• 文献检索
  • 文档翻译
  • 深度研究
  • 学术资讯
  • Suppr Zotero 插件Zotero 插件
  • 邀请有礼
  • 套餐&价格
  • 历史记录
应用&插件
Suppr Zotero 插件Zotero 插件浏览器插件Mac 客户端Windows 客户端微信小程序
定价
高级版会员购买积分包购买API积分包
服务
文献检索文档翻译深度研究API 文档MCP 服务
关于我们
关于 Suppr公司介绍联系我们用户协议隐私条款
关注我们

Suppr 超能文献

核心技术专利:CN118964589B侵权必究
粤ICP备2023148730 号-1Suppr @ 2026

文献检索

告别复杂PubMed语法,用中文像聊天一样搜索,搜遍4000万医学文献。AI智能推荐,让科研检索更轻松。

立即免费搜索

文件翻译

保留排版,准确专业,支持PDF/Word/PPT等文件格式,支持 12+语言互译。

免费翻译文档

深度研究

AI帮你快速写综述,25分钟生成高质量综述,智能提取关键信息,辅助科研写作。

立即免费体验

黏液乳头型室管膜瘤的脊髓播散性转移:1例病例报告及治疗方案综述

Spinal drop metastasis in myxopapillary ependymoma: a case report and a review of treatment options.

作者信息

Bates James E, Peterson Carl R, Yeaney Gabrielle A, Walter Kevin A, Lundquist Thomas, Rosenzweig Douglas, Milano Michael T

机构信息

School of Medicine and Dentistry, University of Rochester Medical Center , Rochester, NY, USA.

Department of Radiation Oncology, University of Rochester Medical Center , Rochester, NY, USA.

出版信息

Rare Tumors. 2014 Jun 16;6(2):5404. doi: 10.4081/rt.2014.5404. eCollection 2014 May 13.

DOI:10.4081/rt.2014.5404
PMID:25002955
原文链接:https://pmc.ncbi.nlm.nih.gov/articles/PMC4083675/
Abstract

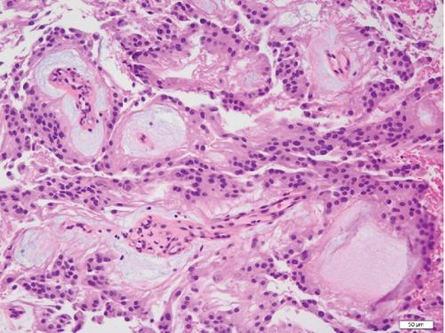
Myxopapillary ependymoma (MPE) is a World Health Organization grade I ependymoma that is quite rare and generally thought to be benign. Possible drop metastasis from MPE has been reported three times in the literature; in each case there were cotemporaneous additional MPE lesions. We report the case of a man who had a piecemeal gross total resection of a MPE at L1-L3 followed by adjuvant external beam radiotherapy (EBRT) who presented sixteen months later with a lesion in the thecal sac consistent with drop metastasis. A subtotal resection and adjuvant EBRT were performed. The patient has been disease-free in follow-up 27 months from the second surgery. A review of the literature regarding the treatment for MPE showed that gross total resection is optimal initial management. Several retrospective studies supported the role of adjuvant radiotherapy in enhancing local control and progression-free survival. Chemotherapy has a minimal role in the management of MPE.

摘要

黏液乳头型室管膜瘤(MPE)是世界卫生组织一级室管膜瘤,非常罕见,一般认为是良性的。文献中已报道过3例MPE可能发生的播散性转移;每例均同时伴有其他MPE病灶。我们报告1例男性患者,其L1 - L3水平的MPE行分块全切除,随后接受辅助外照射放疗(EBRT),16个月后出现与播散性转移相符的硬膜囊内病灶。遂行次全切除及辅助EBRT。自第二次手术起随访27个月,患者无疾病复发。关于MPE治疗的文献综述表明,全切除是最佳的初始治疗方法。多项回顾性研究支持辅助放疗在提高局部控制率和无进展生存率方面的作用。化疗在MPE的治疗中作用极小。

https://cdn.ncbi.nlm.nih.gov/pmc/blobs/59b4/4083675/28b802487567/rt-2014-2-5404-g002.jpg
https://cdn.ncbi.nlm.nih.gov/pmc/blobs/59b4/4083675/9ecf41c7ff1e/rt-2014-2-5404-g001.jpg
https://cdn.ncbi.nlm.nih.gov/pmc/blobs/59b4/4083675/28b802487567/rt-2014-2-5404-g002.jpg
https://cdn.ncbi.nlm.nih.gov/pmc/blobs/59b4/4083675/9ecf41c7ff1e/rt-2014-2-5404-g001.jpg
https://cdn.ncbi.nlm.nih.gov/pmc/blobs/59b4/4083675/28b802487567/rt-2014-2-5404-g002.jpg

