Suppr超能文献

肿瘤坏死因子刺激的人细胞系(ESH 98)产生嗜酸性粒细胞激活因子(EAF)

Eosinophil-activating factor (EAF) production by a human cell line (ESH 98) stimulated with tumour necrosis factor.

作者信息

Thorne K J, Richardson B A, Butterworth A E, Stanley M

机构信息

Department of Pathology, University of Cambridge, U.K.

出版信息

Immunology. 1988 Mar;63(3):545-50.

Abstract

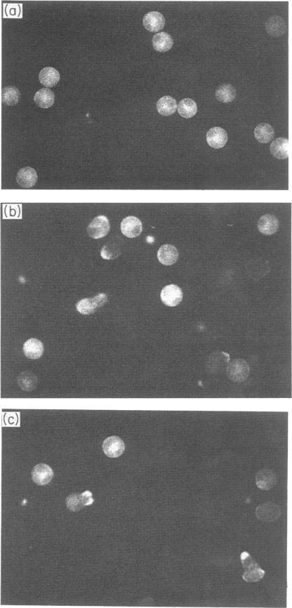
A new cell line has been produced by fusing human cervical keratinocytes with HeLa cells. This cell line secretes eosinophil-activating activity upon stimulation with tumour necrosis factor (TNF). About one-third of the eosinophil-activating activity co-purifies with eosinophil-activating factor (EAF) from mononuclear cell supernatants. The purification procedure indicates that it resembles EAF in molecular weight and acidity. It also resembles EAF in its effect on eosinophils. Not only does it enhance the cytotoxic activity of eosinophils to antibody-coated schistosomula of Schistosoma mansoni, but it also increases the oxidative activity of eosinophils, as measured by reduction of nitroblue tetrazolium, and changes the morphology of eosinophils, affecting the distribution of F-actin in the cell.

摘要

通过将人宫颈角质形成细胞与HeLa细胞融合,已产生一种新的细胞系。该细胞系在受到肿瘤坏死因子(TNF)刺激后会分泌嗜酸性粒细胞激活活性。约三分之一的嗜酸性粒细胞激活活性与来自单核细胞上清液的嗜酸性粒细胞激活因子(EAF)共同纯化。纯化过程表明,它在分子量和酸度上与EAF相似。它对嗜酸性粒细胞的作用也与EAF相似。它不仅增强了嗜酸性粒细胞对曼氏血吸虫抗体包被的童虫的细胞毒活性,还增加了嗜酸性粒细胞的氧化活性(通过硝基蓝四氮唑还原测定),并改变了嗜酸性粒细胞的形态,影响细胞内F-肌动蛋白的分布。

https://cdn.ncbi.nlm.nih.gov/pmc/blobs/1f1d/1454751/a3d350cc8eaa/immunology00160-0187-a.jpg

文献检索

告别复杂PubMed语法,用中文像聊天一样搜索,搜遍4000万医学文献。AI智能推荐,让科研检索更轻松。

立即免费搜索

文件翻译

保留排版,准确专业,支持PDF/Word/PPT等文件格式,支持 12+语言互译。

免费翻译文档

深度研究

AI帮你快速写综述,25分钟生成高质量综述,智能提取关键信息,辅助科研写作。

立即免费体验