Zhang Minghua, Feng Liang, Gu Junfei, Ma Liang, Qin Dong, Wu Chan, Jia Xiaobin
Key Laboratory of New Drug Delivery Systems of Chinese Materia Medica, Jiangsu Provincial Academy of Chinese Medicine, Nanjing, Jiangsu 210028, China ; Department of Pharmacy, Jiangsu University, Zhenjiang, Jiangsu 212013, China.
Key Laboratory of New Drug Delivery Systems of Chinese Materia Medica, Jiangsu Provincial Academy of Chinese Medicine, Nanjing, Jiangsu 210028, China.
Oxid Med Cell Longev. 2014;2014:463815. doi: 10.1155/2014/463815. Epub 2014 Apr 30.
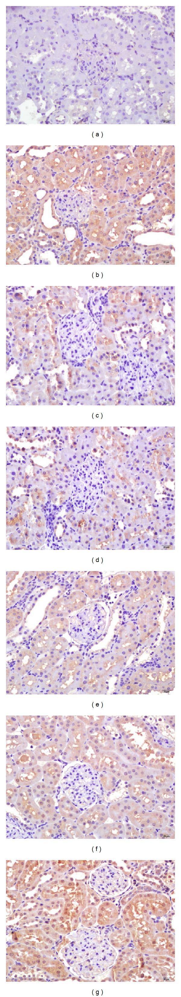
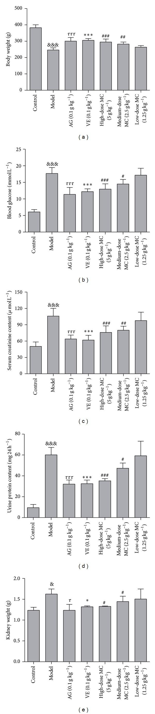
Oxidative stress (OS) has been regarded as one of the major pathogeneses of diabetic nephropathy (DN) through damaging kidney which is associated with renal cells dysfunction. The aim of this study was to investigate whether Moutan Cortex (MC) could protect kidney function against oxidative stress in vitro or in vivo. The compounds in MC extract were analyzed by HPLC-ESI-MS. High-glucose-fat diet and STZ (30 mg kg(-1)) were used to induce DN rats model, while 200 μg mL(-1) AGEs were for HBZY-1 mesangial cell damage. The treatment with MC could significantly increase the activity of SOD, glutathione peroxidase (GSH-PX), and catalase (CAT). However, lipid peroxidation malondialdehyde (MDA) was reduced markedly in vitro or in vivo. Furthermore, MC decreased markedly the levels of blood glucose, serum creatinine, and urine protein in DN rats. Immunohistochemical assay showed that MC downregulated significantly transforming growth factor beta 2 (TGF-β2) protein expression in renal tissue. Our data provided evidence to support this fact that MC attenuated OS in AGEs-induced mesangial cell dysfunction and also in high-glucose-fat diet and STZ-induced DN rats.
氧化应激(OS)被认为是糖尿病肾病(DN)的主要发病机制之一,它通过损害肾脏导致肾细胞功能障碍。本研究旨在探讨牡丹皮(MC)在体外或体内是否能保护肾功能免受氧化应激的影响。采用高效液相色谱-电喷雾电离质谱法(HPLC-ESI-MS)分析MC提取物中的化合物。用高糖高脂饮食和链脲佐菌素(STZ,30mg/kg)诱导DN大鼠模型,用200μg/mL晚期糖基化终末产物(AGEs)损伤HBZY-1系膜细胞。MC处理可显著提高超氧化物歧化酶(SOD)、谷胱甘肽过氧化物酶(GSH-PX)和过氧化氢酶(CAT)的活性。然而,体外或体内脂质过氧化产物丙二醛(MDA)均显著降低。此外,MC可显著降低DN大鼠的血糖、血清肌酐和尿蛋白水平。免疫组织化学分析表明,MC可显著下调肾组织中转化生长因子β2(TGF-β2)蛋白的表达。我们的数据为MC减轻AGEs诱导的系膜细胞功能障碍以及高糖高脂饮食和STZ诱导的DN大鼠的氧化应激这一事实提供了证据支持。