• 文献检索
  • 文档翻译
  • 深度研究
  • 学术资讯
  • Suppr Zotero 插件Zotero 插件
  • 邀请有礼
  • 套餐&价格
  • 历史记录
应用&插件
Suppr Zotero 插件Zotero 插件浏览器插件Mac 客户端Windows 客户端微信小程序
定价
高级版会员购买积分包购买API积分包
服务
文献检索文档翻译深度研究API 文档MCP 服务
关于我们
关于 Suppr公司介绍联系我们用户协议隐私条款
关注我们

Suppr 超能文献

核心技术专利:CN118964589B侵权必究
粤ICP备2023148730 号-1Suppr @ 2026

文献检索

告别复杂PubMed语法,用中文像聊天一样搜索,搜遍4000万医学文献。AI智能推荐,让科研检索更轻松。

立即免费搜索

文件翻译

保留排版,准确专业,支持PDF/Word/PPT等文件格式,支持 12+语言互译。

免费翻译文档

深度研究

AI帮你快速写综述,25分钟生成高质量综述,智能提取关键信息,辅助科研写作。

立即免费体验

血管测量结果与雌激素受体状态相关。

Vascular measurements correlate with estrogen receptor status.

作者信息

Lloyd Mark C, Alfarouk Khalid O, Verduzco Daniel, Bui Marilyn M, Gillies Robert J, Ibrahim Muntaser E, Brown Joel S, Gatenby Robert A

机构信息

H, Lee Moffitt Cancer Center, 12902 Magnolia Drive, Tampa, FL 33612, USA.

出版信息

BMC Cancer. 2014 Apr 23;14:279. doi: 10.1186/1471-2407-14-279.

DOI:10.1186/1471-2407-14-279
PMID:24755315
原文链接:https://pmc.ncbi.nlm.nih.gov/articles/PMC4012762/
Abstract

BACKGROUND

Breast carcinoma can be classified as either Estrogen Receptor (ER) positive or negative by immunohistochemical phenotyping, although ER expression may vary from 1 to 100% of malignant cells within an ER + tumor. This is similar to genetic variability observed in other tumor types and is generally viewed as a consequence of intratumoral evolution driven by random genetic mutations. Here we view cellular evolution within tumors as a classical Darwinian system in which variations in molecular properties represent predictable adaptations to spatially heterogeneous environmental selection forces. We hypothesize that ER expression is a successful adaptive strategy only if estrogen is present in the microenvironment. Since the dominant source of estrogen is blood flow, we hypothesized that, in general, intratumoral regions with higher blood flow would contain larger numbers of ER + cells when compared to areas of low blood flow and in turn necrosis.

METHODS

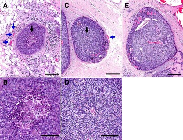
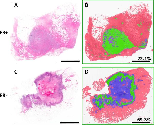
This study used digital pathology whole slide image acquisition and advanced image analysis algorithms. We examined the spatial distribution of ER + and ER- cells, vascular density, vessel area, and tissue necrosis within histological sections of 24 breast cancer specimens. These data were correlated with the patients ER status and molecular pathology report findings.

RESULTS

ANOVA analyses revealed a strong correlation between vascular area and ER expression and between high fractional necrosis and absent ER expression (R(2) = 39%; p < 0.003 and R(2) = 46%; p < 0.001), respectively). ER expression did not correlate with tumor grade or size.

CONCLUSION

We conclude that ER expression can be understood as a Darwinian process and linked to variations in estrogen delivery by temporal and spatial heterogeneity in blood flow. This correlation suggests strategies to promote intratumoral blood flow or a cyclic introduction of estrogen in the treatment schedule could be explored as a counter-intuitive approach to increase the efficacy of anti-estrogen drugs.

