• 文献检索
  • 文档翻译
  • 深度研究
  • 学术资讯
  • Suppr Zotero 插件Zotero 插件
  • 邀请有礼
  • 套餐&价格
  • 历史记录
应用&插件
Suppr Zotero 插件Zotero 插件浏览器插件Mac 客户端Windows 客户端微信小程序
定价
高级版会员购买积分包购买API积分包
服务
文献检索文档翻译深度研究API 文档MCP 服务
关于我们
关于 Suppr公司介绍联系我们用户协议隐私条款
关注我们

Suppr 超能文献

核心技术专利:CN118964589B侵权必究
粤ICP备2023148730 号-1Suppr @ 2026

文献检索

告别复杂PubMed语法,用中文像聊天一样搜索,搜遍4000万医学文献。AI智能推荐,让科研检索更轻松。

立即免费搜索

文件翻译

保留排版,准确专业,支持PDF/Word/PPT等文件格式,支持 12+语言互译。

免费翻译文档

深度研究

AI帮你快速写综述,25分钟生成高质量综述,智能提取关键信息,辅助科研写作。

立即免费体验

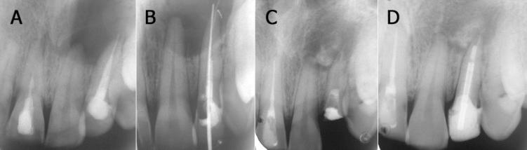
使用抽吸术联合三联抗生素糊剂和氢氧化钙对大型根尖周病变进行非手术治疗。

Nonsurgical management of a large periapical lesion using aspiration in combination with a triple antibiotic paste and calcium hydroxide.

作者信息

Fernandes Marina

机构信息

Goa Dental College and Hospital, India.

出版信息

Iran Endod J. 2010 Fall;5(4):179-82. Epub 2010 Nov 15.

PMID:24790632
原文链接:https://pmc.ncbi.nlm.nih.gov/articles/PMC4004795/
Abstract

Persistent microorganisms in the root canal are known to cause endodontic treatments failure. Overextended gutta-percha can also act as a periradicular tissue irritant, leading to large periapical lesions. Retrieval of overextended gutta-percha with a nonsurgical approach can prove to be a challenge. This case describes the nonsurgical management of a large periapical lesion associated with overextended gutta-percha. Retrieval of gutta-percha was attempted but the overextended portion could not be removed. Aspiration of the purulent exudate was done through the root canal followed by use of a triple antibiotic paste. After 2 weeks the antibiotic paste was replaced with calcium hydroxide, to enhance the osseous regeneration. The periapical lesion showed a considerable amount of periapical healing after 15 months. The results of this case demonstrate that aspiration in conjunction with the triple antibiotic paste and calcium hydroxide may possibly be used in managing large periapical lesions associated with overextend gutta-percha.

摘要

根管内持续存在的微生物会导致牙髓治疗失败。超充的牙胶尖也可作为根尖周组织刺激物,导致较大的根尖周病变。采用非手术方法取出超充的牙胶尖可能具有挑战性。本病例描述了与超充牙胶尖相关的较大根尖周病变的非手术治疗。尝试取出牙胶尖,但超充部分无法去除。通过根管抽吸脓性渗出物,随后使用三联抗生素糊剂。2周后,将抗生素糊剂替换为氢氧化钙,以促进骨再生。15个月后,根尖周病变显示出大量根尖周愈合。本病例结果表明,抽吸联合三联抗生素糊剂和氢氧化钙可能可用于治疗与超充牙胶尖相关的较大根尖周病变。

https://cdn.ncbi.nlm.nih.gov/pmc/blobs/179c/4004795/393ddb2df55c/iej-05-179-g001.jpg
https://cdn.ncbi.nlm.nih.gov/pmc/blobs/179c/4004795/393ddb2df55c/iej-05-179-g001.jpg
https://cdn.ncbi.nlm.nih.gov/pmc/blobs/179c/4004795/393ddb2df55c/iej-05-179-g001.jpg

