• 文献检索
  • 文档翻译
  • 深度研究
  • 学术资讯
  • Suppr Zotero 插件Zotero 插件
  • 邀请有礼
  • 套餐&价格
  • 历史记录
应用&插件
Suppr Zotero 插件Zotero 插件浏览器插件Mac 客户端Windows 客户端微信小程序
定价
高级版会员购买积分包购买API积分包
服务
文献检索文档翻译深度研究API 文档MCP 服务
关于我们
关于 Suppr公司介绍联系我们用户协议隐私条款
关注我们

Suppr 超能文献

核心技术专利:CN118964589B侵权必究
粤ICP备2023148730 号-1Suppr @ 2026

文献检索

告别复杂PubMed语法,用中文像聊天一样搜索,搜遍4000万医学文献。AI智能推荐,让科研检索更轻松。

立即免费搜索

文件翻译

保留排版,准确专业,支持PDF/Word/PPT等文件格式,支持 12+语言互译。

免费翻译文档

深度研究

AI帮你快速写综述,25分钟生成高质量综述,智能提取关键信息,辅助科研写作。

立即免费体验

来自铜绿假单胞菌的4.5S RNA基因。

The 4.5S RNA gene from Pseudomonas aeruginosa.

作者信息

Toschka H Y, Struck J C, Erdmann V A

机构信息

Freie Universität Berlin, Institute für Biochemie, FRG.

出版信息

Nucleic Acids Res. 1989 Jan 11;17(1):31-6. doi: 10.1093/nar/17.1.31.

DOI:10.1093/nar/17.1.31
PMID:2492094
原文链接:https://pmc.ncbi.nlm.nih.gov/articles/PMC331533/
Abstract

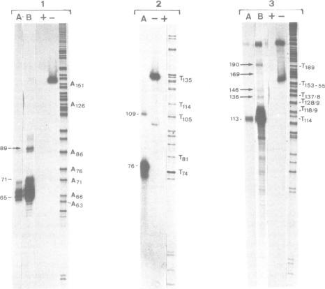
The essential 4.5S RNA of Escherichia coli contains a structural motif, which is also present in RNAs from other organisms, i.e. Bacillus subtilis scRNA, Halobacterium halobium 7S RNA and eukaryotic 7SL RNAs. This suggests a common function in all organisms, which could be related to protein translocation, since 7SL RNA is essential for this process in eukaryotes. We have analysed the structure and expression of the 4.5S RNA gene from another gram-negative eubacterium, Pseudomonas aeruginosa. The single copy gene encodes a 113 nucleotides long RNA, which shares 75% sequence homology to the E. coli 4.5S RNA and also exhibits the completely conserved hairpin structure of the corresponding RNAs of B. subtilis and E. coli. Transcription initiates 24 nucleotides upstream from the mature 5' end and exceeds beyond the 4.5S RNA coding region. A distal open reading frame, similar to that described for E. coli, does not exist downstream from the P. aeruginosa 4.5S RNA gene.

摘要

大肠杆菌的必需4.5S RNA含有一种结构基序,其他生物体的RNA中也存在这种基序,即枯草芽孢杆菌的scRNA、嗜盐菌的7S RNA和真核生物的7SL RNA。这表明在所有生物体中都有一个共同的功能,这可能与蛋白质转运有关,因为7SL RNA在真核生物的这一过程中是必不可少的。我们分析了另一种革兰氏阴性真细菌铜绿假单胞菌的4.5S RNA基因的结构和表达。该单拷贝基因编码一种113个核苷酸长的RNA,它与大肠杆菌的4.5S RNA有75%的序列同源性,并且还具有枯草芽孢杆菌和大肠杆菌相应RNA完全保守的发夹结构。转录从成熟5'端上游24个核苷酸处开始,并延伸超过4.5S RNA编码区。铜绿假单胞菌4.5S RNA基因下游不存在类似于大肠杆菌中描述的远端开放阅读框。

https://cdn.ncbi.nlm.nih.gov/pmc/blobs/a539/331533/3d9e99a20e85/nar00210-0049-a.jpg
https://cdn.ncbi.nlm.nih.gov/pmc/blobs/a539/331533/3d9e99a20e85/nar00210-0049-a.jpg
https://cdn.ncbi.nlm.nih.gov/pmc/blobs/a539/331533/3d9e99a20e85/nar00210-0049-a.jpg

