Suppr超能文献

一名获得性免疫缺陷综合征患者并发的未被怀疑的肺泡蛋白沉积症:病例报告

Unsuspected pulmonary alveolar proteinosis in a patient with acquired immunodeficiency syndrome: a case report.

作者信息

Tejwani Dimple, Delacruz Angel E, Niazi Masooma, Diaz-Fuentes Gilda

机构信息

Division of Pulmonary Medicine, Bronx Lebanon Hospital Center, 1650 Grand Concourse, Bronx, NY 10457, USA.

出版信息

J Med Case Rep. 2011 Feb 1;5:46. doi: 10.1186/1752-1947-5-46.

Abstract

INTRODUCTION

Diffuse lung infiltrates are a common finding in patients with acquired immunodeficiency syndrome and causes range from infectious processes to malignancies or interstitial lung diseases. Pulmonary alveolar proteinosis is a rare pulmonary disorder rarely reported in patients infected with human immunodeficiency virus. Secondary pulmonary alveolar proteinosis is associated with conditions involving functional impairment or reduced numbers of alveolar macrophages. It can be caused by hematologic malignancies, inhalation of toxic dust, fumes or gases, infectious or pharmacologic immunosuppression, or lysinuric protein intolerance.

CASE PRESENTATION

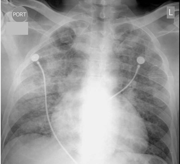
A 42-year-old African American man infected with human immunodeficiency virus was admitted with chronic respiratory symptoms and diffuse pulmonary infiltrates. Chest computed tomography revealed bilateral spontaneous pneumothoraces, for which he required bilateral chest tubes. Initial laboratory investigations did not reveal any contributory conditions. Histological examination of a lung biopsy taken during video-assisted thoracoscopy showed pulmonary alveolar proteinosis concurrent with cytomegalovirus pneumonitis. After ganciclovir treatment, our patient showed radiologic and clinical improvement.

CONCLUSION

The differential diagnosis for patients with immunosuppression and lung infiltrates requires extensive investigations. As pulmonary alveolar proteinosis is rare, the diagnosis can be easily missed. Our case highlights the importance of invasive investigations and histology in the management of patients infected with human immunodeficiency virus and pulmonary disease who do not respond to empiric therapy.

摘要

引言

弥漫性肺部浸润是获得性免疫缺陷综合征患者的常见表现,其病因范围从感染性过程到恶性肿瘤或间质性肺疾病。肺泡蛋白沉积症是一种罕见的肺部疾病,在感染人类免疫缺陷病毒的患者中很少有报道。继发性肺泡蛋白沉积症与涉及肺泡巨噬细胞功能受损或数量减少的情况有关。它可由血液系统恶性肿瘤、吸入有毒粉尘、烟雾或气体、感染性或药物性免疫抑制或赖氨酸尿性蛋白不耐受引起。

病例介绍

一名42岁感染人类免疫缺陷病毒的非裔美国男性因慢性呼吸道症状和弥漫性肺部浸润入院。胸部计算机断层扫描显示双侧自发性气胸,为此他需要双侧胸腔引流管。初步实验室检查未发现任何相关情况。电视辅助胸腔镜检查期间所取肺活检组织的组织学检查显示肺泡蛋白沉积症合并巨细胞病毒性肺炎。更昔洛韦治疗后,我们的患者在影像学和临床方面均有改善。

结论

免疫抑制和肺部浸润患者的鉴别诊断需要进行广泛的检查。由于肺泡蛋白沉积症罕见,诊断很容易被漏诊。我们的病例强调了侵入性检查和组织学在管理对经验性治疗无反应的感染人类免疫缺陷病毒和患有肺部疾病的患者中的重要性。

https://cdn.ncbi.nlm.nih.gov/pmc/blobs/ef92/3038958/2421a655c95e/1752-1947-5-46-1.jpg

文献检索

告别复杂PubMed语法,用中文像聊天一样搜索,搜遍4000万医学文献。AI智能推荐,让科研检索更轻松。

立即免费搜索

文件翻译

保留排版,准确专业,支持PDF/Word/PPT等文件格式,支持 12+语言互译。

免费翻译文档

深度研究

AI帮你快速写综述,25分钟生成高质量综述,智能提取关键信息,辅助科研写作。

立即免费体验