• 文献检索
  • 文档翻译
  • 深度研究
  • 学术资讯
  • Suppr Zotero 插件Zotero 插件
  • 邀请有礼
  • 套餐&价格
  • 历史记录
应用&插件
Suppr Zotero 插件Zotero 插件浏览器插件Mac 客户端Windows 客户端微信小程序
定价
高级版会员购买积分包购买API积分包
服务
文献检索文档翻译深度研究API 文档MCP 服务
关于我们
关于 Suppr公司介绍联系我们用户协议隐私条款
关注我们

Suppr 超能文献

核心技术专利:CN118964589B侵权必究
粤ICP备2023148730 号-1Suppr @ 2026

文献检索

告别复杂PubMed语法,用中文像聊天一样搜索,搜遍4000万医学文献。AI智能推荐,让科研检索更轻松。

立即免费搜索

文件翻译

保留排版,准确专业,支持PDF/Word/PPT等文件格式,支持 12+语言互译。

免费翻译文档

深度研究

AI帮你快速写综述,25分钟生成高质量综述,智能提取关键信息,辅助科研写作。

立即免费体验

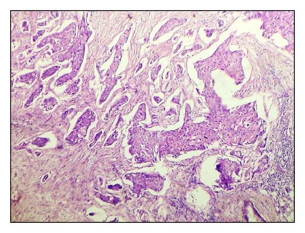
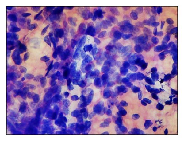
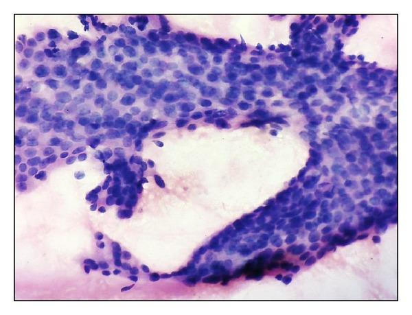
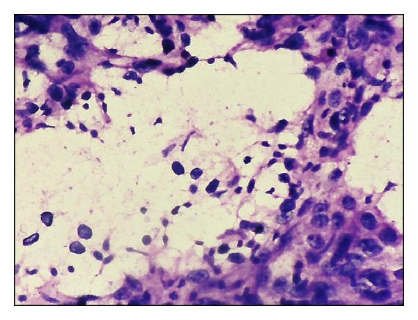
乳腺癌三级细胞学分级系统的比较

Comparison of 3-tier cytological grading systems for breast carcinoma.

作者信息

Einstien Dinisha, Omprakash B O Parijatham, Ganapathy Hemalatha, Rahman Sadaf

机构信息

Department of Pathology, Sree Balaji Medical College and Hospital, No. 7, CLC Works Road, Chrompet, Chennai 44, India.

出版信息

ISRN Oncol. 2014 Mar 12;2014:252103. doi: 10.1155/2014/252103. eCollection 2014.

DOI:10.1155/2014/252103
PMID:25006503
原文链接:https://pmc.ncbi.nlm.nih.gov/articles/PMC3972913/
Abstract

