• 文献检索
  • 文档翻译
  • 深度研究
  • 学术资讯
  • Suppr Zotero 插件Zotero 插件
  • 邀请有礼
  • 套餐&价格
  • 历史记录
应用&插件
Suppr Zotero 插件Zotero 插件浏览器插件Mac 客户端Windows 客户端微信小程序
定价
高级版会员购买积分包购买API积分包
服务
文献检索文档翻译深度研究API 文档MCP 服务
关于我们
关于 Suppr公司介绍联系我们用户协议隐私条款
关注我们

Suppr 超能文献

核心技术专利:CN118964589B侵权必究
粤ICP备2023148730 号-1Suppr @ 2026

文献检索

告别复杂PubMed语法,用中文像聊天一样搜索,搜遍4000万医学文献。AI智能推荐,让科研检索更轻松。

立即免费搜索

文件翻译

保留排版,准确专业,支持PDF/Word/PPT等文件格式,支持 12+语言互译。

免费翻译文档

深度研究

AI帮你快速写综述,25分钟生成高质量综述,智能提取关键信息,辅助科研写作。

立即免费体验

伴有梗阻性黄疸的纤毛性肝前肠囊肿

Ciliated hepatic foregut cyst with obstructive jaundice.

作者信息

Kiyochi Hidenori, Okada Kenzo, Iwakawa Kazuhide, Nakanishi Mamoru, Satoh Hajime, Iimori Shunsuke, Miyoshi Maiko, Yamamoto Koji, Kotegawa Hiroshi, Takai Akihiro, Kajiwara Shinsuke

机构信息

Department of Surgery, Uwajima City Hospital, Uwajima, Japan.

出版信息

Case Rep Gastroenterol. 2008 Sep;2(3):479-85. doi: 10.1159/000176062. Epub 2008 Dec 2.

DOI:10.1159/000176062
PMID:21897803
原文链接:https://pmc.ncbi.nlm.nih.gov/articles/PMC3166815/
Abstract

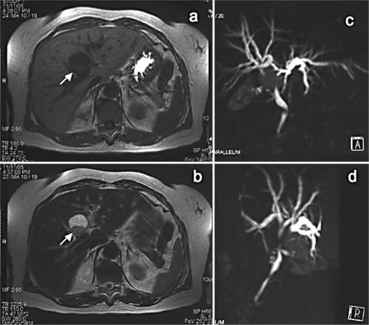
Ciliated hepatic foregut cysts (CHFCs) are rare congenital cystic lesion that are most often solitary, unilocular, and located in the subcapsular region of the medial segment of the left hepatic lobe. The mucoid fluid contents affect imaging studies and often make definitive diagnosis difficult. CHFCs are usually asymptomatic and found incidentally. We report a 69-year-old female patient with a CHFC causing obstructive jaundice, which was difficult to differentiate from a biliary cystic neoplasm. A well-defined cystic lesion measuring 25 mm in diameter was located in the porta hepatis region. The lesion was densely adherent to the left and right hepatic ducts, riding on the bifurcation, and the common hepatic duct was extrinsically compressed. An extended left hepatectomy was performed. A diagnosis of CHFC was made on the basis of typical histological findings. CHFC should be included in the differential diagnosis for cystic lesions of the liver.

摘要

纤毛性肝前肠囊肿(CHFCs)是一种罕见的先天性囊性病变,通常为单发、单房,位于左肝叶内侧段的包膜下区域。其黏液样内容物影响影像学检查,常使明确诊断困难。CHFCs通常无症状,多为偶然发现。我们报告一例69岁女性患者,其CHFC导致梗阻性黄疸,难以与胆管囊性肿瘤相鉴别。一个边界清晰、直径25mm的囊性病变位于肝门区。该病变与左右肝管紧密粘连,骑跨于肝门分叉处,肝总管受到外在压迫。遂行扩大左肝切除术。根据典型的组织学表现确诊为CHFC。CHFC应纳入肝脏囊性病变的鉴别诊断。

