Suppr超能文献

利拉鲁肽可逆转糖皮质激素诱导的代谢综合征小鼠模型的肥胖和葡萄糖不耐受。

Liraglutide counteracts obesity and glucose intolerance in a mouse model of glucocorticoid-induced metabolic syndrome.

机构信息

Department of Clinical Science and Education, Södersjukhuset, Karolinska Institutet, Research Center Floor 3, 118 83, Stockholm, Sweden.

出版信息

Diabetol Metab Syndr. 2014 Jan 14;6(1):3. doi: 10.1186/1758-5996-6-3.

Abstract

BACKGROUND

Glucocorticoid excess is commonly associated with diabetogenic effects, including insulin resistance and glucose intolerance. The effects of the long-term glucagon-like peptide 1 receptor agonist treatment on the metabolic syndrome-like conditions are not yet fully elucidated. Thus, we aimed to test whether long-term liraglutide treatment could be effective as a therapy to counteract the metabolic dysfunctions induced by chronic glucocorticoid exposure.

METHODS

Mice were given corticosterone or vehicle via their drinking water for five consecutive weeks. In addition, mice were treated with once-daily injections of either PBS or liraglutide.

RESULTS

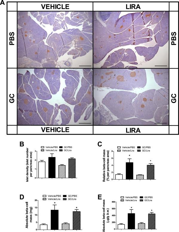
Liraglutide treatment slowed progression towards obesity and ectopic fat deposition in liver that otherwise occurred in corticosterone-treated mice. The drug reduced the increment in serum insulin caused by corticosterone, but did not affect the reduction of insulin sensitivity. Furthermore, liraglutide improved glucose control in mice exposed to corticosterone as evident by a delay in the progression towards post-prandial hyperglycemia and enhanced glucose clearance during a glucose tolerance test. Glucose-stimulated C-peptide levels were higher in those mice that had received liraglutide and corticosterone compared to mice that had been treated with corticosterone alone, indicating a positive role of liraglutide for beta-cell function. Morphometric analysis revealed increased beta- and alpha-cell masses that were associated with more Ki67-positive islet cells in corticosterone-treated mice irrespective of whether they were co-treated with liraglutide or not. Liraglutide had no discernible effect on alpha-cell mass.

CONCLUSION

Liraglutide can be beneficial for subjects at risk of developing metabolic complications as a result of glucocorticoid excess.

摘要

背景

糖皮质激素过多通常与致糖尿病作用相关,包括胰岛素抵抗和葡萄糖耐量异常。长期胰高血糖素样肽 1 受体激动剂治疗对代谢综合征样情况的影响尚未完全阐明。因此,我们旨在测试长期利拉鲁肽治疗是否可以作为一种有效的治疗方法来对抗慢性糖皮质激素暴露引起的代谢功能障碍。

方法

连续五周,通过饮用水给小鼠给予皮质酮或载体。此外,每天一次给小鼠注射 PBS 或利拉鲁肽。

结果

利拉鲁肽治疗减缓了皮质酮处理的小鼠中肥胖和肝外脂肪沉积的进展。该药物降低了皮质酮引起的血清胰岛素升高,但不影响胰岛素敏感性的降低。此外,利拉鲁肽改善了暴露于皮质酮的小鼠的血糖控制,表现在餐后高血糖进展延迟和葡萄糖耐量试验期间葡萄糖清除率增强。与单独接受皮质酮治疗的小鼠相比,接受利拉鲁肽和皮质酮治疗的小鼠的葡萄糖刺激 C 肽水平更高,表明利拉鲁肽对β细胞功能具有积极作用。形态计量学分析显示,β细胞和α细胞的质量增加,与更多的 Ki67 阳性胰岛细胞有关,而与是否共同接受利拉鲁肽治疗无关。利拉鲁肽对α细胞质量没有明显影响。

结论

利拉鲁肽可能有益于因糖皮质激素过多而有发生代谢并发症风险的患者。

https://cdn.ncbi.nlm.nih.gov/pmc/blobs/fbd9/3905931/6211504b20dc/1758-5996-6-3-1.jpg

文献AI研究员

20分钟写一篇综述,助力文献阅读效率提升50倍。

立即体验

用中文搜PubMed

大模型驱动的PubMed中文搜索引擎

马上搜索

文档翻译

学术文献翻译模型,支持多种主流文档格式。

立即体验