Suppr超能文献

原发性乳腺弥漫性大B细胞非霍奇金淋巴瘤——1例病例报告并文献复习

Primary diffuse large B-cell non-Hodgkin's lymphoma of the breast-A case report and review of the literature.

作者信息

Harb Ola A, Balata Safa A, Ashour Hassan, Eltokhy Eman, Gertallah Loay M, Ahmed Rham Z, Hassanin Ali M

机构信息

Department of Pathology, Faculty of Medicine, Zagazig University, Egypt.

Department of Clinical Oncology and nuclear medicine, Faculty of Medicine, Zagazig University, Egypt.

出版信息

Radiol Case Rep. 2018 Oct 4;14(1):22-27. doi: 10.1016/j.radcr.2018.09.004. eCollection 2019 Jan.

Abstract

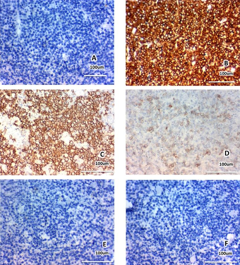
Primary breast lymphoma (PBL) is considered a rare clinical entity forming about 0.4%-0.5% of all breast tumors. In this report we have presented a case of PBL in a 56-year-old female complaining of a mass in the upper medial quadrant of the breast. PBL suspicion of our case was made by breast radiology and the sure diagnosis was reached by the immunohistochemistry results; CD (cluster of differentiation) 20: was diffusely positive; Pan-CK (pan-cytokeratin): was diffusely negative in tumor cells. Hence, the case was finally diagnosed as a primary breast a primary breast diffuse large B-cell non-Hodgkin's lymphoma of lymphoma. The management and outcome of PBL and carcinoma are totally different. Accurate diagnosis of PBL by true cut needle biopsy and immunocytochemistry is important to avoid unnecessary mastectomies.

摘要

原发性乳腺淋巴瘤(PBL)被认为是一种罕见的临床实体,约占所有乳腺肿瘤的0.4%-0.5%。在本报告中,我们呈现了一例56岁女性原发性乳腺淋巴瘤病例,该患者主诉乳房上内侧象限有肿块。我们的病例通过乳腺放射学检查怀疑为原发性乳腺淋巴瘤,最终通过免疫组化结果确诊;CD(分化簇)20:弥漫性阳性;全细胞角蛋白(Pan-CK):肿瘤细胞弥漫性阴性。因此,该病例最终被诊断为原发性乳腺弥漫性大B细胞非霍奇金淋巴瘤。原发性乳腺淋巴瘤和乳腺癌的治疗及预后完全不同。通过粗针穿刺活检和免疫细胞化学准确诊断原发性乳腺淋巴瘤对于避免不必要的乳房切除术很重要。

https://cdn.ncbi.nlm.nih.gov/pmc/blobs/6ab8/6172487/1175827a52c4/gr1.jpg

文献AI研究员

20分钟写一篇综述,助力文献阅读效率提升50倍。

立即体验

用中文搜PubMed

大模型驱动的PubMed中文搜索引擎

马上搜索

文档翻译

学术文献翻译模型,支持多种主流文档格式。

立即体验