Suppr超能文献

男性乳腺原发性滤泡性淋巴瘤 1 例报告

Primary follicular lymphoma in a male breast: a case report.

机构信息

Division of Breast and Endocrine Surgery, Department of Surgery, Korea University Hospital, Korea University College of Medicine, Seoul, Korea.

Department of Pathology, Samsung Medical Center, Sungkyunkwan University School of Medicine, Seoul, Korea.

出版信息

Cancer Res Treat. 2014 Jan;46(1):104-7. doi: 10.4143/crt.2014.46.1.104. Epub 2014 Jan 15.

Abstract

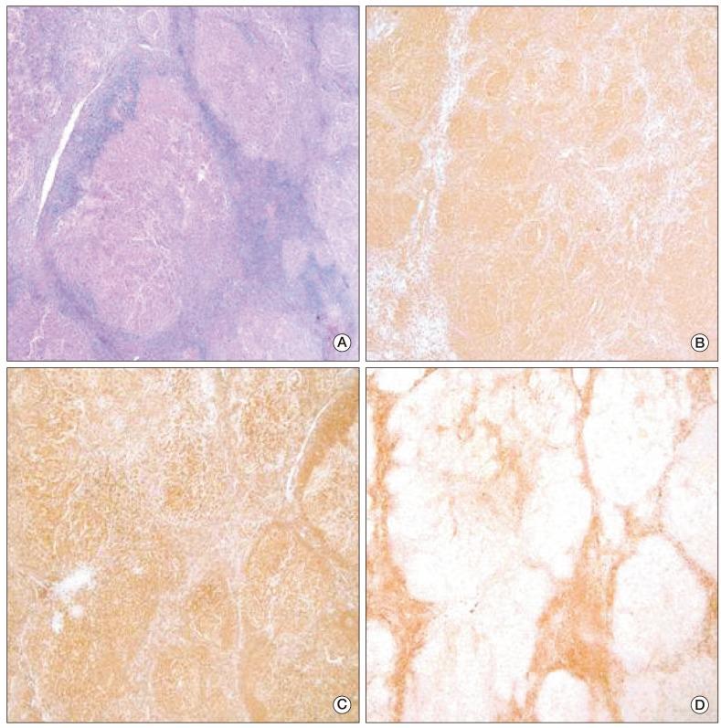
Primary breast lymphoma (PBL) is a rare disease, particularly in males. Diffuse large B cell lymphoma is the most common PBL, while follicular lymphoma is less common. Furthermore, primary follicular lymphoma of a male breast is rarely reported. We report a male patient with primary follicular lymphoma of the breast and hepatocellular carcinoma (HCC). A 46-year-old man was diagnosed with liver cirrhosis secondary to chronic hepatitis B infection. Ten years later, he underwent segmentectomy of the liver due to HCC. Another 5 months later, he presented with a painless mass in the right chest wall. The mass was diagnosed as follicular lymphoma of the breast. The stage was IEA and he did not receive adjuvant therapy. Although only a few cases have been reported, lymphoma should be considered as a possible cause of breast mass, even in male patients.

摘要

原发性乳腺淋巴瘤(PBL)是一种罕见疾病,尤其在男性中更为少见。弥漫性大 B 细胞淋巴瘤是最常见的 PBL 类型,而滤泡性淋巴瘤则较为少见。此外,男性乳腺原发性滤泡性淋巴瘤更是罕见。我们报告一例男性乳腺原发性滤泡性淋巴瘤合并肝细胞癌(HCC)的病例。一位 46 岁男性因慢性乙型肝炎感染导致肝硬化,十年后因 HCC 行肝段切除术。又过了 5 个月,他出现右侧胸壁无痛性肿块。该肿块被诊断为乳腺滤泡性淋巴瘤。分期为 IEA,未接受辅助治疗。尽管仅有少数病例报道,但即使是男性患者,也应考虑淋巴瘤可能是乳腺肿块的原因之一。

https://cdn.ncbi.nlm.nih.gov/pmc/blobs/961f/3918521/5327a96d7a47/crt-46-104-g001.jpg

文献AI研究员

20分钟写一篇综述,助力文献阅读效率提升50倍。

立即体验

用中文搜PubMed

大模型驱动的PubMed中文搜索引擎

马上搜索

文档翻译

学术文献翻译模型,支持多种主流文档格式。

立即体验