• 文献检索
  • 文档翻译
  • 深度研究
  • 学术资讯
  • Suppr Zotero 插件Zotero 插件
  • 邀请有礼
  • 套餐&价格
  • 历史记录
应用&插件
Suppr Zotero 插件Zotero 插件浏览器插件Mac 客户端Windows 客户端微信小程序
定价
高级版会员购买积分包购买API积分包
服务
文献检索文档翻译深度研究API 文档MCP 服务
关于我们
关于 Suppr公司介绍联系我们用户协议隐私条款
关注我们

Suppr 超能文献

核心技术专利:CN118964589B侵权必究
粤ICP备2023148730 号-1Suppr @ 2026

文献检索

告别复杂PubMed语法,用中文像聊天一样搜索,搜遍4000万医学文献。AI智能推荐,让科研检索更轻松。

立即免费搜索

文件翻译

保留排版,准确专业,支持PDF/Word/PPT等文件格式,支持 12+语言互译。

免费翻译文档

深度研究

AI帮你快速写综述,25分钟生成高质量综述,智能提取关键信息,辅助科研写作。

立即免费体验

15-17 岁行全膝关节置换术:假体设计是否影响疗效?

Total knee arthroplasty at 15-17 years: does implant design affect outcome?

机构信息

Department of Orthopaedics and Traumatology, Ghent University Hospital, De Pintelaan 185, 9000, Ghent, Belgium,

出版信息

Int Orthop. 2014 Feb;38(2):235-41. doi: 10.1007/s00264-013-2231-8. Epub 2013 Dec 18.

DOI:10.1007/s00264-013-2231-8
PMID:24346512
原文链接:https://pmc.ncbi.nlm.nih.gov/articles/PMC3923951/
Abstract

PURPOSE

A study was conducted to compare minimum 15-year survivorship and outcome of the Genesis I and II implants for total knee arthroplasty (TKA).

METHODS

We retrospectively reviewed 245 consecutive TKA implanted between January 1995 and October 1997. Genesis I was implanted in 156 knees and Genesis II in 89 knees.

RESULTS

At 15-17 years, 75 patients (31%) had died, 28 patients (11%) were lost to follow-up and 11 TKA were revised (4.6%), including ten Genesis I (6.4%) and one Genesis II (1.1%); 131 TKA (53%) were available for follow-up. Cumulative survivorship was 92.4% at 15.7 years. Survival in patients <69 years at surgery was lower (88.0%) compared with patients ≥69 years (98.5%; p = 0.023). In patients <69 years, Genesis I survival (84.3%) was worse compared with Genesis II (97.1%) (p = 0.018). Polyethylene (PE) Insert thickness ≤11 mm had significantly better survivorship (97.1%) compared with PE >11 mm (56.7%) (p < 0.0001) CONCLUSIONS: At a minimum of 15 years, the overall (92.4%) survivorship of Genesis TKA was good, with excellent (98.1%) survivorship of the Genesis II design. Revision rates were higher with Genesis I in the younger age group and with insert thickness >11 mm, possibly due to longer shelf life of less frequently used sizes.

摘要

目的

本研究旨在比较 Genesis I 和 II 型全膝关节置换(TKA)植入物的最低 15 年生存率和结果。

方法

我们回顾性分析了 1995 年 1 月至 1997 年 10 月期间连续 245 例 TKA 植入患者。其中,Genesis I 型植入 156 例,Genesis II 型植入 89 例。

结果

15-17 年时,75 例(31%)患者死亡,28 例(11%)失访,11 例 TKA 翻修(4.6%),包括 10 例 Genesis I(6.4%)和 1 例 Genesis II(1.1%);131 例 TKA(53%)可进行随访。15.7 年时累积生存率为 92.4%。手术时年龄<69 岁的患者生存率较低(88.0%),而年龄≥69 岁的患者生存率较高(98.5%;p=0.023)。在年龄<69 岁的患者中,Genesis I 生存率(84.3%)低于 Genesis II(97.1%)(p=0.018)。聚乙烯(PE)插入物厚度≤11mm 的生存率明显更好(97.1%),而厚度>11mm 的生存率较差(56.7%)(p<0.0001)。

