• 文献检索
  • 文档翻译
  • 深度研究
  • 学术资讯
  • Suppr Zotero 插件Zotero 插件
  • 邀请有礼
  • 套餐&价格
  • 历史记录
应用&插件
Suppr Zotero 插件Zotero 插件浏览器插件Mac 客户端Windows 客户端微信小程序
定价
高级版会员购买积分包购买API积分包
服务
文献检索文档翻译深度研究API 文档MCP 服务
关于我们
关于 Suppr公司介绍联系我们用户协议隐私条款
关注我们

Suppr 超能文献

核心技术专利:CN118964589B侵权必究
粤ICP备2023148730 号-1Suppr @ 2026

文献检索

告别复杂PubMed语法,用中文像聊天一样搜索,搜遍4000万医学文献。AI智能推荐,让科研检索更轻松。

立即免费搜索

文件翻译

保留排版,准确专业,支持PDF/Word/PPT等文件格式,支持 12+语言互译。

免费翻译文档

深度研究

AI帮你快速写综述,25分钟生成高质量综述,智能提取关键信息,辅助科研写作。

立即免费体验

Osteosarcoma of the mandible: A case report with an early radiographic manifestation.

作者信息

Samraj Lavanya, Kaliamoorthy Sriram, Venkatapathy Ramesh, Oza Nirima

机构信息

Department of Oral Pathology and Microbiology, Mahatma Gandhi Post Graduate Institute of Dental Sciences, Pondicherry, India.

Department of Oral and Maxillofacial Pathology, Chettinad Dental College and Research Institute, Tamilnadu, India.

出版信息

Imaging Sci Dent. 2014 Mar;44(1):85-8. doi: 10.5624/isd.2014.44.1.85. Epub 2014 Mar 19.

DOI:10.5624/isd.2014.44.1.85
PMID:24701464
原文链接:https://pmc.ncbi.nlm.nih.gov/articles/PMC3972412/
Abstract

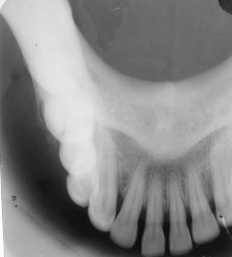
Osteosarcoma is a classical malignant bone-forming neoplasm which usually presents with an aggressive clinical course. The current case is presented with the radiographic feature of widening of the periodontal ligament space of the involved teeth, which is considered to be the earliest radiographic manifestation of osteosarcoma involving the jaw bone. The main aim of this case report was to focus on the importance of early diagnosis of this tumor based on clinical and radiographic examinations, and confirmation by histopathology. Considering the rarity of the disease type and particularly taking into account the fast progression and aggressiveness of this neoplasm, it is clear that the presentation of a clinical case represents a major contribution to better understanding of osteosarcomas involving the jaw bone.

摘要
https://cdn.ncbi.nlm.nih.gov/pmc/blobs/3db7/3972412/016ccfc02414/isd-44-85-g005.jpg
https://cdn.ncbi.nlm.nih.gov/pmc/blobs/3db7/3972412/8cc2b8d02a35/isd-44-85-g001.jpg
https://cdn.ncbi.nlm.nih.gov/pmc/blobs/3db7/3972412/47a020407f8d/isd-44-85-g002.jpg
https://cdn.ncbi.nlm.nih.gov/pmc/blobs/3db7/3972412/7b86b2336be2/isd-44-85-g003.jpg
https://cdn.ncbi.nlm.nih.gov/pmc/blobs/3db7/3972412/d227be75a917/isd-44-85-g004.jpg
https://cdn.ncbi.nlm.nih.gov/pmc/blobs/3db7/3972412/016ccfc02414/isd-44-85-g005.jpg
https://cdn.ncbi.nlm.nih.gov/pmc/blobs/3db7/3972412/8cc2b8d02a35/isd-44-85-g001.jpg
https://cdn.ncbi.nlm.nih.gov/pmc/blobs/3db7/3972412/47a020407f8d/isd-44-85-g002.jpg
https://cdn.ncbi.nlm.nih.gov/pmc/blobs/3db7/3972412/7b86b2336be2/isd-44-85-g003.jpg
https://cdn.ncbi.nlm.nih.gov/pmc/blobs/3db7/3972412/d227be75a917/isd-44-85-g004.jpg
https://cdn.ncbi.nlm.nih.gov/pmc/blobs/3db7/3972412/016ccfc02414/isd-44-85-g005.jpg

