• 文献检索
  • 文档翻译
  • 深度研究
  • 学术资讯
  • Suppr Zotero 插件Zotero 插件
  • 邀请有礼
  • 套餐&价格
  • 历史记录
应用&插件
Suppr Zotero 插件Zotero 插件浏览器插件Mac 客户端Windows 客户端微信小程序
定价
高级版会员购买积分包购买API积分包
服务
文献检索文档翻译深度研究API 文档MCP 服务
关于我们
关于 Suppr公司介绍联系我们用户协议隐私条款
关注我们

Suppr 超能文献

核心技术专利:CN118964589B侵权必究
粤ICP备2023148730 号-1Suppr @ 2026

文献检索

告别复杂PubMed语法,用中文像聊天一样搜索,搜遍4000万医学文献。AI智能推荐,让科研检索更轻松。

立即免费搜索

文件翻译

保留排版,准确专业,支持PDF/Word/PPT等文件格式,支持 12+语言互译。

免费翻译文档

深度研究

AI帮你快速写综述,25分钟生成高质量综述,智能提取关键信息,辅助科研写作。

立即免费体验

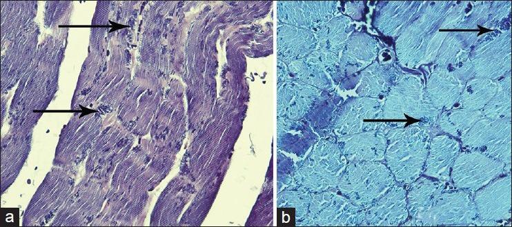
Myopathy with normal creatinine phosphokinase in a young man.

作者信息

Gooneratne Inuka Kishara, Caldera Manjula Chandragomi, Gamage Ranjanie, Samarathunga Shirani, Fernando Janakie

机构信息

Institute of Neurology, National Hospital of Sri Lanka, Sri Lanka.

出版信息

Ann Indian Acad Neurol. 2013 Jul;16(3):407-8. doi: 10.4103/0972-2327.116974.

DOI:10.4103/0972-2327.116974
PMID:24101830
原文链接:https://pmc.ncbi.nlm.nih.gov/articles/PMC3788294/
Abstract
摘要
https://cdn.ncbi.nlm.nih.gov/pmc/blobs/4200/3788294/1c703ea35434/AIAN-16-407-g002.jpg
https://cdn.ncbi.nlm.nih.gov/pmc/blobs/4200/3788294/528639cb70e0/AIAN-16-407-g001.jpg
https://cdn.ncbi.nlm.nih.gov/pmc/blobs/4200/3788294/1c703ea35434/AIAN-16-407-g002.jpg
https://cdn.ncbi.nlm.nih.gov/pmc/blobs/4200/3788294/528639cb70e0/AIAN-16-407-g001.jpg
https://cdn.ncbi.nlm.nih.gov/pmc/blobs/4200/3788294/1c703ea35434/AIAN-16-407-g002.jpg

相似文献

1
Myopathy with normal creatinine phosphokinase in a young man.一名年轻男性患肌酐磷酸激酶正常的肌病。
Ann Indian Acad Neurol. 2013 Jul;16(3):407-8. doi: 10.4103/0972-2327.116974.
2
Evaluation of creatinine phosphokinase in screening patients for malignant hyperpyrexia.在筛查恶性高热患者中评估肌酸磷酸激酶。
Br Med J. 1975 Aug 30;3(5982):511-3. doi: 10.1136/bmj.3.5982.511.
3
Colchicine-induced myopathy with normal creatine phosphokinase level in a renal transplant patient.
Nephron. 2002 Dec;92(4):922-4. doi: 10.1159/000065439.
4
Immune mediated necrotizing myopathy: A rare complication of statin therapy.免疫介导性坏死性肌病:他汀类药物治疗的一种罕见并发症。
Clin Pract. 2020 Jun 30;10(2):1248. doi: 10.4081/cp.2020.1248. eCollection 2020 May 19.
5
A case of sarcoidosis developing as sarcoid myopathy concomitant with systemic sclerosis and review of the literature.系统性硬皮病合并结节病肌病一例并文献复习
Mod Rheumatol. 2012 Feb;22(1):142-6. doi: 10.1007/s10165-011-0482-z. Epub 2011 Jun 16.
6
Hypogonadotropic Hypogonadism in a Boy with Myopathy.一名患有肌病男孩的低促性腺激素性性腺功能减退症
Mymensingh Med J. 2016 Jan;25(1):186-9.
7
[A case of myopathy associated with hypothyroidism and hyperprolactinaemia].[一例与甲状腺功能减退和高催乳素血症相关的肌病]
Rev Med Interne. 2007 Jun;28(6):429-31. doi: 10.1016/j.revmed.2007.02.009. Epub 2007 Mar 5.
8
Serum creatine phosphokinase activity & urinary excretion of creatine & creatinine in man during acclimatization to high altitudes & in high altitude natives.人类在适应高海拔环境过程中以及高海拔地区原住民的血清肌酸磷酸激酶活性、尿肌酸和肌酐排泄情况。
Indian J Exp Biol. 1972 Nov;10(6):454-5.
9
[Hypothyroid myopathy in a young adult].
Ann Ital Med Int. 1993 Apr-Jun;8(2):129-31.
10
Serum creatine phosphokinase activity and urinary excretion of creatine and creatinine in man during acclimatization to high altitude and in high altitude natives.在适应高海拔环境过程中的人和高海拔地区原住民的血清肌酸磷酸激酶活性以及肌酸和肌酐的尿排泄量。
Aerosp Med. 1973 Mar;44(3):272-5.

本文引用的文献

1
Nemaline rod myopathy: a rare form of myopathy.杆状体肌病:一种罕见的肌病形式。
Neurol India. 2007 Jan-Mar;55(1):70-4. doi: 10.4103/0028-3886.30433.
2
NEMALINE MYOPATHY. A NEW CONGENITAL MYOPATHY.杆状体肌病。一种新的先天性肌病。
Brain. 1963 Dec;86:793-810. doi: 10.1093/brain/86.4.793.
3
LIGHT AND ELECTRON MICROSCOPIC STUDIES OF "MYOGRANULES" IN A CHILD WITH HYPOTONIA AND MUSCLE WEAKNESS.一名肌张力减退和肌肉无力儿童“肌粒”的光镜和电镜研究
Can Med Assoc J. 1963 Nov 9;89(19):983-6.
4
Nemaline myopathy: a clinical study of 143 cases.杆状体肌病:143例临床研究
Ann Neurol. 2001 Sep;50(3):312-20. doi: 10.1002/ana.1080.
5
Report of the 70th ENMC International Workshop: nemaline myopathy, 11-13 June 1999, Naarden, The Netherlands.第70届ENMC国际研讨会报告:杆状体肌病,1999年6月11日至13日,荷兰纳尔登
Neuromuscul Disord. 2000 Jun;10(4-5):299-306. doi: 10.1016/s0960-8966(99)00129-7.
6
Nemaline myopathy: current concepts. The ENMC International Consortium and Nemaline Myopathy.杆状体肌病:当前概念。欧洲神经肌肉中心国际联盟与杆状体肌病
J Med Genet. 1997 Sep;34(9):705-13. doi: 10.1136/jmg.34.9.705.