结论

至少 15 年时,Genesis TKA 的总体(92.4%)生存率良好,Genesis II 设计的生存率极佳(98.1%)。在年轻患者组和插入物厚度>11mm 的患者中,Genesis I 的翻修率更高,可能是由于较少使用的尺寸货架寿命更长。

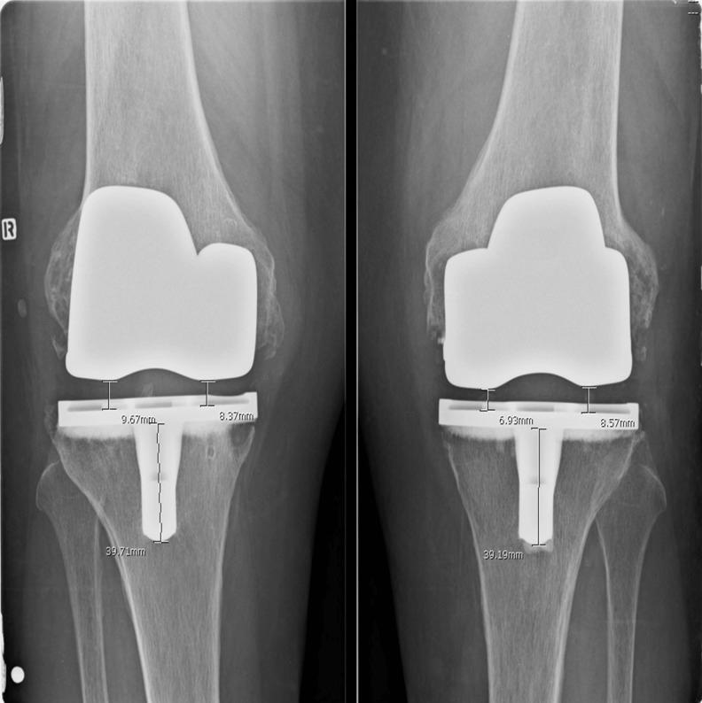
https://cdn.ncbi.nlm.nih.gov/pmc/blobs/2b24/3923951/8f81badf94ef/264_2013_2231_Fig5_HTML.jpg
https://cdn.ncbi.nlm.nih.gov/pmc/blobs/2b24/3923951/59e11249a974/264_2013_2231_Fig1_HTML.jpg
https://cdn.ncbi.nlm.nih.gov/pmc/blobs/2b24/3923951/f2726757950b/264_2013_2231_Fig2_HTML.jpg
https://cdn.ncbi.nlm.nih.gov/pmc/blobs/2b24/3923951/456f7335b774/264_2013_2231_Fig3_HTML.jpg
https://cdn.ncbi.nlm.nih.gov/pmc/blobs/2b24/3923951/7faf56f3d818/264_2013_2231_Fig4_HTML.jpg
https://cdn.ncbi.nlm.nih.gov/pmc/blobs/2b24/3923951/8f81badf94ef/264_2013_2231_Fig5_HTML.jpg
https://cdn.ncbi.nlm.nih.gov/pmc/blobs/2b24/3923951/59e11249a974/264_2013_2231_Fig1_HTML.jpg
https://cdn.ncbi.nlm.nih.gov/pmc/blobs/2b24/3923951/f2726757950b/264_2013_2231_Fig2_HTML.jpg
https://cdn.ncbi.nlm.nih.gov/pmc/blobs/2b24/3923951/456f7335b774/264_2013_2231_Fig3_HTML.jpg
https://cdn.ncbi.nlm.nih.gov/pmc/blobs/2b24/3923951/7faf56f3d818/264_2013_2231_Fig4_HTML.jpg
https://cdn.ncbi.nlm.nih.gov/pmc/blobs/2b24/3923951/8f81badf94ef/264_2013_2231_Fig5_HTML.jpg