摘要

背景

通过免疫组化表型分析,乳腺癌可分为雌激素受体(ER)阳性或阴性,尽管在ER +肿瘤中,ER表达在1%至100%的恶性细胞之间存在差异。这与在其他肿瘤类型中观察到的基因变异性相似,通常被视为由随机基因突变驱动的肿瘤内进化的结果。在这里,我们将肿瘤内的细胞进化视为一个经典的达尔文系统,其中分子特性的变化代表了对空间异质环境选择力的可预测适应。我们假设,只有当微环境中存在雌激素时,ER表达才是一种成功的适应性策略。由于雌激素的主要来源是血流,我们推测,一般来说,与低血流区域及坏死区域相比,血流较高的肿瘤内区域会含有更多的ER +细胞。

方法

本研究使用了数字病理全玻片图像采集和先进的图像分析算法。我们检查了24个乳腺癌标本组织切片中ER +和ER -细胞的空间分布、血管密度、血管面积和组织坏死情况。这些数据与患者的ER状态和分子病理报告结果相关联。

结果

方差分析显示,血管面积与ER表达之间以及高坏死分数与ER表达缺失之间分别存在强相关性(R(2) = 39%;p < 0.003和R(2) = 46%;p < 0.001)。ER表达与肿瘤分级或大小无关。

结论

我们得出结论,ER表达可被理解为一个达尔文过程,并与血流的时空异质性导致的雌激素输送变化有关。这种相关性表明,作为一种增加抗雌激素药物疗效的反直觉方法,可以探索促进肿瘤内血流或在治疗方案中周期性引入雌激素的策略。

https://cdn.ncbi.nlm.nih.gov/pmc/blobs/83d6/4012762/d41298198571/1471-2407-14-279-5.jpg
https://cdn.ncbi.nlm.nih.gov/pmc/blobs/83d6/4012762/ab741db4e98f/1471-2407-14-279-1.jpg
https://cdn.ncbi.nlm.nih.gov/pmc/blobs/83d6/4012762/b82679282b98/1471-2407-14-279-2.jpg
https://cdn.ncbi.nlm.nih.gov/pmc/blobs/83d6/4012762/17f06696c865/1471-2407-14-279-3.jpg
https://cdn.ncbi.nlm.nih.gov/pmc/blobs/83d6/4012762/9580189dd01d/1471-2407-14-279-4.jpg
https://cdn.ncbi.nlm.nih.gov/pmc/blobs/83d6/4012762/d41298198571/1471-2407-14-279-5.jpg
https://cdn.ncbi.nlm.nih.gov/pmc/blobs/83d6/4012762/ab741db4e98f/1471-2407-14-279-1.jpg
https://cdn.ncbi.nlm.nih.gov/pmc/blobs/83d6/4012762/b82679282b98/1471-2407-14-279-2.jpg
https://cdn.ncbi.nlm.nih.gov/pmc/blobs/83d6/4012762/17f06696c865/1471-2407-14-279-3.jpg
https://cdn.ncbi.nlm.nih.gov/pmc/blobs/83d6/4012762/9580189dd01d/1471-2407-14-279-4.jpg
https://cdn.ncbi.nlm.nih.gov/pmc/blobs/83d6/4012762/d41298198571/1471-2407-14-279-5.jpg

