• 文献检索
  • 文档翻译
  • 深度研究
  • 学术资讯
  • Suppr Zotero 插件Zotero 插件
  • 邀请有礼
  • 套餐&价格
  • 历史记录
应用&插件
Suppr Zotero 插件Zotero 插件浏览器插件Mac 客户端Windows 客户端微信小程序
定价
高级版会员购买积分包购买API积分包
服务
文献检索文档翻译深度研究API 文档MCP 服务
关于我们
关于 Suppr公司介绍联系我们用户协议隐私条款
关注我们

Suppr 超能文献

核心技术专利:CN118964589B侵权必究
粤ICP备2023148730 号-1Suppr @ 2026

文献检索

告别复杂PubMed语法,用中文像聊天一样搜索,搜遍4000万医学文献。AI智能推荐,让科研检索更轻松。

立即免费搜索

文件翻译

保留排版,准确专业,支持PDF/Word/PPT等文件格式,支持 12+语言互译。

免费翻译文档

深度研究

AI帮你快速写综述,25分钟生成高质量综述,智能提取关键信息,辅助科研写作。

立即免费体验

新生儿皮下脂肪坏死:两例临床表现

Subcutaneous fat necrosis of the newborn: clinical manifestations in two cases.

作者信息

Gomes Milena Pires de Campos Luciano, Porro Adriana Maria, Enokihara Milvia Maria Simões da Silva, Floriano Marcos César

机构信息

Federal University of São Paulo, Paulista Medical School, São PauloSP, Brazil.

Federal University of São Paulo, Paulista Medical School.

出版信息

An Bras Dermatol. 2013 Nov-Dec;88(6 Suppl 1):154-7. doi: 10.1590/abd1806-4841.20132229.

DOI:10.1590/abd1806-4841.20132229
PMID:24346906
原文链接:https://pmc.ncbi.nlm.nih.gov/articles/PMC3875964/
Abstract

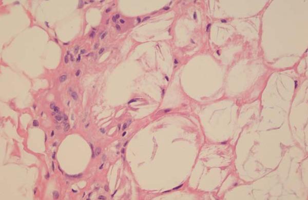
Subcutaneous fat necrosis of the newborn is an unusual form of panniculitis, with few cases described in medical literature. The disease affects newborns at term or post-term, with normal general health. We describe two cases of newborns affected by the disease. One of them already had lesions since birth. Also, we discuss the use of puncture for diagnostic assistance.

摘要

新生儿皮下脂肪坏死是一种罕见的脂膜炎形式,医学文献中描述的病例很少。该疾病影响足月儿或过期产儿,一般健康状况正常。我们描述了两例受该疾病影响的新生儿病例。其中一例自出生就有病变。此外,我们还讨论了穿刺在诊断辅助中的应用。

https://cdn.ncbi.nlm.nih.gov/pmc/blobs/9609/3875964/4897be2a81f2/abd-88-06-s1-0154-g05.jpg
https://cdn.ncbi.nlm.nih.gov/pmc/blobs/9609/3875964/fe5b32644bfc/abd-88-06-s1-0154-g01.jpg
https://cdn.ncbi.nlm.nih.gov/pmc/blobs/9609/3875964/38d7f1e80457/abd-88-06-s1-0154-g02.jpg
https://cdn.ncbi.nlm.nih.gov/pmc/blobs/9609/3875964/2c1f3cb7938d/abd-88-06-s1-0154-g03.jpg
https://cdn.ncbi.nlm.nih.gov/pmc/blobs/9609/3875964/04f9c60ed187/abd-88-06-s1-0154-g04.jpg
https://cdn.ncbi.nlm.nih.gov/pmc/blobs/9609/3875964/4897be2a81f2/abd-88-06-s1-0154-g05.jpg
https://cdn.ncbi.nlm.nih.gov/pmc/blobs/9609/3875964/fe5b32644bfc/abd-88-06-s1-0154-g01.jpg
https://cdn.ncbi.nlm.nih.gov/pmc/blobs/9609/3875964/38d7f1e80457/abd-88-06-s1-0154-g02.jpg
https://cdn.ncbi.nlm.nih.gov/pmc/blobs/9609/3875964/2c1f3cb7938d/abd-88-06-s1-0154-g03.jpg
https://cdn.ncbi.nlm.nih.gov/pmc/blobs/9609/3875964/04f9c60ed187/abd-88-06-s1-0154-g04.jpg
https://cdn.ncbi.nlm.nih.gov/pmc/blobs/9609/3875964/4897be2a81f2/abd-88-06-s1-0154-g05.jpg