相似文献

1
Total knee arthroplasty at 15-17 years: does implant design affect outcome?15-17 岁行全膝关节置换术:假体设计是否影响疗效?
Int Orthop. 2014 Feb;38(2):235-41. doi: 10.1007/s00264-013-2231-8. Epub 2013 Dec 18.
2
Clinical Results and Survivorship of the GENESIS II Total Knee Arthroplasty at a Minimum of 15 Years.GENESIS II全膝关节置换术至少15年的临床结果及假体生存率
J Arthroplasty. 2017 Jul;32(7):2161-2166. doi: 10.1016/j.arth.2017.02.006. Epub 2017 Feb 16.
3
Unicompartmental knee arthroplasty survivorship is lower than TKA survivorship: a 27-year Finnish registry study.单髁膝关节置换术的存活率低于全膝关节置换术:一项 27 年的芬兰注册研究。
Clin Orthop Relat Res. 2014 May;472(5):1496-501. doi: 10.1007/s11999-013-3347-2. Epub 2013 Nov 19.
4
Isolated tibial polyethylene insert exchange outcomes after total knee arthroplasty.全膝关节置换术后单纯胫骨聚乙烯衬垫翻修的结果。
Clin Orthop Relat Res. 2010 Jan;468(1):96-101. doi: 10.1007/s11999-009-1023-3. Epub 2009 Aug 12.
5
The 2018 Mark Coventry, MD Award: Does a Ceramic Bearing Improve Pain, Function, Wear, or Survivorship of TKA in Patients Younger Than 55 Years of Age? A Randomized Trial.2018 年马克·考文垂医学博士奖:在 55 岁以下的患者中,陶瓷轴承是否能改善 TKA 的疼痛、功能、磨损或生存率?一项随机试验。
Clin Orthop Relat Res. 2019 Jan;477(1):49-57. doi: 10.1007/s11999.0000000000000271.
6
Long-Term Implant Survivorship and Modes of Failure in Simultaneous Concurrent Bilateral Total Knee Arthroplasty.同期双侧全膝关节置换术后的长期假体存活率和失败模式。
J Arthroplasty. 2020 Jan;35(1):139-144. doi: 10.1016/j.arth.2019.08.011. Epub 2019 Aug 14.
7
Similar survival rate but lower functional outcomes following TKA in the elderly people compared to younger patients: analysis of a posterior stabilised implant with minimum 5-year follow-up.与年轻患者相比,老年人全膝关节置换术后生存率相似,但功能结果较差:对一种后稳定型植入物进行至少5年随访的分析。
Knee Surg Sports Traumatol Arthrosc. 2023 Apr;31(4):1470-1476. doi: 10.1007/s00167-022-07287-7. Epub 2022 Dec 20.
8
Satisfactory mid-term outcomes of condylar-constrained knee implants in primary total knee arthroplasty: clinical and radiological follow-up.初次全膝关节置换中髁限制型膝关节假体的中期结果令人满意:临床和放射学随访。
J Orthop Traumatol. 2020 Dec 2;21(1):22. doi: 10.1186/s10195-020-00561-9.
9
Good to excellent long-term survival of a single-design condylar constrained knee arthroplasty for primary and revision surgery.单髁限制型膝关节置换术治疗初次和翻修手术的优良长期生存率。
Knee Surg Sports Traumatol Arthrosc. 2022 Sep;30(9):3184-3190. doi: 10.1007/s00167-021-06636-2. Epub 2021 Jun 14.
10
No Decrease in Knee Survivorship or Outcomes Scores for Patients With HIV Infection Who Undergo TKA.接受全膝关节置换术(TKA)的HIV感染患者的膝关节生存率或结局评分没有下降。
Clin Orthop Relat Res. 2017 Feb;475(2):465-471. doi: 10.1007/s11999-016-5122-7. Epub 2016 Oct 14.

