Suppr超能文献

偶然发现的阑尾胃癌转移灶完整切除。

Incidental complete excision of appendiceal gastric cancer metastasis.

作者信息

Simpson Gregory S, Mahapatra Sunando R, Evans James

机构信息

Department of General Surgery, Countess of Chester Hospital, Chester, UK

Department of General Surgery, Countess of Chester Hospital, Chester, UK.

出版信息

J Surg Case Rep. 2013 Oct 4;2013(10):rjt080. doi: 10.1093/jscr/rjt080.

Abstract

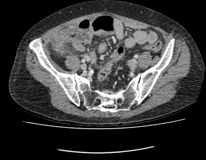
Gastric cancer is a common malignancy with high recurrence rates following surgical resection. A common site of disease recurrence is the peritoneum. We report the case of a 73-year-old female who had previously undergone a total gastrectomy for gastric cancer who presented acutely with features classical of acute appendicitis and underwent open appendectomy. Histological analysis showed metastasis of gastric cancer with clear resection margins. The patient recovered fully and has remained disease-free for 14 months following presentation. Peritoneal metastasis is associated with difficulty in treatment and poor prognosis. The unplanned excision of this patient's peritoneal metastasis has yielded a favourable clinical outcome in a difficult clinical situation.

摘要

胃癌是一种常见的恶性肿瘤,手术切除后复发率很高。疾病复发的常见部位是腹膜。我们报告一例73岁女性病例,该患者此前因胃癌接受了全胃切除术,现因出现典型的急性阑尾炎症状而急症就诊,并接受了开腹阑尾切除术。组织学分析显示胃癌转移,切缘清晰。患者已完全康复,就诊后14个月无疾病复发。腹膜转移与治疗困难和预后不良相关。该患者腹膜转移灶的意外切除在困难的临床情况下取得了良好的临床效果。

https://cdn.ncbi.nlm.nih.gov/pmc/blobs/201d/3854853/c5eae36d28df/rjt08001.jpg

相似文献

1
Incidental complete excision of appendiceal gastric cancer metastasis.
J Surg Case Rep. 2013 Oct 4;2013(10):rjt080. doi: 10.1093/jscr/rjt080.
2
Appendicitis complicated by appendiceal metastasis via peritoneal dissemination from lung cancer.
Respirol Case Rep. 2016 May 5;4(4):e00164. doi: 10.1002/rcr2.164. eCollection 2016 Jul.
3
Acute appendicitis caused by metastatic gastric adenocarcinoma: a case report and literature review.
Ann Palliat Med. 2021 Jun;10(6):7132-7137. doi: 10.21037/apm-21-1098. Epub 2021 Jun 15.
4
Missed Gastric Cancer Metastasis to the Appendix: Case Report and Literature Review.
Am J Case Rep. 2020 Jan 5;21:e920010. doi: 10.12659/AJCR.920010.
7
Acute appendicitis as the first presentation of appendiceal metastasis of gastric cancer-report of a rare case.
J Surg Case Rep. 2018 Aug 7;2018(8):rjy208. doi: 10.1093/jscr/rjy208. eCollection 2018 Aug.
8
Acute appendicitis caused by metastatic adenocarcinoma from the lung: a case report.
Surg Case Rep. 2018 Jun 15;4(1):59. doi: 10.1186/s40792-018-0467-7.

引用本文的文献

1
Peutz-Jeghers Syndrome: A Comprehensive Review of Genetics, Clinical Features, and Management Approaches.
Cureus. 2024 Apr 24;16(4):e58887. doi: 10.7759/cureus.58887. eCollection 2024 Apr.
2
Acute Appendicitis as a First Presentation of Unimetastatic Gastric Adenocarcinoma.
Cureus. 2024 Mar 27;16(3):e57051. doi: 10.7759/cureus.57051. eCollection 2024 Mar.
3
Acute Appendicitis Caused by Metastasis from Other Organs: A Systematic Review.
J Gastrointest Cancer. 2024 Mar;55(1):143-152. doi: 10.1007/s12029-023-00986-5. Epub 2023 Nov 17.
4
Metastatic gastric adenocarcinoma with appendiceal phlegmon: a case report.
J Med Case Rep. 2023 Feb 27;17(1):81. doi: 10.1186/s13256-023-03787-3.
5
Appendiceal metastasis of gastric cancer clinically masquerading acute appendicitis: possible route of metastasis.
J Surg Case Rep. 2022 Jul 8;2022(7):rjac322. doi: 10.1093/jscr/rjac322. eCollection 2022 Jul.
6
An Unusual Case of Acute Appendicitis due to Metastatic Prostatic Adenocarcinoma.
Case Rep Pathol. 2020 Aug 18;2020:9430452. doi: 10.1155/2020/9430452. eCollection 2020.
7
Missed Gastric Cancer Metastasis to the Appendix: Case Report and Literature Review.
Am J Case Rep. 2020 Jan 5;21:e920010. doi: 10.12659/AJCR.920010.
8
Acute appendicitis as the first presentation of appendiceal metastasis of gastric cancer-report of a rare case.
J Surg Case Rep. 2018 Aug 7;2018(8):rjy208. doi: 10.1093/jscr/rjy208. eCollection 2018 Aug.

本文引用的文献

1
Role of staging laparoscopy in gastric malignancies - our institutional experience.
World J Gastrointest Surg. 2012 Sep 27;4(9):214-9. doi: 10.4240/wjgs.v4.i9.214.
2
The role of CT and staging laparoscopy in the staging of gastric cancer.
Clin Radiol. 2013 Mar;68(3):251-5. doi: 10.1016/j.crad.2012.07.015. Epub 2012 Sep 14.
3
Role of staging laparoscopy with peritoneal lavage cytology in the treatment of locally advanced gastric cancer.
Gastric Cancer. 2007;10(1):29-34. doi: 10.1007/s10120-006-0406-3. Epub 2007 Feb 23.
4
Global cancer statistics, 2002.
CA Cancer J Clin. 2005 Mar-Apr;55(2):74-108. doi: 10.3322/canjclin.55.2.74.
5
6
Different patterns of recurrence in gastric cancer depending on Lauren's histological type: longitudinal study.
World J Surg. 2002 Sep;26(9):1160-5. doi: 10.1007/s00268-002-6344-2. Epub 2002 Jun 25.
8
Appraisal of treatment strategy by staging laparoscopy for locally advanced gastric cancer.
World J Surg. 2000 Sep;24(9):1130-5; discussion 1135-6. doi: 10.1007/s002680010183.
9
Postoperative outcome and sites of recurrence in patients following curative resection of gastric cancer.
Br J Surg. 2000 Mar;87(3):353-7. doi: 10.1046/j.1365-2168.2000.01358.x.
10
Recurrence following curative resection for gastric carcinoma.
Br J Surg. 2000 Feb;87(2):236-42. doi: 10.1046/j.1365-2168.2000.01360.x.

文献AI研究员

20分钟写一篇综述,助力文献阅读效率提升50倍。

立即体验

用中文搜PubMed

大模型驱动的PubMed中文搜索引擎

马上搜索

文档翻译

学术文献翻译模型,支持多种主流文档格式。

立即体验