相似文献

1
Subcutaneous fat necrosis of the newborn: clinical manifestations in two cases.新生儿皮下脂肪坏死:两例临床表现
An Bras Dermatol. 2013 Nov-Dec;88(6 Suppl 1):154-7. doi: 10.1590/abd1806-4841.20132229.
2
Subcutaneous Fat Necrosis of the Newborn: Is Fine Needle Aspiration Cytology Diagnostic?新生儿皮下脂肪坏死:细针穿刺抽吸细胞学检查具有诊断价值吗?
Acta Cytol. 2019;63(1):75-77. doi: 10.1159/000494501. Epub 2018 Dec 13.
3
Subcutaneous fat necrosis of the newborn: clinical and histopathological correlation.新生儿皮下脂肪坏死:临床与组织病理学相关性
An Bras Dermatol. 2018 Jun;93(3):412-414. doi: 10.1590/abd1806-4841.20187508.
4
Rapid cytologic diagnosis of subcutaneous fat necrosis of the newborn.新生儿皮下脂肪坏死的快速细胞学诊断
Pediatr Dermatol. 2023 Mar;40(2):387-388. doi: 10.1111/pde.15194. Epub 2022 Nov 21.
5
Subcutaneous fat necrosis of the new born.新生儿皮下脂肪坏死
Indian J Pathol Microbiol. 2007 Oct;50(4):849-50.
6
Cutaneous complication of perinatal hypoxia.围产期缺氧的皮肤并发症。
Dermatol Online J. 2018 Mar 15;24(3):13030/qt076152vc.
7
Neutrophil-rich subcutaneous fat necrosis of the newborn: A potential mimic of infection.新生儿富含中性粒细胞的皮下脂肪坏死:一种潜在的感染模拟物。
J Am Acad Dermatol. 2016 Jul;75(1):177-185.e17. doi: 10.1016/j.jaad.2016.02.1151. Epub 2016 May 4.
8
Atypical facial presentation of subcutaneous fat necrosis of the newborn.新生儿皮下脂肪坏死的非典型面部表现。
Ann R Coll Surg Engl. 2021 Jul;103(7):e234-e237. doi: 10.1308/rcsann.2021.0035.
9
Fine-Needle Aspiration as a Method of Diagnosis of Subcutaneous Fat Necrosis of the Newborn.细针穿刺抽吸作为诊断新生儿皮下脂肪坏死的一种方法。
Pediatr Dermatol. 2016 May;33(3):e220-1. doi: 10.1111/pde.12851. Epub 2016 Apr 29.
10
Case 1: Peripheral Intravenous Catheter Site Swelling/Abscesses in the Neonate.病例1:新生儿外周静脉导管部位肿胀/脓肿
Pediatr Rev. 2020 Jun;41(6):293-296. doi: 10.1542/pir.2018-0232.

引用本文的文献

1
Subcutaneous Fat Necrosis and Hypercalcemia with Nephrocalcinosis in Infancy: Case Report and Review of the Literature.婴儿期皮下脂肪坏死合并高钙血症及肾钙质沉着症:病例报告及文献复习
Children (Basel). 2021 May 9;8(5):374. doi: 10.3390/children8050374.
2
Subcutaneous fat necrosis requiring plastic surgical intervention in an infant treated with whole-body cooling.接受全身降温治疗的婴儿出现需要整形外科干预的皮下脂肪坏死。
JPRAS Open. 2017 Dec 26;15:61-65. doi: 10.1016/j.jpra.2017.10.006. eCollection 2018 Mar.
3
Newborn With Enlarged Erythematous Mass on Back: Case Report and Review of Medical Literature.