相似文献

1
Osteosarcoma of the mandible: A case report with an early radiographic manifestation.
Imaging Sci Dent. 2014 Mar;44(1):85-8. doi: 10.5624/isd.2014.44.1.85. Epub 2014 Mar 19.
2
Osteosarcoma of Mandible - A Case Report.下颌骨肉瘤——病例报告
Indian J Surg Oncol. 2024 Sep;15(3):495-498. doi: 10.1007/s13193-024-01933-x. Epub 2024 Apr 3.
3
Osteosarcoma of the jaws: Report of 3 cases with emphasis on the early clinical and radiographic signs.颌骨骨肉瘤:3 例报告,重点介绍早期临床和影像学表现。
Oral Surg Oral Med Oral Pathol Oral Radiol. 2022 Feb;133(2):e57-e62. doi: 10.1016/j.oooo.2021.09.001. Epub 2021 Sep 11.
4
Imprint cytology of osteosarcoma of the jaw: a case report.颌骨骨肉瘤的印片细胞学:一例报告
J Med Case Rep. 2009 Dec 11;3:9327. doi: 10.1186/1752-1947-3-9327.
5
Low-grade osteosarcoma of the mandible.下颌骨低度恶性骨肉瘤
J Maxillofac Oral Surg. 2010 Jun;9(2):186-90. doi: 10.1007/s12663-010-0057-0. Epub 2010 Sep 28.
6
Chondroblastic osteosarcoma arising in the maxilla mimicking the radiographic and histological characteristics of cemento-osseous lesions: A case report.上颌骨发生的软骨母细胞性骨肉瘤,影像学和组织学特征类似牙骨质骨病变:一例报告
Mol Clin Oncol. 2017 May;6(5):733-736. doi: 10.3892/mco.2017.1219. Epub 2017 Apr 10.
7
Osteosarcoma of Jaw with Varying Histomorphologic Patterns: Case Report.具有不同组织形态学模式的颌骨骨肉瘤:病例报告
J Orthop Case Rep. 2017 Jan-Feb;7(1):61-64. doi: 10.13107/jocr.2250-0685.690.
8
Parosteal osteosarcoma of mandible: A rare case report.下颌骨骨膜下骨肉瘤:1例罕见病例报告。
J Cancer Res Ther. 2018 Jan-Mar;14(2):471-474. doi: 10.4103/0973-1482.176420.
9
Early Diagnosis: A Seeming Misfortune for Osteosarcoma of Mandible-Rare Case Report.早期诊断:下颌骨肉瘤的一个看似不幸的情况——罕见病例报告
Indian J Otolaryngol Head Neck Surg. 2019 Oct;71(Suppl 1):748-751. doi: 10.1007/s12070-018-1534-x. Epub 2018 Nov 20.
10
Giant Osteosarcoma of the Mandible.下颌骨巨大骨肉瘤
J Coll Physicians Surg Pak. 2017 Sep;27(9):S117-S119.

引用本文的文献

1
Exploring Paediatric Jaw Osteosarcoma: A Detailed Case Report of a 12-Year-Old Girl and Review of the Literature.探索儿童颌骨骨肉瘤:一名12岁女孩的详细病例报告及文献综述
Case Rep Dent. 2025 Apr 22;2025:7428891. doi: 10.1155/crid/7428891. eCollection 2025.
2
Low-Grade Chondroid Variant Osteosarcoma: A Rare Case Report and Diagnostic Insights.低级别软骨样变异型骨肉瘤:一例罕见病例报告及诊断见解
J Pharm Bioallied Sci. 2024 Dec;16(Suppl 5):S4925-S4928. doi: 10.4103/jpbs.jpbs_1292_24. Epub 2025 Jan 30.
3
Osteosarcoma of the mandible: A case with a clinical appearance similar to benign lesions.

本文引用的文献

1
Osteosarcoma of the mandible masquerading as a dental abscess: report of a case.伪装成牙脓肿的下颌骨肉瘤:一例报告
Case Rep Dent. 2012;2012:635062. doi: 10.1155/2012/635062. Epub 2012 Nov 29.
2
Advanced osteosarcoma of the maxilla: a case report.上颌骨晚期骨肉瘤:一例报告。
Med Oral Patol Oral Cir Bucal. 2008 Aug 1;13(8):E492-5.
3
Osteosarcoma presenting as an aggressive nodular mass in the region of the mandible.
J Oral Sci. 2004 Mar;46(1):55-9. doi: 10.2334/josnusd.46.55.
下颌骨肉瘤:一例临床表现类似于良性病变的病例。
Clin Case Rep. 2023 Apr 12;11(4):e7198. doi: 10.1002/ccr3.7198. eCollection 2023 Apr.
4
Jaw osteosarcoma and pregnancy: a rare coexistence.颌骨骨肉瘤与妊娠:一种罕见的并存情况。
Autops Case Rep. 2022 Feb 24;12:e2021359. doi: 10.4322/acr.2021.359. eCollection 2022.
5
Foreign body reaction simulating mandibular osteosarcoma-Case report.模拟下颌骨肉瘤的异物反应——病例报告
Int J Surg Case Rep. 2019;60:58-62. doi: 10.1016/j.ijscr.2019.03.058. Epub 2019 Jun 8.
6
Pan-Cytokeratin Positive Fibroblastic Osteosarcoma of Jaw: An Extremely Rare Entity in a Pediatric Patient.颌骨全细胞角蛋白阳性成纤维细胞性骨肉瘤:儿科患者中的一种极其罕见的实体瘤。
Clin Med Insights Pediatr. 2019 Apr 12;13:1179556519842827. doi: 10.1177/1179556519842827. eCollection 2019.
4
Osteosarcoma of the jaws in children.
Int J Paediatr Dent. 2004 Jan;14(1):54-60. doi: 10.1111/j.1365-263x.2004.00519.x.
5
Juxtacortical osteogenic sarcoma of the jaws. Review of the literature and report of a case.颌骨皮质旁骨肉瘤。文献综述及一例报告
Oral Surg Oral Med Oral Pathol. 1980 Dec;50(6):535-44. doi: 10.1016/0030-4220(80)90437-5.