Roohi Fereydoon, Gropen Toby, Kula Roger W
State University of New York. Down State Medical Center. 339 Hicks Street, Brooklyn, NY 11201, USA.
The Chiari Institute, North Shore-Long Island Jewish Heath System. 611 Northern Boulevard, Suite 150, Great Neck, NY 11021, USA.
Surg Neurol Int. 2014 Feb 12;5:17. doi: 10.4103/2152-7806.126931. eCollection 2014.
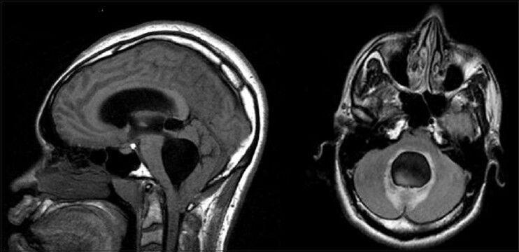
Chiari malformation type 1 (CM1) is a common congenital anomaly of the craniocervical junction. CM1 is reported to run a usually benign course and patients typically experience no symptoms or chronic, slowly progressive symptoms. However, recent reports indicate that a subset of patients with CM1 may present with acute deterioration and sudden unexpected death (SUD). We report a case of SUD during sleep in a young man with CM1, which we believe was related to the administration of common and therapeutic doses of narcotic analgesics for the management of pain. We will clarify the pathophysiology of acute deterioration and SUD in CM1 and the possibility that the adverse effects of opiate analgesics likely were the leading cause of death in our patient.
In this review, we present a 29-year-old male with worsening headache secondary to previously diagnosed CM1. The patient died suddenly and unexpectedly after administration of common and therapeutic doses of narcotic analgesics for the management of pain.
The mechanism(s) of acute neurological deterioration and sudden death in patients with CM1 remains poorly understood. We believe the rapid fatal deterioration in our patient following administration of opioids suggests that this category of medication may cause sudden unexpected "neurogenic" cardiac death in CM1 patients by inducing sleep-related breathing difficulties and associated hypercapnia. Hypercapnia by further increasing intracranial pressure can result in a sudden pressure-induced decompensation of the cardiopulmonary control centers in the brain stem and cause instantaneous cardiorespiratory arrest.
1型Chiari畸形(CM1)是一种常见的颅颈交界先天性异常。据报道,CM1通常病程良性,患者一般无症状或有慢性、缓慢进展的症状。然而,最近的报告表明,一部分CM1患者可能会出现急性病情恶化和意外猝死(SUD)。我们报告了一例患有CM1的年轻男性在睡眠中发生SUD的病例,我们认为这与使用常规治疗剂量的麻醉性镇痛药来控制疼痛有关。我们将阐明CM1急性病情恶化和SUD的病理生理学,以及阿片类镇痛药的不良反应很可能是我们患者死亡主要原因的可能性。
在本病例报告中,我们介绍了一名29岁男性,因先前诊断的CM1导致头痛加重。该患者在使用常规治疗剂量的麻醉性镇痛药控制疼痛后突然意外死亡。
CM1患者急性神经功能恶化和猝死的机制仍知之甚少。我们认为,我们的患者在使用阿片类药物后迅速发生致命性恶化,表明这类药物可能通过诱发与睡眠相关的呼吸困难及相关的高碳酸血症,导致CM1患者意外发生“神经源性”心源性死亡。高碳酸血症通过进一步升高颅内压,可导致脑干心肺控制中心突然因压力而失代偿,引起瞬间心肺骤停。