相似文献

1
Spinal drop metastasis in myxopapillary ependymoma: a case report and a review of treatment options.黏液乳头型室管膜瘤的脊髓播散性转移:1例病例报告及治疗方案综述
Rare Tumors. 2014 Jun 16;6(2):5404. doi: 10.4081/rt.2014.5404. eCollection 2014 May 13.
2
Spinal myxopapillary ependymoma with interval drop metastasis presenting as cauda equina syndrome: case report and review of literature.脊髓黏液乳头型室管膜瘤伴间歇性播散性转移表现为马尾综合征:病例报告及文献复习
J Spine Surg. 2016 Sep;2(3):216-221. doi: 10.21037/jss.2016.08.06.
3
Long-Term Surgical Resection Outcomes of Pediatric Myxopapillary Ependymoma: Experience of Two Centers and Brief Literature Review.儿童黏液乳头型室管膜瘤的长期手术切除结果:两个中心的经验及文献简要综述
World Neurosurg. 2020 Apr;136:e245-e261. doi: 10.1016/j.wneu.2019.12.128. Epub 2019 Dec 30.
4
Outcomes following myxopapillary ependymoma resection: the importance of capsule integrity.黏液乳头型室管膜瘤切除术后的结果:包膜完整性的重要性。
Neurosurg Focus. 2015 Aug;39(2):E8. doi: 10.3171/2015.5.FOCUS15164.
5
Clinical management and prognosis of spinal myxopapillary ependymoma: a single-institution cohort of 72 patients.脊髓黏液乳头型室管膜瘤的临床治疗与预后:单中心 72 例患者队列研究。
Eur Spine J. 2023 Jul;32(7):2459-2467. doi: 10.1007/s00586-023-07690-9. Epub 2023 Apr 7.
6
Primary multifocal myxopapillary ependymoma of the filum terminale.终丝原发性多灶性黏液乳头型室管膜瘤。
J Neurosurg Sci. 2016 Dec;60(4):424-9. Epub 2015 Jul 8.
7
Primary Seeding of Myxopapillary Ependymoma: Different Disease in Adult Population? Case Report and Review of Literature.黏液乳头型室管膜瘤的原发性播散:成人中的一种不同疾病?病例报告及文献综述
World Neurosurg. 2017 Mar;99:812.e21-812.e26. doi: 10.1016/j.wneu.2016.12.022. Epub 2016 Dec 29.
8
Myxopapillary ependymoma with interval postoperative CSF seeding: A report of an unusual case.伴有术后脑脊液播散的黏液乳头型室管膜瘤:1例罕见病例报告
Radiol Case Rep. 2021 Oct 10;16(12):3838-3843. doi: 10.1016/j.radcr.2021.09.022. eCollection 2021 Dec.
9
Management of pediatric myxopapillary ependymoma: the role of adjuvant radiation.小儿黏液性乳头状室管膜瘤的治疗:辅助放疗的作用。
Int J Radiat Oncol Biol Phys. 2013 Feb 1;85(2):421-7. doi: 10.1016/j.ijrobp.2012.05.001. Epub 2012 Jun 17.
10
A rare case of an intramedullary metastasis of a myxopapillary ependymoma.1例罕见的黏液乳头型室管膜瘤髓内转移病例。
Surg Neurol Int. 2019 May 10;10:83. doi: 10.25259/SNI-96-2019. eCollection 2019.

引用本文的文献

1
Outcomes and Pattern of Care for Spinal Myxopapillary Ependymoma in the Modern Era-A Population-Based Observational Study.现代脊髓黏液乳头型室管膜瘤的治疗结局与模式——一项基于人群的观察性研究
Cancers (Basel). 2024 May 25;16(11):2013. doi: 10.3390/cancers16112013.
2
Sacral ependymoma presents 20 years after initial posterior fossa lesion.骶尾部室管膜瘤在初次后颅窝病变 20 年后出现。
BMJ Case Rep. 2023 Oct 19;16(10):e256611. doi: 10.1136/bcr-2023-256611.
3
Multifocal lumbar myxopapillary ependymoma presenting with drop metastasis: a case report and review of the literature.