https://cdn.ncbi.nlm.nih.gov/pmc/blobs/d135/3166815/b8dd36710091/crg0002-0479-f03.jpg
https://cdn.ncbi.nlm.nih.gov/pmc/blobs/d135/3166815/a5a4b4d46ac4/crg0002-0479-f01.jpg
https://cdn.ncbi.nlm.nih.gov/pmc/blobs/d135/3166815/5e1dc585fd90/crg0002-0479-f02.jpg
https://cdn.ncbi.nlm.nih.gov/pmc/blobs/d135/3166815/b8dd36710091/crg0002-0479-f03.jpg
https://cdn.ncbi.nlm.nih.gov/pmc/blobs/d135/3166815/a5a4b4d46ac4/crg0002-0479-f01.jpg
https://cdn.ncbi.nlm.nih.gov/pmc/blobs/d135/3166815/5e1dc585fd90/crg0002-0479-f02.jpg
https://cdn.ncbi.nlm.nih.gov/pmc/blobs/d135/3166815/b8dd36710091/crg0002-0479-f03.jpg

相似文献

1
Ciliated hepatic foregut cyst with obstructive jaundice.伴有梗阻性黄疸的纤毛性肝前肠囊肿
Case Rep Gastroenterol. 2008 Sep;2(3):479-85. doi: 10.1159/000176062. Epub 2008 Dec 2.
2
Ciliated hepatic foregut cyst: A case report and review of literature.纤毛肝前肠囊肿:一例报告并文献复习
Int J Surg Case Rep. 2022 Jul;96:107356. doi: 10.1016/j.ijscr.2022.107356. Epub 2022 Jun 28.
3
Cytologic diagnosis of ciliated hepatic foregut cyst.纤毛肝前肠囊肿的细胞学诊断
Diagn Cytopathol. 2006 Dec;34(12):846-9. doi: 10.1002/dc.20572.
4
[Ciliated hepatic foregut cyst: report of a case and a summary of the 24 cases reported in Japan].[纤毛性肝前肠囊肿:1例报告及日本报道的24例病例总结]
Nihon Shokakibyo Gakkai Zasshi. 2008 Feb;105(2):235-43.
5
Laparoscopic excision of a ciliated hepatic foregut cyst in a child: A case report and review of the literature.小儿腹腔镜下切除纤毛前肠肝囊肿:一例报告并文献复习
Ann Med Surg (Lond). 2015 Nov 2;4(4):467-9. doi: 10.1016/j.amsu.2015.10.017. eCollection 2015 Dec.
6
Ciliated hepatic foregut cyst: two case reports in children and review of the literature.纤毛肝前肠囊肿:两例儿童病例报告并文献复习
Case Rep Med. 2013;2013:372017. doi: 10.1155/2013/372017. Epub 2013 Oct 3.
7
Ciliated Hepatic Foregut Cysts: Not as Rare as Previously Believed.纤毛性肝前肠囊肿:并非如先前认为的那样罕见。
Int J Surg Pathol. 2023 May;31(3):260-267. doi: 10.1177/10668969221095263. Epub 2022 Apr 24.
8
Ciliated hepatic foregut cyst with high intra-cystic carbohydrate antigen 19-9 level.囊内碳水化合物抗原19-9水平升高的纤毛肝前肠囊肿
World J Gastroenterol. 2014 Nov 21;20(43):16355-8. doi: 10.3748/wjg.v20.i43.16355.
9
Prenatal and postnatal Ciliated Hepatic Foregut Cysts in infants.婴儿的产前和产后纤毛性肝前肠囊肿。
J Pediatr Surg. 2010 Mar;45(3):E9-14. doi: 10.1016/j.jpedsurg.2009.12.009.
10
Ciliated hepatic foregut cyst: radiologic features.纤毛性肝前肠囊肿:影像学特征
Radiology. 1990 May;175(2):475-7. doi: 10.1148/radiology.175.2.2183286.

