Suppr超能文献

先天性心脏病的功能评估

Functional assessment for congenital heart disease.

作者信息

Cheung Yiu-Fai

机构信息

Division of Paediatric Cardiology, Department of Paediatrics and Adolescent Medicine, Queen Mary Hospital, The University of Hong Kong, Hong Kong, China.

出版信息

Korean Circ J. 2014 Mar;44(2):59-73. doi: 10.4070/kcj.2014.44.2.59.

Abstract

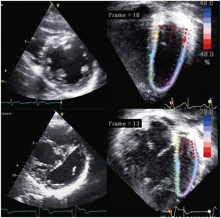
Significant improvement in survival of children with congenital cardiac malformations has resulted in an increasing population of adolescent and adult patients with congenital heart disease. Of the long-term cardiac problems, ventricular dysfunction remains an important issue of concern. Despite corrective or palliative repair of congenital heart lesions, the right ventricle, which may be the subpulmonary or systemic ventricular chamber, and the functional single ventricle are particularly vulnerable to functional impairment. Regular assessment of cardiac function constitutes an important aspect in the long-term follow up of patients with congenital heart disease. Echocardiography remains the most useful imaging modality for longitudinal monitoring of cardiac function. Conventional echocardiographic assessment has focused primarily on quantification of changes in ventricular size and blood flow velocities during the cardiac cycles. Advances in echocardiographic technologies including tissue Doppler imaging and speckle tracking echocardiography have enabled direct interrogation of myocardial deformation. In this review, the issues of ventricular dysfunction in congenital heart disease, conventional echocardiographic and novel myocardial deformation imaging techniques, and clinical applications of these techniques in the functional assessment of congenital heart disease are discussed.

摘要

先天性心脏畸形患儿生存率的显著提高,使得先天性心脏病的青少年和成年患者群体不断增加。在长期的心脏问题中,心室功能障碍仍然是一个重要的关注点。尽管对先天性心脏病变进行了矫正或姑息性修复,但右心室(可能是肺下或体循环心室腔)以及功能性单心室特别容易受到功能损害。定期评估心脏功能是先天性心脏病患者长期随访的一个重要方面。超声心动图仍然是纵向监测心脏功能最有用的成像方式。传统的超声心动图评估主要集中在量化心动周期中心室大小和血流速度的变化。包括组织多普勒成像和斑点追踪超声心动图在内的超声心动图技术的进步,使得能够直接检测心肌变形。在这篇综述中,讨论了先天性心脏病中的心功能障碍问题、传统超声心动图和新型心肌变形成像技术,以及这些技术在先天性心脏病功能评估中的临床应用。

https://cdn.ncbi.nlm.nih.gov/pmc/blobs/258c/3958610/a9fd6c317c0c/kcj-44-59-g001.jpg

文献AI研究员

20分钟写一篇综述,助力文献阅读效率提升50倍。

立即体验

用中文搜PubMed

大模型驱动的PubMed中文搜索引擎

马上搜索

文档翻译

学术文献翻译模型,支持多种主流文档格式。

立即体验