相似文献

1
Nonsurgical management of a large periapical lesion using aspiration in combination with a triple antibiotic paste and calcium hydroxide.使用抽吸术联合三联抗生素糊剂和氢氧化钙对大型根尖周病变进行非手术治疗。
Iran Endod J. 2010 Fall;5(4):179-82. Epub 2010 Nov 15.
2
A nonsurgical technique for the removal of overextended gutta-percha.一种用于去除超充牙胶的非手术技术。
J Contemp Dent Pract. 2012 Mar 1;13(2):219-21.
3
Management of large periapical cystic lesion by aspiration and nonsurgical endodontic therapy using calcium hydroxide paste.采用氢氧化钙糊剂通过抽吸和非手术根管治疗法处理大型根尖周囊肿性病变。
J Contemp Dent Pract. 2012 Nov 1;13(6):897-901. doi: 10.5005/jp-journals-10024-1249.
4
Healing of a large periapical lesion using triple antibiotic paste and intracanal aspiration in nonsurgical endodontic retreatment.在非手术牙髓再治疗中使用三联抗生素糊剂和根管内抽吸治疗大型根尖周病变
Indian J Dent. 2014 Jul;5(3):161-5. doi: 10.4103/0975-962X.140843.
5
Effect of triple antibiotic paste and calcium hydroxide on the rate of healing of periapical lesions: A systematic review.三联抗生素糊剂和氢氧化钙对根尖周病变愈合率的影响:一项系统评价
J Conserv Dent. 2021 Jul-Aug;24(4):307-313. doi: 10.4103/jcd.jcd_637_20. Epub 2022 Jan 13.
6
Nonsurgical endodontic treatment of teeth associated with large periapical lesion using triple antibiotic paste and mineral trioxide aggregate apical plug: A case series.使用三联抗生素糊剂和矿物三氧化物凝聚体根尖充填物对伴有大根尖周病变的牙齿进行非手术根管治疗:病例系列
J Conserv Dent. 2017 Mar-Apr;20(2):141-145. doi: 10.4103/0972-0707.212232.
7
Management of Cyst-like Periapical Lesions by Orthograde Decompression and Long-term Calcium Hydroxide/Chlorhexidine Intracanal Dressing: A Case Series.经根管减压及长期氢氧化钙/氯己定根管封药治疗根尖囊肿样病变:病例系列
J Endod. 2016 Jul;42(7):1135-41. doi: 10.1016/j.joen.2016.04.021.
8
Nonsurgical endodontic treatment of dens invaginatus in a mandibular premolar with large periradicular lesion: a case report.下颌前磨牙伴有较大根尖周病变的牙内陷的非手术根管治疗:一例报告
J Endod. 2007 Mar;33(3):322-4. doi: 10.1016/j.joen.2006.09.001. Epub 2006 Nov 22.
9
Nonsurgical management of a large periapical lesion associated with an immature tooth displaying external inflammatory resorption.与显示外部炎症性吸收的未成熟牙齿相关的大根尖周病变的非手术治疗
J Conserv Dent. 2015 Jul-Aug;18(4):349-53. doi: 10.4103/0972-0707.159758.
10
Use of triple antibiotic paste in the treatment of large periradicular lesions.三联抗生素糊剂在治疗大型根尖周病变中的应用。
J Investig Clin Dent. 2012 Feb;3(1):72-6. doi: 10.1111/j.2041-1626.2011.00082.x. Epub 2011 Aug 11.

引用本文的文献

1
Non-surgical management of a large periapical lesion with internal resorption using PRF, hydroxyapatite and MTA.使用富血小板纤维蛋白、羟基磷灰石和 MTA 非手术治疗伴有内吸收的大型根尖周病变。
BMJ Case Rep. 2022 Sep 16;15(9):e248907. doi: 10.1136/bcr-2022-248907.
2
Nonsurgical management of a large periapical lesion associated with an immature tooth displaying external inflammatory resorption.与显示外部炎症性吸收的未成熟牙齿相关的大根尖周病变的非手术治疗
J Conserv Dent. 2015 Jul-Aug;18(4):349-53. doi: 10.4103/0972-0707.159758.

本文引用的文献

1
Non-surgical management of a large periapical lesion using a simple aspiration technique: a case report.采用简单抽吸技术非手术治疗大型根尖周病变:病例报告。
Int Endod J. 2010 Jun;43(6):536-42. doi: 10.1111/j.1365-2591.2010.01719.x.
2
Tooth discoloration of immature permanent incisor associated with triple antibiotic therapy: a case report.与三联抗生素治疗相关的未成熟恒切牙牙齿变色:病例报告。
J Endod. 2010 Jun;36(6):1086-91. doi: 10.1016/j.joen.2010.03.031.
3
Healing kinetics of periapical lesions enhanced by the apexum procedure: a clinical trial.
J Endod. 2009 Feb;35(2):153-9. doi: 10.1016/j.joen.2008.11.019. Epub 2008 Dec 12.
4
Detection and eradication of microorganisms in root-filled teeth associated with periradicular lesions: an in vivo study.检测与根除伴有根尖周病变的根管充填牙中的微生物:一项体内研究。
J Endod. 2007 May;33(5):536-40. doi: 10.1016/j.joen.2007.01.012. Epub 2007 Mar 12.
5
Nonsurgical endodontic treatment of dens invaginatus in a mandibular premolar with large periradicular lesion: a case report.下颌前磨牙伴有较大根尖周病变的牙内陷的非手术根管治疗:一例报告
J Endod. 2007 Mar;33(3):322-4. doi: 10.1016/j.joen.2006.09.001. Epub 2006 Nov 22.
6
Endodontic treatment of a large cyst-like periradicular lesion using a combination of antibiotic drugs: a case report.使用抗生素联合治疗大型囊肿样根尖周病变的牙髓治疗:病例报告
J Endod. 2005 Dec;31(12):898-900. doi: 10.1097/01.don.0000164129.74235.8e.
7
Prognosis of large cyst-like periapical lesions following nonsurgical root canal treatment: a clinical review.非手术根管治疗后大型囊肿样根尖周病变的预后:一项临床综述
Int Endod J. 2004 Jun;37(6):408-16. doi: 10.1111/j.1365-2591.2004.00809.x.
8
Endodontic treatment of primary teeth using a combination of antibacterial drugs.使用抗菌药物组合对乳牙进行根管治疗。
Int Endod J. 2004 Feb;37(2):132-8. doi: 10.1111/j.0143-2885.2004.00771.x.
9
Periapical repair and apical closure of a pulpless tooth using calcium hydroxide.使用氢氧化钙对无髓牙进行根尖周修复和根尖闭合。
Oral Surg Oral Med Oral Pathol Oral Radiol Endod. 1997 Dec;84(6):683-7. doi: 10.1016/s1079-2104(97)90373-5.
10
In-vitro antibacterial susceptibility of bacteria taken from infected root dentine to a mixture of ciprofloxacin, metronidazole and minocycline.从感染的牙根牙本质中提取的细菌对环丙沙星、甲硝唑和米诺环素混合物的体外抗菌敏感性。
Int Endod J. 1996 Mar;29(2):125-30. doi: 10.1111/j.1365-2591.1996.tb01173.x.