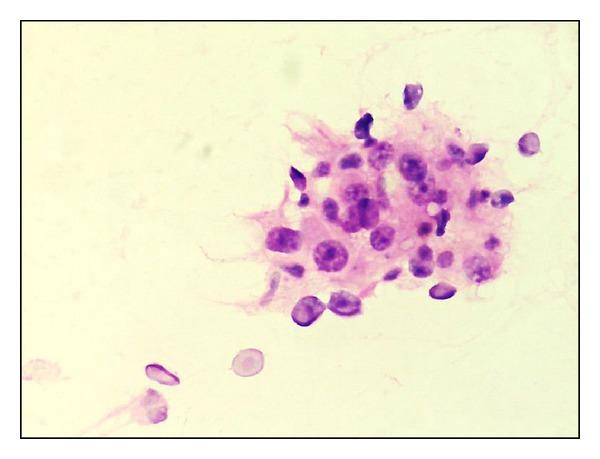
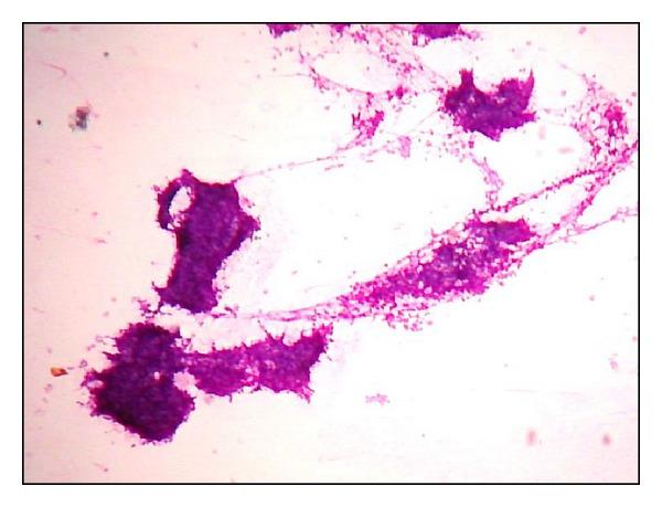
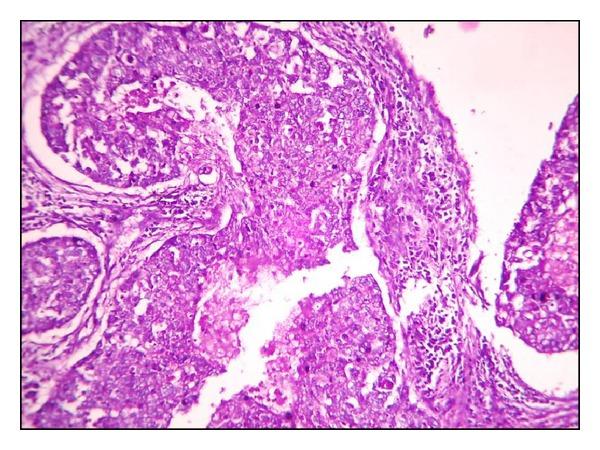
Background. Fine-needle aspiration cytology plays a major role in the primary diagnosis of breast carcinoma. Cytological grading of the smears can provide valuable prognostic information and aid in planning the management options. Aim. To evaluate various 3-tier cytological grading systems and to determine the best possible system which is reliable and objective for use in routine practice. Materials & Methods. 72 fine-needle aspiration smears of breast carcinomas were graded by two pathologists and compared with the histologic grading by Nottingham modification of Scarff-Bloom-Richardson method. Concordance and correlation studies were done. Kappa measurement of interobserver agreement was also done. Results. Robinson's method showed a better correlation (77.7%) and substantial Kappa value of agreement (κ = 0.61) with Bloom Richardson's histological grading method in comparison to the other methods, closely followed by Fisher's method. Fisher's method showed better interobserver agreement (84.7%, κ = 0.616) compared to the other systems. Conclusions. Robinson's method of cytological grading in fine-needle aspiration smears of breast carcinoma is simpler, multifactorial, and feasible, hence being preferable for routine use according to our study.

摘要

背景。细针穿刺细胞学检查在乳腺癌的初步诊断中起着重要作用。涂片的细胞学分级可以提供有价值的预后信息,并有助于制定治疗方案。目的。评估各种三级细胞学分级系统,并确定在常规实践中使用的最可靠、客观的最佳系统。材料与方法。由两位病理学家对72例乳腺癌细针穿刺涂片进行分级,并与采用诺丁汉改良的斯卡夫-布卢姆-理查森方法进行的组织学分级进行比较。进行了一致性和相关性研究。还进行了观察者间一致性的kappa测量。结果。与其他方法相比,罗宾逊方法与布卢姆-理查森组织学分级方法显示出更好的相关性(77.7%)和较高的kappa一致性值(κ = 0.61),其次是费舍尔方法。与其他系统相比,费舍尔方法显示出更好的观察者间一致性(84.7%,κ = 0.616)。结论。根据我们的研究,罗宾逊方法用于乳腺癌细针穿刺涂片的细胞学分级更简单、多因素且可行,因此更适合常规使用。

