Suppr超能文献

肺叶可弯曲纤维支气管镜肺灌洗:对肺泡蛋白沉积症和甲型H1N1流感肺炎所致严重呼吸衰竭的治疗作用

Lobar flexible fiberoptic lung lavage: therapeutic benefit in severe respiratory failure in pulmonary alveolar proteinosis and influenza A H1N1 pneumonia.

作者信息

Nicolini Antonello, Barlascini Cornelius

机构信息

Division of Respiratory Diseases, Hospital of Sestri Levante;

Forensic Medicine Unit, Chiavari, Italy.

出版信息

Clin Pract. 2011 Jul 1;1(3):e53. doi: 10.4081/cp.2011.e53.

Abstract

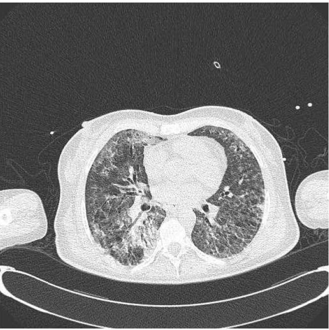
Lobar fiberoptic lung lavage is a well-known procedure used in primary pulmonary alveolar proteinosis (PAP); the use of this procedure has increased in the recent years. This procedure has also been used in other pulmonary diseases such as desquamative interstitial pneumonia with good results. We describe a case of extremely severe respiratory failure due to concurrence of PAP and Influenza A H1N1 virus pneumonia which resolved with the help of this procedure. The patient, a 41-year-old woman, needed less mechanical ventilation after undergoing lobar fiberoptic bronchoscopic lavage. Moreover, a rapid and progressive improvement in the computed tomography of the lungs was observed. Flexibile fiberoptic bronchoscopic lobar lavage is a simple, safe procedure used not only in milder disease, but also in particular severe cases in which the physiological derangement of whole lung lavage would not be tolerated by patient or when extra-corporeal membrane oxygenation is not available.

摘要

肺叶纤维支气管镜灌洗是用于原发性肺泡蛋白沉积症(PAP)的一种众所周知的操作;近年来该操作的使用有所增加。此操作也已用于其他肺部疾病,如脱屑性间质性肺炎,效果良好。我们描述了一例因PAP与甲型H1N1流感病毒肺炎并发导致的极其严重的呼吸衰竭病例,该病例通过此操作得以解决。患者为一名41岁女性,在接受肺叶纤维支气管镜灌洗后所需机械通气减少。此外,肺部计算机断层扫描显示有快速且逐步的改善。可弯曲纤维支气管镜肺叶灌洗是一种简单、安全的操作,不仅用于病情较轻的疾病,也用于病情特别严重的病例,在这些病例中,全肺灌洗的生理紊乱患者无法耐受,或者无法进行体外膜肺氧合。

https://cdn.ncbi.nlm.nih.gov/pmc/blobs/209a/3981374/4d1b6301c00b/cp-2011-3-e53-g001.jpg

文献检索

告别复杂PubMed语法,用中文像聊天一样搜索,搜遍4000万医学文献。AI智能推荐,让科研检索更轻松。

立即免费搜索

文件翻译

保留排版,准确专业,支持PDF/Word/PPT等文件格式,支持 12+语言互译。

免费翻译文档

深度研究

AI帮你快速写综述,25分钟生成高质量综述,智能提取关键信息,辅助科研写作。

立即免费体验