Institute of Medicine, Chung Shan Medical University, Taichung 40201, Taiwan.
Institute of Biochemistry and Biotechnology, Chung Shan Medical University, Taichung 40201, Taiwan.
Int J Mol Sci. 2014 May 2;15(5):7563-78. doi: 10.3390/ijms15057563.
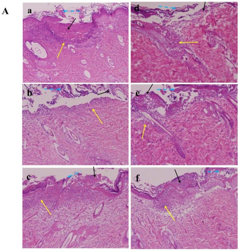
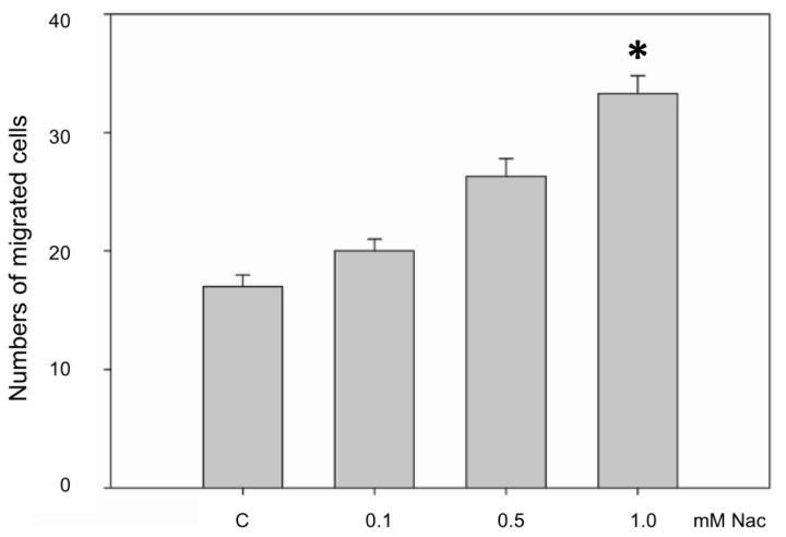
N-Acetylcysteine (Nac) is an antioxidant administered in both oral and injectable forms. In this study, we used Nac topically to treat burn wounds in vitro and in vivo to investigate mechanisms of action. In vitro, we monitored glutathione levels, cell proliferation, migration, scratch-wound healing activities and the epithelialization-related proteins, matrixmetalloproteinase-1 (MMP-1) and proteins involved in regulating the expression of MMP-1 in CCD-966SK cells treated with Nac. Various Nac concentrations (0.1, 0.5, and 1.0 mM) increased glutathione levels, cell viability, scratch-wound healing activities and migration abilities of CCD-966SK cells in a dose-dependent manner. The MMP-1 expression of CCD-966SK cells treated with 1.0 mM Nac for 24 h was significantly increased. Levels of phosphatidylinositol 3-kinase (PI3K), protein kinase C (PKC), janus kinase 1 (Jak1), signal transducer and activator of transcription 3 (Stat3), c-Fos and Jun, but not extracellular signal-regulated protein kinases 1 and 2 (Erk1/2), were also significantly increased in a dose-dependent manner compared to the controls. In addition, Nac induced collagenous expression of MMP-1 via the PKC/Stat3 signaling pathway. In vivo, a burn wound healing rat model was applied to assess the stimulation activity and histopathological effects of Nac, with 3.0% Nac-treated wounds being found to show better characteristics on re-epithelialization. Our results demonstrated that Nac can potentially promote wound healing activity, and may be a promising drug to accelerate burn wound healing.
N-乙酰半胱氨酸(Nac)是一种抗氧化剂,有口服和注射两种剂型。本研究采用 Nac 对烧伤创面进行局部治疗,通过体外和体内实验来探讨其作用机制。体外实验中,我们在 CCD-966SK 细胞中监测了 Nac 处理后细胞内谷胱甘肽水平、细胞增殖、迁移、划痕愈合活性以及上皮化相关蛋白基质金属蛋白酶-1(MMP-1)和调节 MMP-1 表达的蛋白。不同浓度(0.1、0.5 和 1.0mM)的 Nac 可呈剂量依赖性增加细胞内谷胱甘肽水平、细胞活力、划痕愈合活性和迁移能力。用 1.0mM Nac 处理 24 小时后,CCD-966SK 细胞的 MMP-1 表达明显增加。与对照组相比,PI3K、PKC、Jak1、Stat3、c-Fos 和 Jun 的水平也呈剂量依赖性增加,但细胞外信号调节蛋白激酶 1 和 2(Erk1/2)的水平没有明显增加。此外,Nac 通过 PKC/Stat3 信号通路诱导 MMP-1 的胶原表达。在体内,我们应用烧伤创面愈合大鼠模型评估 Nac 的刺激活性和组织病理学效应,发现 3.0%Nac 处理的创面在再上皮化方面表现出更好的特征。我们的研究结果表明,Nac 可能具有促进创面愈合的作用,有望成为一种加速烧伤创面愈合的药物。