
  • 深度研究
  • 学术资讯
  • Suppr Zotero 插件Zotero 插件
  • 邀请有礼
  • 套餐&价格
  • 历史记录
应用&插件
Suppr Zotero 插件Zotero 插件浏览器插件Mac 客户端Windows 客户端微信小程序
定价
高级版会员购买积分包购买API积分包
服务
文献检索文档翻译深度研究API 文档MCP 服务
关于我们
关于 Suppr公司介绍联系我们用户协议隐私条款
关注我们

Suppr 超能文献

核心技术专利:CN118964589B侵权必究
粤ICP备2023148730 号-1Suppr @ 2026

文献检索

告别复杂PubMed语法,用中文像聊天一样搜索,搜遍4000万医学文献。AI智能推荐,让科研检索更轻松。

立即免费搜索

文件翻译

保留排版,准确专业,支持PDF/Word/PPT等文件格式,支持 12+语言互译。

免费翻译文档

深度研究

AI帮你快速写综述,25分钟生成高质量综述,智能提取关键信息,辅助科研写作。

立即免费体验

α-生育三烯酚对海人酸诱导的器官型海马脑片培养神经毒性的神经保护作用。

Neuroprotective effects of α-tocotrienol on kainic acid-induced neurotoxicity in organotypic hippocampal slice cultures.

机构信息

Department of Physiology, Brain Korea 21 Project for Medical Science, Yonsei University College of Medicine, Seoul 120-752, Korea.

出版信息

Int J Mol Sci. 2013 Sep 5;14(9):18256-68. doi: 10.3390/ijms140918256.

DOI:10.3390/ijms140918256
PMID:24013375
原文链接:https://pmc.ncbi.nlm.nih.gov/articles/PMC3794779/
Abstract

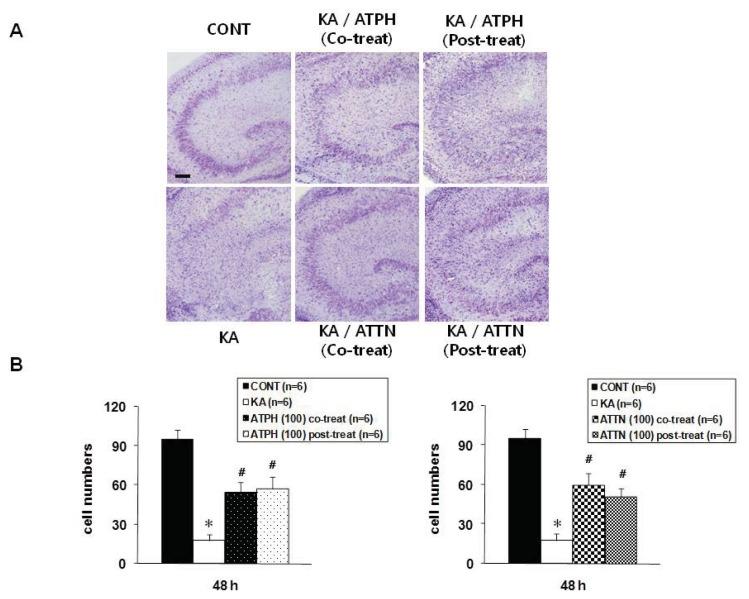
Vitamin E, such as alpha-tocopherol (ATPH) and alpha-tocotrienol (ATTN), is a chain-breaking antioxidant that prevents the chain propagation step during lipid peroxidation. In the present study, we investigated the effects of ATTN on KA-induced neuronal death using organotypic hippocampal slice culture (OHSC) and compared the neuroprotective effects of ATTN and ATPH. After 15 h KA (5 µM) treatment, delayed neuronal death was detected in the CA3 region and reactive oxygen species (ROS) formation and lipid peroxidation were also increased. Both co-treatment and post-treatment of ATPH (100 µM) or ATTN (100 µM) significantly increased the cell survival and reduced the number of TUNEL-positive cells in the CA3 region. Increased dichlorofluorescein (DCF) fluorescence and levels of thiobarbiturate reactive substances (TBARS) were decreased by ATPH and ATTN treatment. These data suggest that ATPH and ATTN treatment have protective effects on KA-induced cell death in OHSC. ATTN treatment tended to be more effective than ATPH treatment, even though there was no significant difference between ATPH and ATTN in co-treatment or post-treatment.