引用本文的文献

1
Differentiation between mucinous cystic neoplasms and simple cysts of the liver: a systematic review and meta-analysis.肝黏液性囊性肿瘤与单纯性囊肿的鉴别:一项系统评价和荟萃分析。
Abdom Radiol (NY). 2025 Mar 17. doi: 10.1007/s00261-025-04874-3.
2
Ciliated Hepatic Foregut Cyst: Definitive Diagnosis Is Critical to the Optimal Treatment Pathway.纤毛肝前肠囊肿:明确诊断对最佳治疗途径至关重要。
Case Reports Hepatol. 2023 Jul 19;2023:6637890. doi: 10.1155/2023/6637890. eCollection 2023.
3
Ciliated Hepatic Foregut Cyst: A Report of a Case Incidentally Discovered during Transplant Evaluation.

本文引用的文献

1
CONGENITAL HEPATIC CYST CAUSING JAUNDICE: REPORT OF A CASE AND ANALOGIES WITH RESPIRATORY MALFORMATIONS.先天性肝囊肿致黄疸:1例报告及与呼吸道畸形的类比
Ann Surg. 1964 Apr;159(4):585-92. doi: 10.1097/00000658-196404000-00018.
2
Squamous cell carcinoma arising in a hepatic forgut cyst.起源于肝前肠囊肿的鳞状细胞癌。
Pathol Res Pract. 2002;198(10):697-700. doi: 10.1078/0344-0338-00323.
3
Squamous cell carcinoma arising in a ciliated hepatic foregut cyst.起源于纤毛肝前肠囊肿的鳞状细胞癌。
纤毛肝前肠囊肿:一例在移植评估时偶然发现的病例报告。
Case Rep Gastrointest Med. 2019 Oct 9;2019:7828427. doi: 10.1155/2019/7828427. eCollection 2019.
4
Ciliated hepatic foregut cyst: a report of 6 cases and a review of the English literature.纤毛肝前肠囊肿:6例报告并英文文献复习
Diagn Pathol. 2015 Jun 30;10:81. doi: 10.1186/s13000-015-0321-1.
Virchows Arch. 2002 Sep;441(3):296-8. doi: 10.1007/s00428-002-0668-z. Epub 2002 Jul 10.
4
The ciliated hepatic foregut cyst, an unusual bronchiolar foregut malformation: a histological, histochemical, and immunohistochemical study of 7 cases.纤毛肝前肠囊肿,一种罕见的细支气管前肠畸形:7例的组织学、组织化学和免疫组织化学研究
Hum Pathol. 2000 Feb;31(2):241-6. doi: 10.1016/s0046-8177(00)80227-0.
5
Squamous cell carcinoma arising in a ciliated hepatic foregut cyst.起源于纤毛肝前肠囊肿的鳞状细胞癌。
Arch Pathol Lab Med. 1999 Nov;123(11):1115-7. doi: 10.5858/1999-123-1115-SCCAIA.
6
Ciliated hepatic foregut cyst: a study of six cases and review of the literature.纤毛肝前肠囊肿:6例病例研究及文献复习
Am J Surg Pathol. 1999 Jun;23(6):671-7. doi: 10.1097/00000478-199906000-00006.
7
Ciliated hepatic foregut cyst causing portal hypertension in an adolescent.青少年期因纤毛肝前肠囊肿导致门静脉高压症
AJR Am J Roentgenol. 1998 Mar;170(3):688-90. doi: 10.2214/ajr.170.3.9490954.
8
Fine needle aspiration diagnosis of ciliated hepatic foregut cysts: a report of three cases.细针穿刺抽吸诊断纤毛前肠肝囊肿:三例报告
Acta Cytol. 1996 May-Jun;40(3):576-80. doi: 10.1159/000333919.
9
Ciliated hepatic foregut cyst.纤毛肝前肠囊肿
Am J Surg Pathol. 1984 Jun;8(6):467-70. doi: 10.1097/00000478-198406000-00008.
10
Ciliated hepatic foregut cyst. A mucus histochemical, immunohistochemical, and ultrastructural study in three cases in comparison with normal bronchi and intrahepatic bile ducts.纤毛肝前肠囊肿。三例黏液组织化学、免疫组织化学及超微结构研究,并与正常支气管和肝内胆管作比较
Am J Surg Pathol. 1990 Apr;14(4):356-63.