https://cdn.ncbi.nlm.nih.gov/pmc/blobs/363f/3972913/3749cd307c37/ISRN.ONCOLOGY2014-252103.014.jpg
https://cdn.ncbi.nlm.nih.gov/pmc/blobs/363f/3972913/16df274d094a/ISRN.ONCOLOGY2014-252103.001.jpg
https://cdn.ncbi.nlm.nih.gov/pmc/blobs/363f/3972913/a5a88abe91f3/ISRN.ONCOLOGY2014-252103.002.jpg
https://cdn.ncbi.nlm.nih.gov/pmc/blobs/363f/3972913/25aef6cb4c77/ISRN.ONCOLOGY2014-252103.003.jpg
https://cdn.ncbi.nlm.nih.gov/pmc/blobs/363f/3972913/6151bb82c0a6/ISRN.ONCOLOGY2014-252103.004.jpg
https://cdn.ncbi.nlm.nih.gov/pmc/blobs/363f/3972913/8d85abea9517/ISRN.ONCOLOGY2014-252103.005.jpg
https://cdn.ncbi.nlm.nih.gov/pmc/blobs/363f/3972913/c5a9a03582bc/ISRN.ONCOLOGY2014-252103.006.jpg
https://cdn.ncbi.nlm.nih.gov/pmc/blobs/363f/3972913/ff3d498722c5/ISRN.ONCOLOGY2014-252103.007.jpg
https://cdn.ncbi.nlm.nih.gov/pmc/blobs/363f/3972913/cb34677a31f6/ISRN.ONCOLOGY2014-252103.008.jpg
https://cdn.ncbi.nlm.nih.gov/pmc/blobs/363f/3972913/8f0c8f0513f1/ISRN.ONCOLOGY2014-252103.009.jpg
https://cdn.ncbi.nlm.nih.gov/pmc/blobs/363f/3972913/7309a8e0dd17/ISRN.ONCOLOGY2014-252103.010.jpg
https://cdn.ncbi.nlm.nih.gov/pmc/blobs/363f/3972913/5410c6dd3bbe/ISRN.ONCOLOGY2014-252103.011.jpg
https://cdn.ncbi.nlm.nih.gov/pmc/blobs/363f/3972913/960d35395e86/ISRN.ONCOLOGY2014-252103.012.jpg
https://cdn.ncbi.nlm.nih.gov/pmc/blobs/363f/3972913/d52265d390c1/ISRN.ONCOLOGY2014-252103.013.jpg
https://cdn.ncbi.nlm.nih.gov/pmc/blobs/363f/3972913/3749cd307c37/ISRN.ONCOLOGY2014-252103.014.jpg
https://cdn.ncbi.nlm.nih.gov/pmc/blobs/363f/3972913/16df274d094a/ISRN.ONCOLOGY2014-252103.001.jpg
https://cdn.ncbi.nlm.nih.gov/pmc/blobs/363f/3972913/a5a88abe91f3/ISRN.ONCOLOGY2014-252103.002.jpg
https://cdn.ncbi.nlm.nih.gov/pmc/blobs/363f/3972913/25aef6cb4c77/ISRN.ONCOLOGY2014-252103.003.jpg
https://cdn.ncbi.nlm.nih.gov/pmc/blobs/363f/3972913/6151bb82c0a6/ISRN.ONCOLOGY2014-252103.004.jpg
https://cdn.ncbi.nlm.nih.gov/pmc/blobs/363f/3972913/8d85abea9517/ISRN.ONCOLOGY2014-252103.005.jpg
https://cdn.ncbi.nlm.nih.gov/pmc/blobs/363f/3972913/c5a9a03582bc/ISRN.ONCOLOGY2014-252103.006.jpg
https://cdn.ncbi.nlm.nih.gov/pmc/blobs/363f/3972913/ff3d498722c5/ISRN.ONCOLOGY2014-252103.007.jpg
https://cdn.ncbi.nlm.nih.gov/pmc/blobs/363f/3972913/cb34677a31f6/ISRN.ONCOLOGY2014-252103.008.jpg
https://cdn.ncbi.nlm.nih.gov/pmc/blobs/363f/3972913/8f0c8f0513f1/ISRN.ONCOLOGY2014-252103.009.jpg
https://cdn.ncbi.nlm.nih.gov/pmc/blobs/363f/3972913/7309a8e0dd17/ISRN.ONCOLOGY2014-252103.010.jpg
https://cdn.ncbi.nlm.nih.gov/pmc/blobs/363f/3972913/5410c6dd3bbe/ISRN.ONCOLOGY2014-252103.011.jpg
https://cdn.ncbi.nlm.nih.gov/pmc/blobs/363f/3972913/960d35395e86/ISRN.ONCOLOGY2014-252103.012.jpg
https://cdn.ncbi.nlm.nih.gov/pmc/blobs/363f/3972913/d52265d390c1/ISRN.ONCOLOGY2014-252103.013.jpg
https://cdn.ncbi.nlm.nih.gov/pmc/blobs/363f/3972913/3749cd307c37/ISRN.ONCOLOGY2014-252103.014.jpg