摘要

维生素 E,如α-生育酚(ATPH)和α-生育三烯酚(ATTN),是一种链断裂抗氧化剂,可防止脂质过氧化过程中的链传播步骤。在本研究中,我们使用器官型海马切片培养(OHSC)研究了 ATTN 对 KA 诱导的神经元死亡的影响,并比较了 ATTN 和 ATPH 的神经保护作用。在 KA(5 µM)处理 15 h 后,在 CA3 区检测到迟发性神经元死亡,并且还增加了活性氧(ROS)形成和脂质过氧化。ATP 和 ATT 共处理和后处理(100 µM)均显著增加了 CA3 区的细胞存活率并减少了 TUNEL 阳性细胞的数量。二氯荧光素(DCF)荧光的增加和硫代巴比妥酸反应物质(TBARS)的水平通过 ATPH 和 ATT 处理降低。这些数据表明,ATP 和 ATT 处理对 OHSC 中 KA 诱导的细胞死亡具有保护作用。ATT 处理的效果趋于优于 ATPH 处理,尽管在共处理或后处理中,ATP 和 ATT 之间没有显著差异。

https://cdn.ncbi.nlm.nih.gov/pmc/blobs/7827/3794779/5f18bf0710c5/ijms-14-18256f4.jpg
https://cdn.ncbi.nlm.nih.gov/pmc/blobs/7827/3794779/7d407ffa96ff/ijms-14-18256f1.jpg
https://cdn.ncbi.nlm.nih.gov/pmc/blobs/7827/3794779/dd58b4c9da77/ijms-14-18256f2a.jpg
https://cdn.ncbi.nlm.nih.gov/pmc/blobs/7827/3794779/49cb9da78808/ijms-14-18256f3.jpg
https://cdn.ncbi.nlm.nih.gov/pmc/blobs/7827/3794779/5f18bf0710c5/ijms-14-18256f4.jpg
https://cdn.ncbi.nlm.nih.gov/pmc/blobs/7827/3794779/7d407ffa96ff/ijms-14-18256f1.jpg
https://cdn.ncbi.nlm.nih.gov/pmc/blobs/7827/3794779/dd58b4c9da77/ijms-14-18256f2a.jpg
https://cdn.ncbi.nlm.nih.gov/pmc/blobs/7827/3794779/49cb9da78808/ijms-14-18256f3.jpg
https://cdn.ncbi.nlm.nih.gov/pmc/blobs/7827/3794779/5f18bf0710c5/ijms-14-18256f4.jpg

