• 文献检索
  • 文档翻译
  • 深度研究
  • 学术资讯
  • Suppr Zotero 插件Zotero 插件
  • 邀请有礼
  • 套餐&价格
  • 历史记录
应用&插件
Suppr Zotero 插件Zotero 插件浏览器插件Mac 客户端Windows 客户端微信小程序
定价
高级版会员购买积分包购买API积分包
服务
文献检索文档翻译深度研究API 文档MCP 服务
关于我们
关于 Suppr公司介绍联系我们用户协议隐私条款
关注我们

Suppr 超能文献

核心技术专利:CN118964589B侵权必究
粤ICP备2023148730 号-1Suppr @ 2026

文献检索

告别复杂PubMed语法,用中文像聊天一样搜索,搜遍4000万医学文献。AI智能推荐,让科研检索更轻松。

立即免费搜索

文件翻译

保留排版,准确专业,支持PDF/Word/PPT等文件格式,支持 12+语言互译。

免费翻译文档

深度研究

AI帮你快速写综述,25分钟生成高质量综述,智能提取关键信息,辅助科研写作。

立即免费体验

纤毛肝前肠囊肿:两例儿童病例报告并文献复习

Ciliated hepatic foregut cyst: two case reports in children and review of the literature.

作者信息

Khoddami Maliheh, Kazemi Aghdam Maryam, Alvandimanesh Azadeh

机构信息

Department of Pathology, Pediatric Pathology Research Center, Mofid Pediatric Medical Center, Shahid Beheshti University of Medical Sciences, Tehran 15468-15514, Iran.

出版信息

Case Rep Med. 2013;2013:372017. doi: 10.1155/2013/372017. Epub 2013 Oct 3.

DOI:10.1155/2013/372017
PMID:24222771
原文链接:https://pmc.ncbi.nlm.nih.gov/articles/PMC3814107/
Abstract

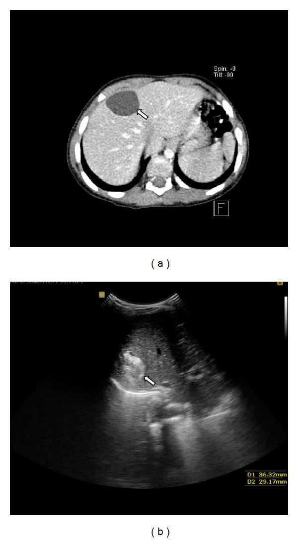
Ciliated hepatic foregut cyst (CHFC) is a rare lesion which originates from detached hepatic diverticulum or from detachment and migration of buds from the esophageal and bronchial regions of the foregut which subsequently get entrapped by the liver during the early embryonic development of the foregut. CHFCs are mostly seen in adults and are rarely reported in children, with only about 10 cases reported in this age group. Hereby, we present two cases of CHFC in two 3.5-year-old boys; one of them had cystic lesion at medial segment of left lobe of liver (common site), and in the other one it was located at right lobe of liver (less common site). Histologically, both cysts had four layers composed of inner ciliated, pseudostratified, columnar epithelium; subepithelial connective tissue; smooth muscle layer; and an outer fibrous layer.

摘要

纤毛肝前肠囊肿(CHFC)是一种罕见的病变,它起源于分离的肝憩室,或源于前肠食管和支气管区域芽的分离与迁移,这些芽在胚胎早期前肠发育过程中随后被肝脏包绕。CHFC多见于成年人,儿童中很少报道,该年龄组仅有约10例报告。在此,我们报告两例3.5岁男孩的CHFC;其中一例在肝左叶内侧段有囊性病变(常见部位),另一例位于肝右叶(较少见部位)。组织学上,两个囊肿均有四层结构,由内向外依次为纤毛假复层柱状上皮、上皮下结缔组织、平滑肌层和外层纤维层。

https://cdn.ncbi.nlm.nih.gov/pmc/blobs/cd7a/3814107/fa65406eb2bd/CRIM.MEDICINE2013-372017.002.jpg
https://cdn.ncbi.nlm.nih.gov/pmc/blobs/cd7a/3814107/da089e0e2642/CRIM.MEDICINE2013-372017.001.jpg
https://cdn.ncbi.nlm.nih.gov/pmc/blobs/cd7a/3814107/fa65406eb2bd/CRIM.MEDICINE2013-372017.002.jpg
https://cdn.ncbi.nlm.nih.gov/pmc/blobs/cd7a/3814107/da089e0e2642/CRIM.MEDICINE2013-372017.001.jpg
https://cdn.ncbi.nlm.nih.gov/pmc/blobs/cd7a/3814107/fa65406eb2bd/CRIM.MEDICINE2013-372017.002.jpg