相似文献

1
Comparison of 3-tier cytological grading systems for breast carcinoma.乳腺癌三级细胞学分级系统的比较
ISRN Oncol. 2014 Mar 12;2014:252103. doi: 10.1155/2014/252103. eCollection 2014.
2
Correlative Evaluation of Seven Cytological 3-Tier Grading Systems of Breast Carcinoma with the Standard Histological Grading: A 4 and ½ Year Study.七种乳腺癌细胞学三阶梯分级系统与标准组织学分级的相关性评估:一项 4 年半的研究。
Acta Cytol. 2023;67(5):482-492. doi: 10.1159/000531463. Epub 2023 Jun 16.
3
Comparative evaluation of various cytomorphological grading systems in breast carcinoma.乳腺癌中各种细胞形态学分级系统的比较评估
Indian J Med Paediatr Oncol. 2016 Apr-Jun;37(2):79-84. doi: 10.4103/0971-5851.180141.
4
Comparative evaluation of six cytological grading systems in breast carcinoma.乳腺癌六种细胞学分级系统的比较评估
J Cytol. 2013 Apr;30(2):87-93. doi: 10.4103/0970-9371.112647.
5
Robinson's cytological grading on aspirates of breast carcinoma: Correlation with Bloom Richardson's histological grading.罗宾逊对乳腺癌穿刺物的细胞学分级:与布鲁姆·理查森组织学分级的相关性。
J Cytol. 2009 Oct;26(4):140-3. doi: 10.4103/0970-9371.62182.
6
Correlative Study of Cytological Features in Grading of Invasive Breast Carcinoma.浸润性乳腺癌分级中细胞学特征的相关性研究
J Cytol. 2018 Jul-Sep;35(3):149-152. doi: 10.4103/JOC.JOC_2_18.
7
Correlation of Robinson's Cytological Grading with Elston and Ellis' Nottingham Modification of Bloom Richardson Score of Histopathology for Breast Carcinoma.罗宾逊细胞学分级与埃尔森和埃利斯对乳腺癌组织病理学布鲁姆-理查森评分的诺丁汉改良版之间的相关性。
Maedica (Bucur). 2023 Mar;18(1):55-60. doi: 10.26574/maedica.2023.18.1.55.
8
Cytological Grading of Breast Carcinomas and Its Prognostic Implications.乳腺癌的细胞学分级及其预后意义
Cureus. 2022 Sep 20;14(9):e29385. doi: 10.7759/cureus.29385. eCollection 2022 Sep.
9
A comparative and evaluative study of two cytological grading systems in breast carcinoma with histological grading: an important prognostic factor.一项关于乳腺癌两种细胞学分级系统与组织学分级的比较及评估研究:一个重要的预后因素。
Anal Cell Pathol (Amst). 2014;2014:767215. doi: 10.1155/2014/767215. Epub 2014 Dec 8.
10
Cytological grading of breast carcinoma on fine needle aspirates and its relation with histological grading.乳腺癌细针穿刺抽吸物的细胞学分级及其与组织学分级的关系。
South Asian J Cancer. 2015 Jan-Mar;4(1):32-4. doi: 10.4103/2278-330X.149948.