相似文献

1
Neuroprotective effects of α-tocotrienol on kainic acid-induced neurotoxicity in organotypic hippocampal slice cultures.α-生育三烯酚对海人酸诱导的器官型海马脑片培养神经毒性的神经保护作用。
Int J Mol Sci. 2013 Sep 5;14(9):18256-68. doi: 10.3390/ijms140918256.
2
Neuroprotective effect of melatonin against kainic acid-induced oxidative injury in hippocampal slice culture of rats.褪黑素对大鼠海马脑片培养物中 kainic 酸诱导的氧化损伤的神经保护作用。
Int J Mol Sci. 2014 Apr 9;15(4):5940-51. doi: 10.3390/ijms15045940.
3
Neuroprotective effects of FK506 against excitotoxicity in organotypic hippocampal slice culture.FK506 对器官型海马切片培养中兴奋性毒性的神经保护作用。
Neurosci Lett. 2010 May 3;474(3):126-130. doi: 10.1016/j.neulet.2010.03.009. Epub 2010 Mar 10.
4
Coenzyme Q10 protects neurons against neurotoxicity in hippocampal slice culture.辅酶Q10在海马脑片培养中保护神经元免受神经毒性作用。
Neuroreport. 2011 Oct 5;22(14):721-6. doi: 10.1097/WNR.0b013e32834acb8d.
5
Characterization of the potent neuroprotective properties of the natural vitamin E alpha-tocotrienol.天然维生素Eα-生育三烯酚强大的神经保护特性的表征
J Neurochem. 2006 Sep;98(5):1474-86. doi: 10.1111/j.1471-4159.2006.04000.x.
6
Neuroprotective effects of a protein tyrosine phosphatase inhibitor against hippocampal excitotoxic injury.蛋白酪氨酸磷酸酯酶抑制剂对海马兴奋性损伤的神经保护作用。
Brain Res. 2019 Sep 15;1719:133-139. doi: 10.1016/j.brainres.2019.05.027. Epub 2019 May 22.
7
Comparison of excitotoxic profiles of ATPA, AMPA, KA and NMDA in organotypic hippocampal slice cultures.ATPA、AMPA、KA和NMDA在器官型海马切片培养物中的兴奋毒性特征比较。
Brain Res. 2001 Oct 26;917(1):21-44. doi: 10.1016/s0006-8993(01)02900-6.
8
Histaminergic neurons protect the developing hippocampus from kainic acid-induced neuronal damage in an organotypic coculture system.在器官型共培养系统中,组胺能神经元可保护发育中的海马体免受海藻酸诱导的神经元损伤。
J Neurosci. 2006 Jan 25;26(4):1088-97. doi: 10.1523/JNEUROSCI.1369-05.2006.
9
Alpha-tocotrienol provides the most potent neuroprotection among vitamin E analogs on cultured striatal neurons.在维生素E类似物中,α-生育三烯酚对培养的纹状体神经元具有最强的神经保护作用。
Neuropharmacology. 2004 Nov;47(6):904-15. doi: 10.1016/j.neuropharm.2004.06.029.
10
Role of polyamine metabolism in kainic acid excitotoxicity in organotypic hippocampal slice cultures.多胺代谢在海马脑片培养物中红藻氨酸兴奋性毒性中的作用。
J Neurochem. 2001 Dec;79(5):976-84. doi: 10.1046/j.1471-4159.2001.00650.x.

引用本文的文献

1
Association between composite dietary antioxidant index and cognitive function impairment among the US older adults: a cross-sectional study based on the NHANES 2011-2014.美国老年人复合膳食抗氧化指数与认知功能障碍之间的关联:一项基于2011 - 2014年美国国家健康与营养检查调查(NHANES)的横断面研究
Front Nutr. 2024 Nov 22;11:1471981. doi: 10.3389/fnut.2024.1471981. eCollection 2024.
2
Tocotrienols Prevent the Decline of Learning Ability in High-Fat, High-Sucrose Diet-Fed C57BL/6 Mice.生育三烯酚可预防高脂肪高蔗糖饮食喂养的 C57BL/6 小鼠学习能力下降。
Int J Mol Sci. 2024 Mar 21;25(6):3561. doi: 10.3390/ijms25063561.
3
Biocompatibility of Platinum Nanoparticles in Brain Models in Physiological and Pathological Conditions.

