Suppr超能文献

环境皮肤病学:水生无脊椎动物所致损伤的皮肤表现

Environmental dermatology: skin manifestations of injuries caused by invertebrate aquatic animals.

作者信息

Haddad Vidal

出版信息

An Bras Dermatol. 2013 Jul-Aug;88(4):496-506. doi: 10.1590/abd1806-4841.20132587.

Abstract

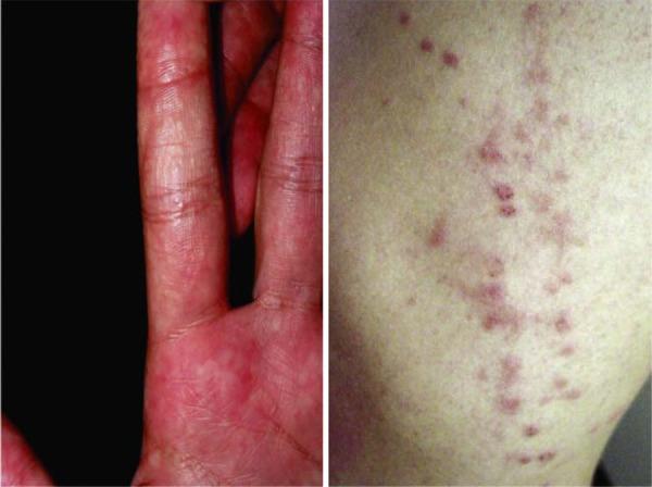
Contact between humans and coastal areas has increased in recent decades, which has led to an increase in injuries from aquatic animals. The majority of these present dermatological manifestations, and some of them show typical lesions. The highest percentages of injuries that occur in marine environments are associated with invertebrates such as sea urchins, jellyfish and Portuguese men-of-war (echinoderms and cnidarians). In this review, we discuss the clinical, therapeutic and preventive aspects of injuries caused by marine and freshwater invertebrates, focusing on first aid measures and diagnosis for dermatologists and professionals in coastal areas.

摘要

近几十年来,人类与沿海地区的接触有所增加,这导致水生动物造成的伤害增多。其中大多数表现为皮肤病症状,有些还呈现出典型病变。在海洋环境中发生的伤害中,最高比例与海胆、水母和僧帽水母等无脊椎动物(棘皮动物和刺胞动物)有关。在本综述中,我们讨论了海洋和淡水无脊椎动物造成伤害的临床、治疗和预防方面,重点关注针对皮肤科医生和沿海地区专业人员的急救措施和诊断方法。

https://cdn.ncbi.nlm.nih.gov/pmc/blobs/9159/3760923/3992e33ad8f6/abd-88-0496-g01.jpg

文献AI研究员

20分钟写一篇综述,助力文献阅读效率提升50倍。

立即体验

用中文搜PubMed

大模型驱动的PubMed中文搜索引擎

马上搜索

文档翻译

学术文献翻译模型,支持多种主流文档格式。

立即体验