Suppr超能文献

獐牙菜苦苷体外和体内提取物及獐牙菜苦苷的降血糖活性和抗氧化应激作用。

Hypoglycemic Activity and Antioxidative Stress of Extracts and Corymbiferin from Swertia bimaculata In Vitro and In Vivo.

机构信息

Hubei Key Laboratory of Natural Medicinal Chemistry and Resource Evaluation, Tongji School of Pharmaceutical Sciences, Huazhong University of Science and Technology, Wuhan 430030, China ; Hubei Key Laboratory of Natural Products Research and Development, College of Chemistry and Life Science, China Three Gorges University, Yichang 443002, China.

出版信息

Evid Based Complement Alternat Med. 2013;2013:125416. doi: 10.1155/2013/125416. Epub 2013 Oct 24.

Abstract

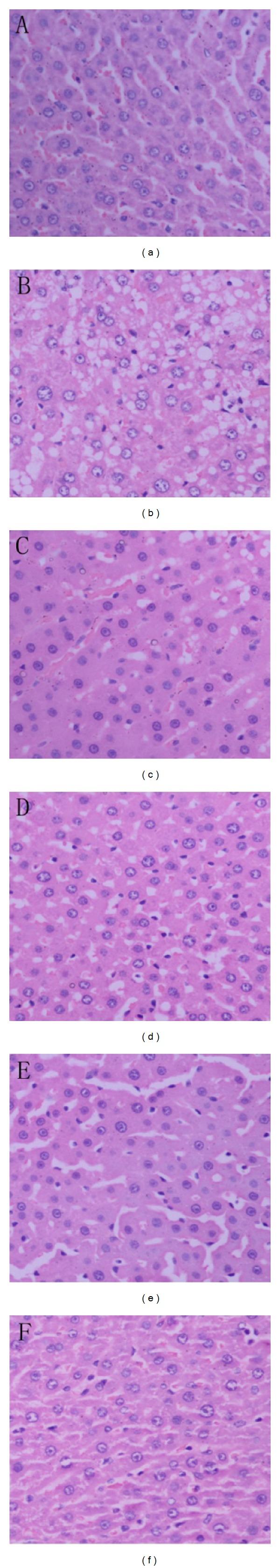
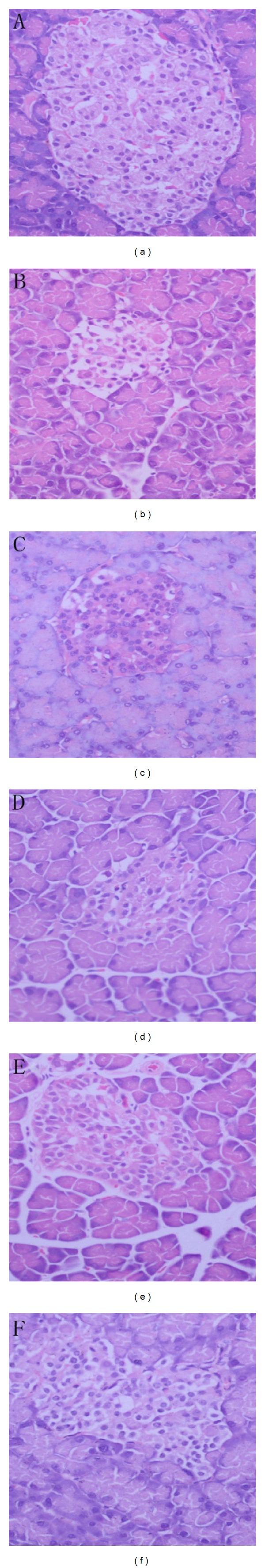
The present study was to investigate the anti-diabetic activities of Swertia bimaculata. Based on the glucose consumption of S. bimaculata extractsand different fractions (petroleum, dichloromethane, ethyl acetate, n-butanol and water extracts) in 3T3-L1 adipocyte assay, ethanol (ETH) and dichloromethane (DTH) extracts had the most effective potency. Furthermore, ETH, DTH and corymbiferin (the most abundant component of DTH) were evaluated for anti-diabetic effects in high fat and sucrose fed combined with low dose streptozocin induced diabetic rats. DTH and corymbiferin displayed remarkable anti-diabetic activities. The fasting blood glucose levels were significantly decreased, while the serum insulin levels were obviously increased. The oral glucose tolerance was also improved. The lowed serum total cholesterol, low density lipoprotein (LDL) and triglyceride levels and increased ratio of HDL (high density lipoprotein)/LDL were observed. The insulin sensitivity was improved on the basis of increased expressions of insulin-receptor substrate-2, phosphatidylinositol 3-kinase and Ser/Thr kinase AKT2. And also DTH and corymbiferin improved antioxidant capacity and carbohydrate metabolism in diabetic rats, along with the improvement of histopathology of livers and pancreatic β cells. Corymbiferin was one of active constituents, responsible for anti-diabetic properties. Therefore, S. bimaculata could be considered as an alternative agent against diabetes mellitus.

摘要

本研究旨在探讨川西獐牙菜的抗糖尿病活性。基于川西獐牙菜提取物及其不同部位(石油醚、二氯甲烷、乙酸乙酯、正丁醇和水提物)在 3T3-L1 脂肪细胞测定中的葡萄糖消耗情况,乙醇(ETH)和二氯甲烷(DTH)提取物具有最强的功效。此外,还评估了 ETH、DTH 和獐牙菜苦苷(DTH 中最丰富的成分)在高脂肪和蔗糖喂养并联合小剂量链脲佐菌素诱导的糖尿病大鼠中的抗糖尿病作用。DTH 和獐牙菜苦苷显示出显著的抗糖尿病活性。空腹血糖水平显著降低,而血清胰岛素水平明显升高。口服葡萄糖耐量也得到改善。血清总胆固醇、低密度脂蛋白(LDL)和甘油三酯水平降低,高密度脂蛋白(HDL)/LDL 比值升高。胰岛素受体底物-2、磷脂酰肌醇 3-激酶和丝氨酸/苏氨酸激酶 AKT2 的表达增加表明胰岛素敏感性得到改善。DTH 和獐牙菜苦苷还改善了糖尿病大鼠的抗氧化能力和糖代谢,同时改善了肝脏和胰腺β细胞的组织病理学。獐牙菜苦苷是具有活性的成分之一,负责抗糖尿病特性。因此,川西獐牙菜可以被认为是治疗糖尿病的一种替代药物。

https://cdn.ncbi.nlm.nih.gov/pmc/blobs/5f1f/3821916/3dcbbcfc248d/ECAM2013-125416.001.jpg

文献AI研究员

20分钟写一篇综述,助力文献阅读效率提升50倍。

立即体验

用中文搜PubMed

大模型驱动的PubMed中文搜索引擎

马上搜索

文档翻译

学术文献翻译模型,支持多种主流文档格式。

立即体验