本文引用的文献

1
CCl4 induces tissue-type plasminogen activator in rat brain; protective effects of oregano, rosemary or vitamin E.四氯化碳诱导大鼠脑组织型纤溶酶原激活物;牛至、迷迭香或维生素E的保护作用。
Food Chem Toxicol. 2013 Nov;61:196-202. doi: 10.1016/j.fct.2013.06.049. Epub 2013 Jul 4.
2
Tissue distribution of vitamin E metabolites in rats after oral administration of tocopherol or tocotrienol.口服生育酚或生育三烯酚后大鼠体内维生素E代谢产物的组织分布
J Nutr Sci Vitaminol (Tokyo). 2011;57(5):326-32. doi: 10.3177/jnsv.57.326.
3
Coenzyme Q10 protects neurons against neurotoxicity in hippocampal slice culture.
铂纳米颗粒在生理和病理条件下脑模型中的生物相容性
Front Neurosci. 2021 Dec 15;15:787518. doi: 10.3389/fnins.2021.787518. eCollection 2021.
4
Neuroprotective Effect of Antioxidants in the Brain.抗氧化剂对大脑的神经保护作用。
Int J Mol Sci. 2020 Sep 28;21(19):7152. doi: 10.3390/ijms21197152.
5
Tissue Response to Neural Implants: The Use of Model Systems Toward New Design Solutions of Implantable Microelectrodes.组织对神经植入物的反应:利用模型系统寻求可植入微电极的新设计解决方案
Front Neurosci. 2019 Jul 5;13:689. doi: 10.3389/fnins.2019.00689. eCollection 2019.
6
Effects of Aging and Tocotrienol-Rich Fraction Supplementation on Brain Arginine Metabolism in Rats.衰老和富含生育三烯酚的馏分对大鼠大脑精氨酸代谢的影响。
Oxid Med Cell Longev. 2017;2017:6019796. doi: 10.1155/2017/6019796. Epub 2017 Nov 19.
7
Neuroprotective effect of melatonin against kainic acid-induced oxidative injury in hippocampal slice culture of rats.褪黑素对大鼠海马脑片培养物中 kainic 酸诱导的氧化损伤的神经保护作用。
Int J Mol Sci. 2014 Apr 9;15(4):5940-51. doi: 10.3390/ijms15045940.
8
Enhanced mossy fiber sprouting and synapse formation in organotypic hippocampal cultures following transient domoic acid excitotoxicity.短暂的软骨藻酸兴奋性毒性作用后,器官型海马培养物中苔藓纤维发芽和突触形成增强。
Neurotox Res. 2014 May;25(4):402-10. doi: 10.1007/s12640-013-9450-z. Epub 2013 Dec 18.
辅酶Q10在海马脑片培养中保护神经元免受神经毒性作用。
Neuroreport. 2011 Oct 5;22(14):721-6. doi: 10.1097/WNR.0b013e32834acb8d.
4
Inhibition of hexokinase leads to neuroprotection against excitotoxicity in organotypic hippocampal slice culture.己糖激酶抑制可导致器官型海马切片培养中对抗兴奋毒性的神经保护作用。
J Neurosci Res. 2011 Jan;89(1):96-107. doi: 10.1002/jnr.22525.
5
Neuroprotective effects of FK506 against excitotoxicity in organotypic hippocampal slice culture.FK506 对器官型海马切片培养中兴奋性毒性的神经保护作用。
Neurosci Lett. 2010 May 3;474(3):126-130. doi: 10.1016/j.neulet.2010.03.009. Epub 2010 Mar 10.
6
Very-high-dose alpha-tocopherol supplementation increases blood pressure and causes possible adverse central nervous system effects in stroke-prone spontaneously hypertensive rats.在易患中风的自发性高血压大鼠中,补充极高剂量的α-生育酚会升高血压,并可能导致中枢神经系统出现不良影响。
J Neurosci Res. 2009 Feb;87(2):556-66. doi: 10.1002/jnr.21851.
7
Anti-oxidant effect of ascorbic and dehydroascorbic acids in hippocampal slice culture.抗坏血酸和脱氢抗坏血酸在海马脑片培养中的抗氧化作用。
Biochem Biophys Res Commun. 2008 Feb 1;366(1):8-14. doi: 10.1016/j.bbrc.2007.11.050. Epub 2007 Nov 26.
8
Neuroprotective effects of 6-hydroxy-2,5,7,8-tetramethylchroman-2-carboxylic acid (Trolox), an antioxidant in middle cerebral artery occlusion induced focal cerebral ischemia in rats.6-羟基-2,5,7,8-四甲基苯并二氢吡喃-2-羧酸(生育三烯酚)作为一种抗氧化剂,对大鼠大脑中动脉闭塞诱导的局灶性脑缺血具有神经保护作用。
Neurol Res. 2007 Apr;29(3):304-9. doi: 10.1179/016164107X158983.
9
Vitamin E protected cultured cortical neurons from oxidative stress-induced cell death through the activation of mitogen-activated protein kinase and phosphatidylinositol 3-kinase.维生素E通过激活丝裂原活化蛋白激酶和磷脂酰肌醇3激酶,保护培养的皮质神经元免受氧化应激诱导的细胞死亡。
J Neurochem. 2006 May;97(4):1191-202. doi: 10.1111/j.1471-4159.2006.03827.x.
10
Protective effect of propofol against kainic acid-induced lipid peroxidation in mouse brain homogenates: comparison with trolox and melatonin.丙泊酚对红藻氨酸诱导的小鼠脑匀浆脂质过氧化的保护作用:与生育三烯酚和褪黑素的比较。
J Neurosurg Anesthesiol. 2005 Jul;17(3):144-8. doi: 10.1097/01.ana.0000167143.67673.53.