本文引用的文献

1
Fat necrosis of the newborn--report on two cases.新生儿脂肪坏死——两例报告。
An Bras Dermatol. 2011 Jul-Aug;86(4 Suppl 1):S114-7. doi: 10.1590/s0365-05962011000700030.
2
Subcutaneous fat necrosis after moderate therapeutic hypothermia in neonates.新生儿亚低温治疗后皮下脂肪坏死。
Pediatrics. 2011 Aug;128(2):e450-2. doi: 10.1542/peds.2010-3508. Epub 2011 Jul 4.
3
Effectiveness of pamidronate in severe neonatal hypercalcemia caused by subcutaneous fat necrosis: a case report.帕米膦酸治疗皮下脂肪坏死所致重症新生儿高钙血症的有效性:一例报告
背部出现红斑性肿块增大的新生儿:病例报告及医学文献综述
Glob Pediatr Health. 2018 Oct 1;5:2333794X18803552. doi: 10.1177/2333794X18803552. eCollection 2018.
4
Subcutaneous fat necrosis of the newborn: clinical and histopathological correlation.新生儿皮下脂肪坏死:临床与组织病理学相关性
An Bras Dermatol. 2018 Jun;93(3):412-414. doi: 10.1590/abd1806-4841.20187508.
5
Neonatal subcutaneous fat necrosis with hypercalcemia treatment using calcitonin.使用降钙素治疗新生儿皮下脂肪坏死伴高钙血症
Saudi Med J. 2018 Jun;39(6):622-626. doi: 10.15537/smj.2018.6.22025.
6
Hypocalcemia Associated with Subcutaneous Fat Necrosis of the Newborn: Case Report and Literature Review.新生儿皮下脂肪坏死伴低钙血症:病例报告及文献综述
Oman Med J. 2017 Nov;32(6):518-521. doi: 10.5001/omj.2017.99.
7
Subcutaneous fat necrosis of the newborn.新生儿皮下脂肪坏死
Clin Case Rep. 2015 Nov 5;3(12):1017-20. doi: 10.1002/ccr3.423. eCollection 2015 Dec.
8
Subcutaneous Fat Necrosis of the Newborn: A Case Report of a Term Infant Presenting with Malaise and Fever at Age of 9 Weeks.新生儿皮下脂肪坏死:一例足月儿在9周龄时出现不适和发热的病例报告。
Case Rep Pediatr. 2015;2015:638962. doi: 10.1155/2015/638962. Epub 2015 Oct 8.
Eur J Pediatr. 2009 May;168(5):625-7. doi: 10.1007/s00431-008-0797-8. Epub 2008 Aug 23.
4
Severe neonatal hypercalcemia caused by subcutaneous fat necrosis without any apparent cutaneous lesion.
Eur J Pediatr. 2008 Dec;167(12):1459-61. doi: 10.1007/s00431-008-0682-5. Epub 2008 Mar 26.
5
Subcutaneous fat necrosis of the newborn: a systematic evaluation of risk factors, clinical manifestations, complications and outcome of 16 children.新生儿皮下脂肪坏死:16例患儿危险因素、临床表现、并发症及预后的系统评估
Br J Dermatol. 2007 Apr;156(4):709-15. doi: 10.1111/j.1365-2133.2007.07782.x.
6
Cytological diagnosis of subcutaneous fat necrosis of newborn: a case report.新生儿皮下脂肪坏死的细胞学诊断:一例报告
Dermatol Online J. 2005 Dec 1;11(3):20.
7
Complications of subcutaneous fat necrosis of the newborn: a case report and review of the literature.新生儿皮下脂肪坏死的并发症:一例病例报告及文献综述
Pediatr Dermatol. 2003 May-Jun;20(3):257-61. doi: 10.1046/j.1525-1470.2003.20315.x.
8
Subcutaneous fat necrosis of the newborn: a review of 11 cases.新生儿皮下脂肪坏死:11例病例回顾
Pediatr Dermatol. 1999 Sep-Oct;16(5):384-7. doi: 10.1046/j.1525-1470.1999.00101.x.
9
Fine needle aspiration cytodiagnosis of subcutaneous fat necrosis of newborn. A case report.
Acta Cytol. 1995 Jul-Aug;39(4):759-61.