引用本文的文献

1
Statistical shape modeling of shape variability of the human distal tibia: implication for implant design of the tibial component for total ankle replacement.人类胫骨远端形状变异性的统计形状建模:对全踝关节置换胫骨部件植入物设计的启示
Front Bioeng Biotechnol. 2025 Feb 27;13:1504897. doi: 10.3389/fbioe.2025.1504897. eCollection 2025.
2
The Impact of Cementing Techniques on Implant Longevity in Relation to Keel Length in Persona and NexGen Knee Arthroplasty: A Comprehensive Study.骨水泥技术对Persona和NexGen膝关节置换术中与龙骨长度相关的植入物使用寿命的影响:一项综合研究。
Arthroplast Today. 2025 Jan 17;31:101608. doi: 10.1016/j.artd.2024.101608. eCollection 2025 Feb.
3

本文引用的文献

1
Long-term comparison of fixed-bearing and mobile-bearing total knee replacements in patients younger than fifty-one years of age with osteoarthritis.51 岁以下骨关节炎患者中固定与活动平台全膝关节置换的长期比较。
J Bone Joint Surg Am. 2012 May 16;94(10):866-73. doi: 10.2106/JBJS.K.00884.
2
Effect of postoperative mechanical axis alignment on the fifteen-year survival of modern, cemented total knee replacements.术后机械轴对线对现代水泥固定全膝关节置换术 15 年生存率的影响。
J Bone Joint Surg Am. 2010 Sep 15;92(12):2143-9. doi: 10.2106/JBJS.I.01398.
3
Younger age increases the risk of early prosthesis failure following primary total knee replacement for osteoarthritis. A follow-up study of 32,019 total knee replacements in the Finnish Arthroplasty Register.
Enhancing Surgical Efficiency and Radiological Outcomes Through Advances in Patient-Specific Instrument Design.
通过患者特异性器械设计的进展提高手术效率和放射学结果。
J Clin Med. 2025 Jan 7;14(2):307. doi: 10.3390/jcm14020307.
4
Correlation of revision rate of unicompartmental knee arthroplasty with total knee arthroplasty: a meta-analysis of clinical studies and worldwide arthroplasty registers.单髁膝关节置换术翻修率与全膝关节置换术翻修率的相关性:临床研究和全球关节置换登记处的荟萃分析。
Arch Orthop Trauma Surg. 2024 Nov;144(11):4873-4886. doi: 10.1007/s00402-024-05574-1. Epub 2024 Oct 15.
5
Saw-box osteotomy versus reamer-box osteotomy in posterior stabilized total knee arthroplasty: a retrospective study of an average five year follow-up.后路稳定型全膝关节置换术中锯切盒截骨与扩髓盒截骨的比较:一项平均随访 5 年的回顾性研究。
Int Orthop. 2024 May;48(5):1209-1215. doi: 10.1007/s00264-024-06119-2. Epub 2024 Feb 22.
6
Robotic-arm assisted total knee arthroplasty has a learning curve of 16 cases and increased operative time of 12 min.机器人辅助全膝关节置换术有 16 例的学习曲线,手术时间延长 12 分钟。
ANZ J Surg. 2022 Nov;92(11):2974-2979. doi: 10.1111/ans.17975. Epub 2022 Aug 12.
7
Introduction of ROSA robotic-arm system for total knee arthroplasty is associated with a minimal learning curve for operative time.用于全膝关节置换术的ROSA机器人手臂系统的引入与手术时间的最小学习曲线相关。
J Exp Orthop. 2022 Dec;9(1):86. doi: 10.1186/s40634-022-00524-5. Epub 2022 Aug 30.
8
