Suppr超能文献

针对 AKT 生存通路的过度激活以克服黑色素瘤脑转移的治疗抵抗。

Targeting hyperactivation of the AKT survival pathway to overcome therapy resistance of melanoma brain metastases.

机构信息

Division of Dermatologic Oncology, Department of Dermatology, University of Tuebingen Germany.

出版信息

Cancer Med. 2013 Feb;2(1):76-85. doi: 10.1002/cam4.50. Epub 2013 Feb 3.

Abstract

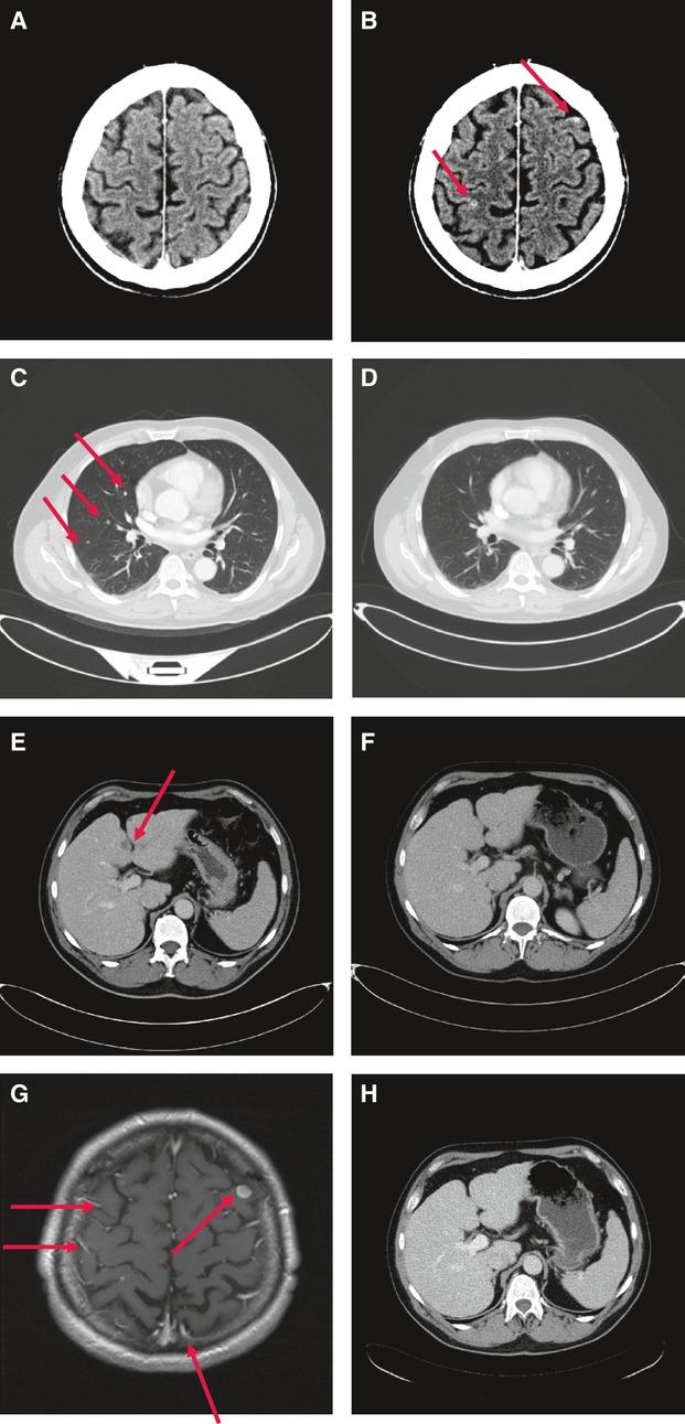
Brain metastases are the most common cause of death in patients with metastatic melanoma, and the RAF-MEK-ERK and PI3K-AKT signaling pathways are key players in melanoma progression and drug resistance. The BRAF inhibitor vemurafenib significantly improved overall survival. However, brain metastases still limit the effectiveness of this therapy. In a series of patients, we observed that treatment with vemurafenib resulted in substantial regression of extracerebral metastases, but brain metastases developed. This study aimed to identify factors that contribute to treatment resistance in brain metastases. Matched brain and extracerebral metastases from melanoma patients had identical ERK, p-ERK, and AKT immunohistochemistry staining patterns, but there was hyperactivation of AKT (p-AKT) and loss of PTEN expression in the brain metastases. Mutation analysis revealed no differences in BRAF, NRAS, or KIT mutation status in matched brain and extracerebral metastases. In contrast, AKT, p-AKT, and PTEN expression was identical in monolayer cultures derived from melanoma brain and extracerebral metastases. Furthermore, melanoma cells stimulated by astrocyte-conditioned medium showed higher AKT activation and invasiveness than melanoma cells stimulated by fibroblast-conditioned medium. Inhibition of PI3K-AKT signaling resensitized melanoma cells isolated from a vemurafenib-resistant brain metastasis to vemurafenib. Brain-derived factors appear to induce hyperactivation of the AKT survival pathway and to promote the survival and drug resistance of melanoma cells in the brain. Thus, inhibition of PI3K-AKT signaling shows potential for enhancing and/or prolonging the antitumor effect of BRAF inhibitors or other anticancer agents in melanoma brain metastases.

摘要

脑转移是转移性黑色素瘤患者死亡的最常见原因,RAF-MEK-ERK 和 PI3K-AKT 信号通路是黑色素瘤进展和耐药的关键因素。BRAF 抑制剂 vemurafenib 显著改善了总生存期。然而,脑转移仍然限制了这种治疗的效果。在一系列患者中,我们观察到 vemurafenib 治疗导致颅外转移明显消退,但脑转移发展。本研究旨在确定导致脑转移治疗耐药的因素。来自黑色素瘤患者的匹配脑和颅外转移具有相同的 ERK、p-ERK 和 AKT 免疫组化染色模式,但脑转移中 AKT(p-AKT)过度激活和 PTEN 表达缺失。突变分析显示,匹配的脑和颅外转移中 BRAF、NRAS 或 KIT 突变状态无差异。相比之下,源自黑色素瘤脑和颅外转移的单层培养物中 AKT、p-AKT 和 PTEN 表达相同。此外,星形胶质细胞条件培养基刺激的黑色素瘤细胞比成纤维细胞条件培养基刺激的黑色素瘤细胞具有更高的 AKT 激活和侵袭性。PI3K-AKT 信号通路的抑制使来自 vemurafenib 耐药脑转移的黑色素瘤细胞对 vemurafenib 重新敏感。源自大脑的因子似乎诱导 AKT 存活途径的过度激活,并促进黑色素瘤细胞在大脑中的存活和耐药性。因此,抑制 PI3K-AKT 信号通路显示出增强和/或延长 BRAF 抑制剂或其他抗癌剂在黑色素瘤脑转移中的抗肿瘤作用的潜力。

https://cdn.ncbi.nlm.nih.gov/pmc/blobs/6344/3797558/87a87ddb1164/cam0002-0076-f1.jpg

文献AI研究员

20分钟写一篇综述,助力文献阅读效率提升50倍。

立即体验

用中文搜PubMed

大模型驱动的PubMed中文搜索引擎

马上搜索

文档翻译

学术文献翻译模型,支持多种主流文档格式。

立即体验