Suppr超能文献

甲型H7N9禽流感病毒感染BALB/c和C57BL/6小鼠模型所诱导的致病性和炎症反应差异。

Differences in the pathogenicity and inflammatory responses induced by avian influenza A/H7N9 virus infection in BALB/c and C57BL/6 mouse models.

作者信息

Zhao Guangyu, Liu Chenfeng, Kou Zhihua, Gao Tongtong, Pan Ting, Wu Xiaohong, Yu Hong, Guo Yan, Zeng Yang, Du Lanying, Jiang Shibo, Sun Shihui, Zhou Yusen

机构信息

State Key Laboratory of Pathogen and Biosecurity, Beijing Institute of Microbiology and Epidemiology, Beijing, China.

Lindsley F. Kimball Research Institute, New York Blood Center, New York, United States of America.

出版信息

PLoS One. 2014 Mar 27;9(3):e92987. doi: 10.1371/journal.pone.0092987. eCollection 2014.

Abstract

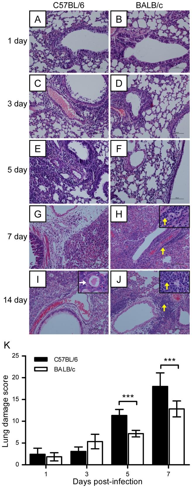
Avian influenza A/H7N9 virus infection causes pneumonia in humans with a high case fatality rate. However, virus-induced modulation of immune responses is being recognized increasingly as a factor in the pathogenesis of this disease. In this study, we compared the pathogenicity of A/H7N9 infection in BALB/c and C57BL/6 mouse models, and investigated the putative involvement of proinflammatory cytokines in lung injury and viral clearance. In both mouse strains, A/Anhui/1/2013(H7N9) infection with 10(6) TCID50 resulted in viral replication in lung, severe body weight loss and acute lung injury. During the early infection stage, infected C57BL/6 mice exhibited more severe lung injury, slower recovery from lung damage, less effective viral clearance, higher levels of interlukine (IL)-6, monocyte chemotactic protein (MCP)-1, and IL-1β, and lower levels of tumor necrosis factor (TNF)-α and interferon (IFN)-γ than infected BALB/c mice. These results suggest that TNF-α and IFN-γ may help suppress viral gene expression and increase viral clearance, and that IL-6 and MCP-1 may contribute to lung injury in A/H7N9-infected individuals. In addition, lung damage and the distribution of virus antigen in tissues were similar in young and middle-aged mice. These results suggest that the more serious lung injury in middle-aged or older H7N9 cases is not mainly caused by differences in viral replication in the lung but probably by a dysregulated immune response induced by underlying comorbidities. These results indicate that the extent of dysregulation of the host immune response after H7N9 virus infection most probably determines the outcome of H7N9 virus infection.

摘要

甲型H7N9禽流感病毒感染可导致人类患肺炎,病死率很高。然而,病毒诱导的免疫反应调节日益被认为是该疾病发病机制中的一个因素。在本研究中,我们比较了A/H7N9感染在BALB/c和C57BL/6小鼠模型中的致病性,并研究了促炎细胞因子在肺损伤和病毒清除中的可能作用。在这两种小鼠品系中,用10(6) TCID50的A/安徽/1/2013(H7N9)感染均导致肺部病毒复制、严重体重减轻和急性肺损伤。在感染早期,与感染的BALB/c小鼠相比,感染的C57BL/6小鼠表现出更严重的肺损伤、肺损伤恢复较慢、病毒清除效果较差、白细胞介素(IL)-6、单核细胞趋化蛋白(MCP)-1和IL-1β水平较高,而肿瘤坏死因子(TNF)-α和干扰素(IFN)-γ水平较低。这些结果表明,TNF-α和IFN-γ可能有助于抑制病毒基因表达并增加病毒清除,而IL-6和MCP-1可能导致A/H7N9感染个体的肺损伤。此外,年轻和中年小鼠的肺损伤及病毒抗原在组织中的分布相似。这些结果表明,中老年H7N9病例中更严重的肺损伤并非主要由肺部病毒复制差异引起,而可能是由潜在合并症诱导的免疫反应失调所致。这些结果表明,H7N9病毒感染后宿主免疫反应失调的程度很可能决定H7N9病毒感染的结果。

https://cdn.ncbi.nlm.nih.gov/pmc/blobs/45c1/3968029/52b86becb751/pone.0092987.g001.jpg

文献AI研究员

20分钟写一篇综述,助力文献阅读效率提升50倍。

立即体验

用中文搜PubMed

大模型驱动的PubMed中文搜索引擎

马上搜索

文档翻译

学术文献翻译模型,支持多种主流文档格式。

立即体验