相似文献

1
The 4.5S RNA gene from Pseudomonas aeruginosa.来自铜绿假单胞菌的4.5S RNA基因。
Nucleic Acids Res. 1989 Jan 11;17(1):31-6. doi: 10.1093/nar/17.1.31.
2
Genes for 7S RNAs can replace the gene for 4.5S RNA in growth of Escherichia coli.7S RNA的基因在大肠杆菌生长过程中可取代4.5S RNA的基因。
J Bacteriol. 1991 Mar;173(5):1835-7. doi: 10.1128/jb.173.5.1835-1837.1991.
3
The sequence of the 6S RNA gene of Pseudomonas aeruginosa.铜绿假单胞菌6S RNA基因序列。
Nucleic Acids Res. 1987 Jun 11;15(11):4583-91. doi: 10.1093/nar/15.11.4583.
4
Phylogenetic and biochemical evidence for a secondary structure model of a small cytoplasmic RNA from Bacilli.芽孢杆菌小细胞质RNA二级结构模型的系统发育和生化证据。
Eur J Biochem. 1990 Aug 28;192(1):17-24. doi: 10.1111/j.1432-1033.1990.tb19189.x.
5
Escherichia coli 4.5S RNA gene function can be complemented by heterologous bacterial RNA genes.
J Bacteriol. 1990 Mar;172(3):1284-8. doi: 10.1128/jb.172.3.1284-1288.1990.
6
Genetic selection and DNA sequences of 4.5S RNA homologs.4.5S RNA同源物的基因选择与DNA序列
J Bacteriol. 1989 Dec;171(12):6517-20. doi: 10.1128/jb.171.12.6517-6520.1989.
7
Evolutionary conserved nucleotides within the E.coli 4.5S RNA are required for association with P48 in vitro and for optimal function in vivo.大肠杆菌4.5S RNA内的进化保守核苷酸是其在体外与P48结合以及在体内发挥最佳功能所必需的。
Nucleic Acids Res. 1992 Nov 25;20(22):5919-25. doi: 10.1093/nar/20.22.5919.
8
Transcription and processing of Bacillus subtilis small cytoplasmic RNA.枯草芽孢杆菌小细胞质RNA的转录与加工
Mol Gen Genet. 1989 Feb;215(3):478-82. doi: 10.1007/BF00427046.
9
Small cytoplasmic RNA (scRNA) gene from Clostridium perfringens can replace the gene for the Bacillus subtilis scRNA in both growth and sporulation.产气荚膜梭菌的小细胞质RNA(scRNA)基因在生长和孢子形成过程中均可替代枯草芽孢杆菌scRNA的基因。
Microbiology (Reading). 1995 Nov;141 ( Pt 11):2965-75. doi: 10.1099/13500872-141-11-2965.
10
Sequence of 5S ribosomal RNA gene regions and their products in the archaebacterium Halobacterium volcanii.嗜盐古菌沃氏嗜盐菌中5S核糖体RNA基因区域及其产物的序列
Mol Gen Genet. 1985;198(2):270-4. doi: 10.1007/BF00383005.

引用本文的文献

1
Genome-wide search reveals a novel GacA-regulated small RNA in Pseudomonas species.全基因组搜索揭示了假单胞菌属中一种新的GacA调控小RNA。
BMC Genomics. 2008 Apr 13;9:167. doi: 10.1186/1471-2164-9-167.
2
Prediction of signal recognition particle RNA genes.信号识别颗粒RNA基因的预测
Nucleic Acids Res. 2002 Aug 1;30(15):3368-77. doi: 10.1093/nar/gkf468.
3
Molecular evolution of SRP cycle components: functional implications.信号识别颗粒(SRP)循环组件的分子进化:功能意义