本文引用的文献

1
Cumulative survival analysis of patients with spinal myxopapillary ependymomas in the first 2 decades of life.20岁前脊髓黏液乳头型室管膜瘤患者的累积生存分析。
J Neurosurg Pediatr. 2014 Apr;13(4):400-7. doi: 10.3171/2014.1.PEDS13532. Epub 2014 Feb 14.
2
Tumor control after surgery for spinal myxopapillary ependymomas: distinct outcomes in adults versus children: a systematic review.脊髓黏液乳头型室管膜瘤手术后肿瘤控制:成人与儿童的明显不同结局:系统评价。
J Neurosurg Spine. 2013 Oct;19(4):471-6. doi: 10.3171/2013.6.SPINE12927. Epub 2013 Aug 23.
3
Myxopapillary ependymoma in the third ventricle area and sacral canal: dropped or retrograde metastasis?
多灶性腰椎黏液乳头状室管膜瘤伴脱落转移:病例报告及文献复习。
Spinal Cord Ser Cases. 2022 Apr 22;8(1):43. doi: 10.1038/s41394-022-00513-x.
4
Myxopapillary ependymoma with interval postoperative CSF seeding: A report of an unusual case.伴有术后脑脊液播散的黏液乳头型室管膜瘤:1例罕见病例报告
Radiol Case Rep. 2021 Oct 10;16(12):3838-3843. doi: 10.1016/j.radcr.2021.09.022. eCollection 2021 Dec.
5
A rare case of an intramedullary metastasis of a myxopapillary ependymoma.1例罕见的黏液乳头型室管膜瘤髓内转移病例。
Surg Neurol Int. 2019 May 10;10:83. doi: 10.25259/SNI-96-2019. eCollection 2019.
6
Spinal myxopapillary ependymoma with interval drop metastasis presenting as cauda equina syndrome: case report and review of literature.脊髓黏液乳头型室管膜瘤伴间歇性播散性转移表现为马尾综合征:病例报告及文献复习
J Spine Surg. 2016 Sep;2(3):216-221. doi: 10.21037/jss.2016.08.06.
7
Myxopapillary ependymoma: a SEER analysis of epidemiology and outcomes.黏液乳头型室管膜瘤:监测、流行病学与最终结果(SEER)数据库的流行病学及预后分析
J Neurooncol. 2016 Sep;129(2):251-8. doi: 10.1007/s11060-016-2167-0. Epub 2016 Jun 15.
8
Primary cerebellopontine angle ependymoma with spinal metastasis in an adult patient: A case report.成年患者原发性桥小脑角室管膜瘤伴脊髓转移:一例报告
Oncol Lett. 2015 Sep;10(3):1755-1758. doi: 10.3892/ol.2015.3409. Epub 2015 Jun 22.
第三脑室区域和骶管内的黏液乳头型室管膜瘤:是播散性转移还是逆行性转移?
Neurol Med Chir (Tokyo). 2013;53(4):237-41. doi: 10.2176/nmc.53.237.
4
Stabilization of metastatic myxopapillary ependymoma with sorafenib.索拉非尼治疗转移性黏液乳头型室管膜瘤的疗效稳定
Rare Tumors. 2012 Jun 26;4(3):e42. doi: 10.4081/rt.2012.e42. Epub 2012 Sep 6.
5
Analysis of the prognostic significance of selected morphological and immunohistochemical markers in ependymomas, with literature review.分析室管膜瘤中选择的形态学和免疫组织化学标志物的预后意义,并进行文献复习。
Folia Neuropathol. 2011;49(2):94-102.
6
Primary myxopapillary ependymoma of the fourth ventricle with cartilaginous metaplasia: a case report and review of the literature.第四脑室原发性黏液乳头状室管膜瘤伴软骨化生:病例报告及文献复习。
Brain Tumor Pathol. 2012 Jan;29(1):25-30. doi: 10.1007/s10014-011-0059-8. Epub 2011 Aug 12.
7
The role of adjuvant radiation therapy in the treatment of spinal myxopapillary ependymomas.辅助放疗在脊髓黏液乳头型室管膜瘤治疗中的作用。
J Neurosurg Spine. 2011 Jan;14(1):59-64. doi: 10.3171/2010.9.SPINE09920. Epub 2010 Dec 3.
8
Adult ependymal tumors: prognosis and the M. D. Anderson Cancer Center experience.成人室管膜瘤:预后和 M.D.安德森癌症中心的经验。
Neuro Oncol. 2010 Aug;12(8):862-70. doi: 10.1093/neuonc/noq009. Epub 2010 Feb 5.
9
Bevacizumab for recurrent ependymoma.贝伐单抗用于复发性室管膜瘤。
Neurology. 2009 Nov 17;73(20):1677-80. doi: 10.1212/WNL.0b013e3181c1df34.
10
Primary spinal cord glioma: a Surveillance, Epidemiology, and End Results database study.原发性脊髓神经胶质瘤:监测、流行病学和最终结果数据库研究。
J Neurooncol. 2010 May;98(1):83-92. doi: 10.1007/s11060-009-0054-7. Epub 2009 Nov 7.