Suppr超能文献

手掌部单侧顶泌汗腺性扁平苔藓

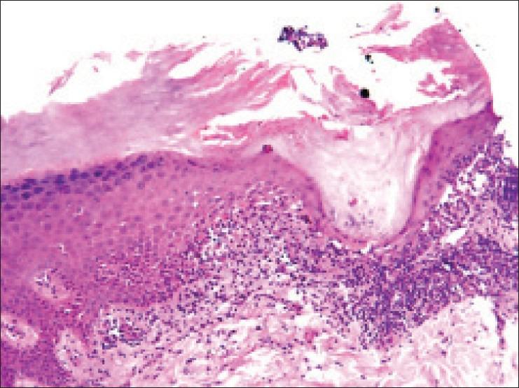
Unilateral acrosyringeal lichen planus of palm.

作者信息

Gutte Rameshwar M

机构信息

Department of Dermatology, Dr. L. H. Hiranandani Hospital, Powai, Mumbai, Maharashtra, India.

出版信息

Indian Dermatol Online J. 2013 Oct;4(4):350-2. doi: 10.4103/2229-5178.120681.

Abstract

Lichen planus (LP) is a pruritic, benign, papulosquamous, inflammatory dermatosis of unknown etiology that affects either or all of the skin, mucus membrane, hair and nail. It presents with varied morphology on the palms and soles. Here we present a case of unusual acrosyringeal variant of LP on palm. The diagnosis was confirmed histologically.

摘要

扁平苔藓(LP)是一种病因不明的瘙痒性、良性、丘疹鳞屑性炎症性皮肤病,可累及皮肤、黏膜、毛发和指甲中的一个或全部。其在手掌和足底表现出多样的形态。在此,我们报告一例手掌部罕见的顶泌汗腺导管型扁平苔藓病例。组织学检查确诊了该诊断。

https://cdn.ncbi.nlm.nih.gov/pmc/blobs/c6a5/3853909/589b75b36de4/IDOJ-4-350-g001.jpg

相似文献

1
Unilateral acrosyringeal lichen planus of palm.
Indian Dermatol Online J. 2013 Oct;4(4):350-2. doi: 10.4103/2229-5178.120681.
2
Hyperkeratotic Palmoplantar Lichen Planus in a child.
Indian J Dermatol. 2013 Sep;58(5):405. doi: 10.4103/0019-5154.117310.
3
Predominant palmoplantar lichen planus: a diagnostic challenge.
Indian J Dermatol. 2014 Jul;59(4):343-7. doi: 10.4103/0019-5154.135477.
4
Update on lichen planus and its clinical variants.
Int J Womens Dermatol. 2015 Sep 16;1(3):140-149. doi: 10.1016/j.ijwd.2015.04.001. eCollection 2015 Aug.
6
A case of palmoplantar lichen planus mimicking secondary syphilis.
Ann Dermatol. 2009 Nov;21(4):429-31. doi: 10.5021/ad.2009.21.4.429. Epub 2009 Nov 30.
7
Childhood lichen planus with palmoplantar involvement.
Ann Dermatol. 2010 Feb;22(1):51-3. doi: 10.5021/ad.2010.22.1.51. Epub 2010 Feb 28.
8
Palmoplantar Lesions of Lichen Planus.
Indian J Dermatol. 2018 Jan-Feb;63(1):57-61. doi: 10.4103/ijd.IJD_161_17.
9
Ulcerative lichen planus: a rare variant of lichen planus.
J Dermatol. 1997 Apr;24(4):270-2. doi: 10.1111/j.1346-8138.1997.tb02788.x.
10
Zosteriform lichen planus-like eruption.
Acta Dermatovenerol Alp Pannonica Adriat. 2006 Jun;15(2):94-7.

引用本文的文献

1
Syringotropic Lichen Planus: An Unusual Presentation of a Common Dermatosis - A Report of 2 Cases.
Case Rep Dermatol. 2024 Oct 24;16(1):226-233. doi: 10.1159/000541695. eCollection 2024 Jan-Dec.
2
Adnexotropic Variants of the Interface Dermatitides: A Review.
Dermatopathology (Basel). 2021 May 21;8(2):135-146. doi: 10.3390/dermatopathology8020020.
3
Treatment modalities of palmoplantar lichen planus: a brief review.
Postepy Dermatol Alergol. 2016 Dec;33(6):411-415. doi: 10.5114/ada.2016.63879. Epub 2016 Dec 2.
4
Unilateral zosteriform lichen planus involving multiple noncontiguous dermatomes with oral involvement.
Indian Dermatol Online J. 2016 Nov-Dec;7(6):539-541. doi: 10.4103/2229-5178.193919.
5
Colocalization of linear lichen planus and psoriasis vulgaris.
Indian Dermatol Online J. 2016 Sep-Oct;7(5):438-440. doi: 10.4103/2229-5178.190507.

本文引用的文献

1
Acrosyringeal lichen planus of palm.
Indian J Dermatol Venereol Leprol. 2012 Jul-Aug;78(4):521. doi: 10.4103/0378-6323.98106.
2
Perforating lichen planus.
Indian J Dermatol Venereol Leprol. 2011 Jul-Aug;77(4):515-7. doi: 10.4103/0378-6323.82390.
3
Hyperkeratotic pitted plaques on the palms and soles.
Indian J Dermatol Venereol Leprol. 2010 Jan-Feb;76(1):52-5. doi: 10.4103/0378-6323.58680.
4
Palmoplantar lichen planus presenting with vesicle-like papules.
J Dermatol. 2003 Apr;30(4):337-40. doi: 10.1111/j.1346-8138.2003.tb00397.x.
5
Lichen planus with lesions on the palms and/or soles: prevalence and clinicopathological study of 36 patients.
Br J Dermatol. 2000 Feb;142(2):310-4. doi: 10.1046/j.1365-2133.2000.03303.x.
6
Acrosyringeal lichen planus.
Acta Derm Venereol. 1987;67(4):346-50.

文献AI研究员

20分钟写一篇综述,助力文献阅读效率提升50倍。

立即体验

用中文搜PubMed

大模型驱动的PubMed中文搜索引擎

马上搜索

文档翻译

学术文献翻译模型,支持多种主流文档格式。

立即体验