相似文献

1
Vascular measurements correlate with estrogen receptor status.血管测量结果与雌激素受体状态相关。
BMC Cancer. 2014 Apr 23;14:279. doi: 10.1186/1471-2407-14-279.
2
CCL2 and CCL5 Are Novel Therapeutic Targets for Estrogen-Dependent Breast Cancer.CCL2 和 CCL5 是雌激素依赖性乳腺癌的新型治疗靶点。
Clin Cancer Res. 2015 Aug 15;21(16):3794-805. doi: 10.1158/1078-0432.CCR-15-0204. Epub 2015 Apr 21.
3
Individual transcriptional activity of estrogen receptors in primary breast cancer and its clinical significance.原发性乳腺癌中雌激素受体的个体转录活性及其临床意义。
Cancer Med. 2012 Dec;1(3):328-37. doi: 10.1002/cam4.41. Epub 2012 Oct 30.
4
RSK4 inhibits breast cancer cell proliferation and invasion in vitro, and is correlated with estrogen receptor upregulation in breast cancer.RSK4 抑制乳腺癌细胞在体外的增殖和侵袭,并且与乳腺癌中雌激素受体的上调相关。
Oncol Rep. 2019 Dec;42(6):2777-2787. doi: 10.3892/or.2019.7328. Epub 2019 Sep 20.
5
Gene expression signature of estrogen receptor alpha status in breast cancer.乳腺癌中雌激素受体α状态的基因表达特征
BMC Genomics. 2005 Mar 11;6:37. doi: 10.1186/1471-2164-6-37.
6
Estrogen receptor α regulates non-canonical autophagy that provides stress resistance to neuroblastoma and breast cancer cells and involves BAG3 function.雌激素受体α调节非经典自噬,这种自噬为神经母细胞瘤和乳腺癌细胞提供应激抗性,并涉及BAG3功能。
Cell Death Dis. 2015 Jul 9;6(7):e1812. doi: 10.1038/cddis.2015.181.
7
Mitochondrial DNA alterations correlate with the pathological status and the immunological ER, PR, HER-2/neu, p53 and Ki-67 expression in breast invasive ductal carcinoma.线粒体DNA改变与乳腺浸润性导管癌的病理状态以及免疫组化雌激素受体(ER)、孕激素受体(PR)、人表皮生长因子受体2(HER-2/neu)、p53和Ki-67表达相关。
Oncol Rep. 2015 Jun;33(6):2924-34. doi: 10.3892/or.2015.3887. Epub 2015 Mar 31.
8
Estrogen up-regulates ATBF1 transcription but causes its protein degradation in estrogen receptor-alpha-positive breast cancer cells.雌激素上调 ATBF1 转录,但在雌激素受体-α阳性乳腺癌细胞中导致其蛋白降解。
J Biol Chem. 2011 Apr 22;286(16):13879-90. doi: 10.1074/jbc.M110.187849. Epub 2011 Mar 2.
9
Darwinian Dynamics of Intratumoral Heterogeneity: Not Solely Random Mutations but Also Variable Environmental Selection Forces.肿瘤内异质性的达尔文动力学:并非仅由随机突变导致,还有可变的环境选择力。
Cancer Res. 2016 Jun 1;76(11):3136-44. doi: 10.1158/0008-5472.CAN-15-2962. Epub 2016 Mar 23.
10
Genome-wide analysis of the three-way interplay among gene expression, estrogen receptor expression and chemotherapeutic sensitivity in breast cancer.全基因组分析乳腺癌中基因表达、雌激素受体表达和化疗敏感性三者之间的相互作用。
Oncol Rep. 2017 Dec;38(6):3392-3402. doi: 10.3892/or.2017.6033. Epub 2017 Oct 12.

引用本文的文献

1
Vessel size as a marker of survival in estrogen receptor positive breast cancer.血管大小可作为预测雌激素受体阳性乳腺癌患者生存的标志物。
Breast Cancer Res Treat. 2023 Jul;200(2):293-304. doi: 10.1007/s10549-023-06974-4. Epub 2023 May 24.
2
The possible role of methylglyoxal metabolism in cancer.甲基乙二醛代谢在癌症中的可能作用。
J Enzyme Inhib Med Chem. 2021 Dec;36(1):2010-2015. doi: 10.1080/14756366.2021.1972994.
3
Tumor Profiling at the Service of Cancer Therapy.肿瘤剖析助力癌症治疗