Unicompartmental knee arthroplasty in patients under the age of 60 years provides excellent clinical outcomes and 10-year implant survival: a systematic review : A study performed by the Early Osteoarthritis group of ESSKA-European Knee Associates section.60岁以下患者的单髁膝关节置换术可提供优异的临床疗效和10年植入物生存率:一项由ESSKA-欧洲膝关节协会早期骨关节炎小组进行的系统评价。
Knee Surg Sports Traumatol Arthrosc. 2023 Mar;31(3):922-932. doi: 10.1007/s00167-022-07029-9. Epub 2022 Jun 28.
9
Is standard total knee arthroplasty with lateral femoral overhanging a cause of anterior knee pain? A randomized controlled trial.标准全膝关节置换术中股骨外侧悬垂是导致膝关节前方疼痛的原因吗?一项随机对照试验。
SICOT J. 2022;8:3. doi: 10.1051/sicotj/2022003. Epub 2022 Feb 22.
10
Finite element stress analysis of the bearing component and bone resected surfaces for total ankle replacement with different implant material combinations.不同植入物材料组合的全踝关节置换术后承载部件和骨切除表面的有限元应力分析。
BMC Musculoskelet Disord. 2022 Jan 19;23(1):70. doi: 10.1186/s12891-021-04982-3.
对于原发性骨关节炎行初次全膝关节置换术后,年龄较小会增加早期假体失败的风险。一项对芬兰关节置换登记处 32019 例全膝关节置换的随访研究。
Acta Orthop. 2010 Aug;81(4):413-9. doi: 10.3109/17453674.2010.501747.
4
Cemented rotating-platform total knee replacement: a concise follow-up, at a minimum of twenty years, of a previous report.骨水泥固定旋转平台全膝关节置换:对先前报告的最少 20 年随访的简要回顾。
J Bone Joint Surg Am. 2010 Jul 7;92(7):1635-9. doi: 10.2106/JBJS.I.01012.
5
Patient satisfaction after total knee arthroplasty: who is satisfied and who is not?全膝关节置换术后患者满意度:谁满意,谁不满意?
Clin Orthop Relat Res. 2010 Jan;468(1):57-63. doi: 10.1007/s11999-009-1119-9.
6
The new arthritic patient and arthroplasty treatment options.新的关节炎患者与关节置换治疗方案。
J Bone Joint Surg Am. 2009 Aug;91 Suppl 5:43-8. doi: 10.2106/JBJS.I.00406.
7
Future young patient demand for primary and revision joint replacement: national projections from 2010 to 2030.未来年轻患者对初次及翻修关节置换的需求:2010年至2030年的全国预测
Clin Orthop Relat Res. 2009 Oct;467(10):2606-12. doi: 10.1007/s11999-009-0834-6. Epub 2009 Apr 10.
8
Midterm comparison of posterior cruciate-retaining versus -substituting total knee arthroplasty using the Genesis II prosthesis. A multicenter prospective randomized clinical trial.使用Genesis II假体的后交叉韧带保留型与替代型全膝关节置换术的中期比较。一项多中心前瞻性随机临床试验。
Knee. 2008 Jun;15(3):217-21. doi: 10.1016/j.knee.2007.12.007. Epub 2008 Mar 5.
9
The Dutch version of the Knee Injury and Osteoarthritis Outcome Score: a validation study.膝关节损伤与骨关节炎疗效评分的荷兰语版本:一项验证研究。
Health Qual Life Outcomes. 2008 Feb 26;6:16. doi: 10.1186/1477-7525-6-16.
10
A randomised controlled trial of cemented versus cementless press-fit condylar total knee replacement: 15-year survival analysis.骨水泥型与非骨水泥型压配髁全膝关节置换术的随机对照试验:15年生存率分析
J Bone Joint Surg Br. 2007 Dec;89(12):1608-14. doi: 10.1302/0301-620X.89B12.19363.