本文引用的文献

1
Conserved features of coordinately regulated E. coli promoters.协同调控的大肠杆菌启动子的保守特征。
Nucleic Acids Res. 1984 Mar 26;12(6):2605-18. doi: 10.1093/nar/12.6.2605.
2
Studies on transformation of Escherichia coli with plasmids.大肠杆菌质粒转化的研究。
J Mol Biol. 1983 Jun 5;166(4):557-80. doi: 10.1016/s0022-2836(83)80284-8.
3
The 4.5 S RNA gene of Escherichia coli is essential for cell growth.
J Mol Biol. 1984 Sep 25;178(3):533-50. doi: 10.1016/0022-2836(84)90237-7.
Nucleic Acids Res. 1994 Jun 11;22(11):1933-47. doi: 10.1093/nar/22.11.1933.
4
Genetic selection and DNA sequences of 4.5S RNA homologs.4.5S RNA同源物的基因选择与DNA序列
J Bacteriol. 1989 Dec;171(12):6517-20. doi: 10.1128/jb.171.12.6517-6520.1989.
5
Localization of alg, opr, phn, pho, 4.5S RNA, 6S RNA, tox, trp, and xcp genes, rrn operons, and the chromosomal origin on the physical genome map of Pseudomonas aeruginosa PAO.铜绿假单胞菌PAO物理基因组图谱上alg、opr、phn、pho、4.5S RNA、6S RNA、tox、trp和xcp基因、rrn操纵子以及染色体起源的定位
J Bacteriol. 1992 Jan;174(1):327-30. doi: 10.1128/jb.174.1.327-330.1992.
6
Interaction of protein SRP19 with signal recognition particle RNA lacking individual RNA-helices.蛋白质SRP19与缺乏单个RNA螺旋的信号识别颗粒RNA的相互作用。
Nucleic Acids Res. 1991 Jun 11;19(11):2955-60. doi: 10.1093/nar/19.11.2955.
7
SRP-RNA sequence alignment and secondary structure.信号识别颗粒RNA序列比对与二级结构
Nucleic Acids Res. 1991 Jan 25;19(2):209-15. doi: 10.1093/nar/19.2.209.
8
Escherichia coli 4.5S RNA gene function can be complemented by heterologous bacterial RNA genes.
J Bacteriol. 1990 Mar;172(3):1284-8. doi: 10.1128/jb.172.3.1284-1288.1990.
4
Cloning and sequence analysis of the Escherichia coli 4.5 S RNA gene.大肠杆菌4.5S RNA基因的克隆与序列分析
J Mol Biol. 1984 Sep 25;178(3):509-31. doi: 10.1016/0022-2836(84)90236-5.
5
Efficient in vitro synthesis of biologically active RNA and RNA hybridization probes from plasmids containing a bacteriophage SP6 promoter.从含有噬菌体SP6启动子的质粒中高效体外合成生物活性RNA和RNA杂交探针。
Nucleic Acids Res. 1984 Sep 25;12(18):7035-56. doi: 10.1093/nar/12.18.7035.
6
Protein translocation across the endoplasmic reticulum.蛋白质在内质网上的转运
Cell. 1984 Aug;38(1):5-8. doi: 10.1016/0092-8674(84)90520-8.
7
Small ribonucleic acids of Escherichia coli. II. Noncoordinate accumulation during stringent control.大肠杆菌的小分子核糖核酸。II. 严紧控制期间的非协同积累
J Biol Chem. 1973 Jul 25;248(14):5033-41.
8
Analysis of E. coli promoter sequences.大肠杆菌启动子序列分析。
Nucleic Acids Res. 1987 Mar 11;15(5):2343-61. doi: 10.1093/nar/15.5.2343.
9
Transcription termination and the regulation of gene expression.转录终止与基因表达调控。
Annu Rev Biochem. 1986;55:339-72. doi: 10.1146/annurev.bi.55.070186.002011.
10
An unusual rRNA operon constellation: in Thermus thermophilus HB8 the 23S/5S rRNA operon is a separate entity from the 16S rRNA operon.一种不同寻常的核糖体RNA操纵子组合:在嗜热栖热菌HB8中,23S/5S核糖体RNA操纵子是一个与16S核糖体RNA操纵子分开的实体。
Biochimie. 1987 Oct;69(10):1097-104. doi: 10.1016/0300-9084(87)90009-5.