本文引用的文献

1
Riparian ecosystems in human cancers.人类癌症中的滨水生态系统。
Evol Appl. 2013 Jan;6(1):46-53. doi: 10.1111/eva.12015. Epub 2012 Oct 10.
2
Intratumor heterogeneity: evolution through space and time.肿瘤内异质性:时空演变。
Cancer Res. 2012 Oct 1;72(19):4875-82. doi: 10.1158/0008-5472.CAN-12-2217. Epub 2012 Sep 20.
3
Intratumor heterogeneity and branched evolution revealed by multiregion sequencing.多区域测序揭示的肿瘤内异质性和分支进化。
Front Oncol. 2021 Jan 11;10:595613. doi: 10.3389/fonc.2020.595613. eCollection 2020.
4
Towards an Integral Therapeutic Protocol for Breast Cancer Based upon the New H-Centered Anticancer Paradigm of the Late Post-Warburg Era.基于后沃伯格时代的新以 H 为中心的抗癌范式的乳腺癌整体治疗方案。
Int J Mol Sci. 2020 Oct 10;21(20):7475. doi: 10.3390/ijms21207475.
5
How Should Cancer Models Be Constructed?癌症模型应该如何构建?
Cancer Control. 2020 Jan-Dec;27(1):1073274820962008. doi: 10.1177/1073274820962008.
6
Cancer Community Ecology.癌症群落生态学。
Cancer Control. 2020 Jan-Dec;27(1):1073274820951776. doi: 10.1177/1073274820951776.
7
Intrinsic and Extrinsic Factors Governing the Transcriptional Regulation of ESR1.决定 ESR1 转录调控的内在和外在因素。
Horm Cancer. 2020 Aug;11(3-4):129-147. doi: 10.1007/s12672-020-00388-0. Epub 2020 Jun 26.
8
The Interplay of Dysregulated pH and Electrolyte Imbalance in Cancer.癌症中pH值失调与电解质失衡的相互作用
Cancers (Basel). 2020 Apr 7;12(4):898. doi: 10.3390/cancers12040898.
9
Tumour heterogeneity and the evolutionary trade-offs of cancer.肿瘤异质性与癌症的进化权衡。
Nat Rev Cancer. 2020 Apr;20(4):247-257. doi: 10.1038/s41568-020-0241-6. Epub 2020 Feb 24.
10
A New and Integral Approach to the Etiopathogenesis and Treatment of Breast Cancer Based upon Its Hydrogen Ion Dynamics.基于氢离子动力学的乳腺癌病因发生学和治疗的全新整体方法
Int J Mol Sci. 2020 Feb 7;21(3):1110. doi: 10.3390/ijms21031110.
N Engl J Med. 2012 Mar 8;366(10):883-892. doi: 10.1056/NEJMoa1113205.
4
Increased survival of glioblastoma patients who respond to antiangiogenic therapy with elevated blood perfusion.抗血管生成治疗后血供增加的胶质母细胞瘤患者的生存率提高。
Cancer Res. 2012 Jan 15;72(2):402-7. doi: 10.1158/0008-5472.CAN-11-2464. Epub 2011 Nov 29.
5
The different roles of ER subtypes in cancer biology and therapy.内质网亚型在癌症生物学和治疗中的不同作用。
Nat Rev Cancer. 2011 Jul 22;11(8):597-608. doi: 10.1038/nrc3093.
6
Evolutionary dynamics of intratumor heterogeneity.肿瘤内异质性的进化动态。
PLoS One. 2011 Mar 30;6(3):e17866. doi: 10.1371/journal.pone.0017866.
7
High estrogen receptor expression and low Ki67 expression are associated with improved time to progression during first-line endocrine therapy with aromatase inhibitors in breast cancer.高雌激素受体表达和低 Ki67 表达与乳腺癌一线内分泌治疗中使用芳香化酶抑制剂时的无进展时间改善相关。
Int J Clin Oncol. 2011 Oct;16(5):512-8. doi: 10.1007/s10147-011-0215-5. Epub 2011 Mar 23.
8
American Society of Clinical Oncology/College of American Pathologists guideline recommendations for immunohistochemical testing of estrogen and progesterone receptors in breast cancer (unabridged version).美国临床肿瘤学会/美国病理学家学会关于乳腺癌雌激素和孕激素受体免疫组织化学检测的指南建议(未删节版)。
Arch Pathol Lab Med. 2010 Jul;134(7):e48-72. doi: 10.5858/134.7.e48.
9
Allred scoring for ER reporting and it's impact in clearly distinguishing ER negative from ER positive breast cancers.用于雌激素受体(ER)报告的艾尔雷德评分及其在清晰区分ER阴性和ER阳性乳腺癌方面的影响。
J Pak Med Assoc. 2010 May;60(5):350-3.
10
An immune response gene expression module identifies a good prognosis subtype in estrogen receptor negative breast cancer.一种免疫反应基因表达模块可识别雌激素受体阴性乳腺癌的良好预后亚型。
Genome Biol. 2007;8(8):R157. doi: 10.1186/gb-2007-8-8-r157.