相似文献

1
Ciliated hepatic foregut cyst: two case reports in children and review of the literature.纤毛肝前肠囊肿:两例儿童病例报告并文献复习
Case Rep Med. 2013;2013:372017. doi: 10.1155/2013/372017. Epub 2013 Oct 3.
2
Laparoscopic excision of ciliated hepatic foregut cyst: a first report in Korea.腹腔镜下切除纤毛肝前肠囊肿:韩国首例报告
Surg Laparosc Endosc Percutan Tech. 2006 Aug;16(4):255-8. doi: 10.1097/00129689-200608000-00013.
3
Ciliated hepatic cyst without smooth muscle layer: a variant of ciliated hepatic foregut cyst?无平滑肌层的纤毛肝囊肿:纤毛肝前肠囊肿的一种变异型?
Pathol Int. 2006 Jun;56(6):340-4. doi: 10.1111/j.1440-1827.2006.01969.x.
4
Ciliated hepatic foregut cyst: a study of six cases and review of the literature.纤毛肝前肠囊肿:6例病例研究及文献复习
Am J Surg Pathol. 1999 Jun;23(6):671-7. doi: 10.1097/00000478-199906000-00006.
5
Ciliated hepatic foregut cyst with high intra-cystic carbohydrate antigen 19-9 level.囊内碳水化合物抗原19-9水平升高的纤毛肝前肠囊肿
World J Gastroenterol. 2014 Nov 21;20(43):16355-8. doi: 10.3748/wjg.v20.i43.16355.
6
Ciliated hepatic foregut cyst with obstructive jaundice.伴有梗阻性黄疸的纤毛性肝前肠囊肿
Case Rep Gastroenterol. 2008 Sep;2(3):479-85. doi: 10.1159/000176062. Epub 2008 Dec 2.
7
Ciliated hepatic foregut cyst with extensive squamous metaplasia: report of a case.伴有广泛鳞状化生的纤毛肝前肠囊肿:一例报告
Virchows Arch. 2006 Dec;449(6):730-3. doi: 10.1007/s00428-006-0320-4. Epub 2006 Nov 8.
8
A Rare Case of Symptomatic Ciliated Hepatic Foregut Cyst in a 17-Year-Old Female.一名17岁女性患症状性纤毛肝前肠囊肿的罕见病例。
Cureus. 2023 Aug 14;15(8):e43498. doi: 10.7759/cureus.43498. eCollection 2023 Aug.
9
Ciliated hepatic foregut cyst: A case report and review of literature.纤毛肝前肠囊肿:一例报告并文献复习
Int J Surg Case Rep. 2022 Jul;96:107356. doi: 10.1016/j.ijscr.2022.107356. Epub 2022 Jun 28.
10
Ciliated hepatic foregut cyst: an increasingly diagnosed condition.纤毛肝前肠囊肿:一种诊断率日益增高的疾病。
Dig Dis Sci. 2008 Oct;53(10):2818-21. doi: 10.1007/s10620-008-0203-4. Epub 2008 Feb 29.

引用本文的文献

1
Ciliated Hepatic Foregut Cyst: Definitive Diagnosis Is Critical to the Optimal Treatment Pathway.纤毛肝前肠囊肿:明确诊断对最佳治疗途径至关重要。
Case Reports Hepatol. 2023 Jul 19;2023:6637890. doi: 10.1155/2023/6637890. eCollection 2023.
2
Congenital and hereditary cystic diseases of the abdomen.先天性和遗传性腹部囊性疾病。
Insights Imaging. 2020 Aug 5;11(1):90. doi: 10.1186/s13244-020-00898-z.
3
Congenital Benign Intrahepatic Cyst with Cystobiliary Communication: An Intraoperative Diagnostic Enigma.先天性良性肝内囊肿伴囊肿-胆管交通:术中诊断难题

本文引用的文献

1
Ciliated hepatic foregut cyst: two further cases with an immunohistochemical analysis.
Hepatogastroenterology. 2012 Jun;59(116):1260-2. doi: 10.5754/hge09298.
2
Ciliated hepatic foregut cyst.纤毛肝前肠囊肿
Korean J Hepatol. 2012 Mar;18(1):98-100. doi: 10.3350/kjhep.2012.18.1.98. Epub 2012 Mar 22.
3
Prenatal and postnatal Ciliated Hepatic Foregut Cysts in infants.婴儿的产前和产后纤毛性肝前肠囊肿。
J Pediatr Surg. 2010 Mar;45(3):E9-14. doi: 10.1016/j.jpedsurg.2009.12.009.
J Indian Assoc Pediatr Surg. 2018 Apr-Jun;23(2):93-95. doi: 10.4103/jiaps.JIAPS_50_17.
4
Ciliated hepatic foregut cyst: a report of 6 cases and a review of the English literature.纤毛肝前肠囊肿:6例报告并英文文献复习
Diagn Pathol. 2015 Jun 30;10:81. doi: 10.1186/s13000-015-0321-1.
4
Ciliated hepatic foregut cyst.
Indian J Pathol Microbiol. 2009 Oct-Dec;52(4):598-9. doi: 10.4103/0377-4929.56150.
5
Ciliated hepatic foregut cysts in children.儿童纤毛性肝前肠囊肿
Pediatr Surg Int. 2010 Jul;26(7):753-7. doi: 10.1007/s00383-009-2468-x. Epub 2009 Sep 16.
6
Ciliated hepatic foregut cyst mimicking a hydatid cyst: a case report and review of literature.酷似包虫囊肿的纤毛肝前肠囊肿:一例报告并文献复习
Saudi J Gastroenterol. 2008 Jul;14(3):142-3. doi: 10.4103/1319-3767.41734.
7
Laparoscopic excision of a ciliated hepatic foregut cyst.腹腔镜下切除纤毛前肠肝囊肿。
JSLS. 2009 Jan-Mar;13(1):96-100.
8
Ciliated hepatic foregut cyst: an increasingly diagnosed condition.纤毛肝前肠囊肿:一种诊断率日益增高的疾病。
Dig Dis Sci. 2008 Oct;53(10):2818-21. doi: 10.1007/s10620-008-0203-4. Epub 2008 Feb 29.
9
Ciliated hepatic foregut cyst: from antenatal diagnosis to surgery.
Pediatr Radiol. 2008 Feb;38(2):230-2. doi: 10.1007/s00247-007-0648-1. Epub 2007 Nov 15.
10
Solitary liver cysts in children: not always so simple.儿童孤立性肝囊肿:并非总是那么简单。
J Pediatr Surg. 2007 Feb;42(2):333-9. doi: 10.1016/j.jpedsurg.2006.10.024.