Department of Orthopaedics, General Hospital of Ji'Nan Military Region, Ji'Nan 250031, China.
BMC Musculoskelet Disord. 2013 Nov 9;14:319. doi: 10.1186/1471-2474-14-319.
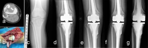
Giant cell tumors (GCT) around the knee are common and pose a special problem of reconstruction after tumor excision, especially for grade III GCT. We questioned whether en bloc resection and reconstruction with alcohol inactivated autograft-prosthesis composite would provide (1) local control and long-term survival and (2) useful limb function in patients who had grade III GCT around the knee.
We retrospectively reviewed eight patients (5 males and 3 females) treated with this procedure with mean age of 31 years (range 20 to 43 years) from Jan 2007 to Oct 2008. 5 lesions were located in distal femur and 3 in proximal tibia. 4 patients were with primary tumor and the other 4 with recurrence. 2 patients showed pathological fracture.
Mean Follow-up is 54 months ranging from 38 to 47 months. No recurrence, metastasis, prosthesis loosening were found. The mean healing time between autograft and host bone was 5.5 months. The mean MSTS score was 26.3 (88%) ranging from 25 to 29. The mean ISOLS composite graft score was 32.8 (88.5%) ranging from 28 to 35. Creeping substitution is possibly the main way in bony junction. The healing time in femoral lesion is faster than that in tibial lesion.
The technique of alcohol inactivated autograft-prosthesis composite could be able to achieve satisfactory oncological and functional outcomes in Grade III GCT.
膝关节周围的巨细胞瘤(GCT)很常见,在肿瘤切除后重建时会带来特殊的问题,尤其是对于 3 级 GCT。我们质疑整块切除并用酒精灭活的自体移植物-假体复合物进行重建,是否能为膝关节周围 3 级 GCT 患者提供(1)局部控制和长期生存,以及(2)有用的肢体功能。
我们回顾性分析了 2007 年 1 月至 2008 年 10 月期间采用该方法治疗的 8 例患者(5 名男性和 3 名女性),平均年龄为 31 岁(20 岁至 43 岁)。5 例病变位于股骨远端,3 例位于胫骨近端。4 例为原发性肿瘤,4 例为复发性肿瘤。2 例患者有病理骨折。
平均随访时间为 54 个月,范围为 38 至 47 个月。未发现复发、转移、假体松动。自体骨与宿主骨之间的平均愈合时间为 5.5 个月。平均 MSTS 评分为 26.3(88%),范围为 25 至 29。平均 ISOLS 综合移植物评分 32.8(88.5%),范围为 28 至 35。爬行替代可能是骨结合的主要方式。股骨病变的愈合时间快于胫骨病变。
酒精灭活的自体移植物-假体复合物技术在 3 级 GCT 中能够实现令人满意的肿瘤学和功能结果。