引用本文的文献

1
International Academy of Cytology standardized reporting of breast fine-needle aspiration cytology with cyto-histopathological correlation of breast carcinoma.国际细胞学会关于乳腺癌细针穿刺细胞学标准化报告及细胞-组织病理学相关性研究
J Pathol Transl Med. 2024 Sep;58(5):241-248. doi: 10.4132/jptm.2024.07.14. Epub 2024 Sep 13.
2
Evaluation of Estrogen and Progesterone Receptors and Her-2 Expression with Grading in the Fine-needle Aspirates of Patients with Breast Carcinoma.乳腺癌患者细针穿刺抽吸物中雌激素和孕激素受体及Her-2表达与分级的评估
J Cytol. 2018 Oct-Dec;35(4):223-228. doi: 10.4103/JOC.JOC_127_17.
3

本文引用的文献

1
Comparative evaluation of six cytological grading systems in breast carcinoma.乳腺癌六种细胞学分级系统的比较评估
J Cytol. 2013 Apr;30(2):87-93. doi: 10.4103/0970-9371.112647.
2
Robinson's cytological grading on aspirates of breast carcinoma: Correlation with Bloom Richardson's histological grading.罗宾逊对乳腺癌穿刺物的细胞学分级:与布鲁姆·理查森组织学分级的相关性。
J Cytol. 2009 Oct;26(4):140-3. doi: 10.4103/0970-9371.62182.
3
Role of cytologic grading in prognostication of invasive breast carcinoma.细胞学分级在浸润性乳腺癌预后评估中的作用。
Diagnostic efficacy of smear cytology and Robinson's cytological grading of canine mammary tumors with respect to histopathology, cytomorphometry, metastases and overall survival.
涂片细胞学检查及罗宾逊犬乳腺肿瘤细胞学分级在组织病理学、细胞形态计量学、转移情况及总生存期方面的诊断效能。
PLoS One. 2018 Jan 23;13(1):e0191595. doi: 10.1371/journal.pone.0191595. eCollection 2018.
4
Comparative evaluation of six parametric Robinson and three parametric Howell's modification of Scarf-BloomRichardson grading method on breast aspirates with histopathology: A prospective study.六种参数化罗宾逊法和三种参数化豪厄尔对斯卡夫-布卢姆-理查森乳腺抽吸物分级方法的修改与组织病理学的比较评估:一项前瞻性研究。
Cytojournal. 2017 Dec 27;14:31. doi: 10.4103/cytojournal.cytojournal_31_17. eCollection 2017.
5
Comparative evaluation of various cytomorphological grading systems in breast carcinoma.乳腺癌中各种细胞形态学分级系统的比较评估
Indian J Med Paediatr Oncol. 2016 Apr-Jun;37(2):79-84. doi: 10.4103/0971-5851.180141.
J Cytol. 2009 Apr;26(2):65-8. doi: 10.4103/0970-9371.55224.
4
Cytohistological correlation of grading in breast carcinoma.乳腺癌分级的细胞组织学相关性
Diagn Cytopathol. 2011 Apr;39(4):251-7. doi: 10.1002/dc.21374.
5
A comparative and evaluative study of cytological and histological grading system profile in malignant neoplasm of breast--an important prognostic factor.乳腺癌恶性肿瘤细胞学和组织学分级系统概况的比较与评估研究——一项重要的预后因素。
Indian J Pathol Microbiol. 2006 Apr;49(2):199-202.
6
Comparative evaluation of grading of breast carcinomas in fine needle aspirates by two methods.两种方法对细针穿刺抽吸所得乳腺癌分级的比较评估
Indian J Med Res. 2003 Dec;118:247-50.
7
Cytopathological grading, as a predictor of histopathological grade, in ductal carcinoma (NOS) of breast, on air-dried Diff-Quik smears.在空气干燥的Diff-Quik涂片上,细胞病理学分级作为乳腺导管癌(非特殊类型)组织病理学分级的预测指标。
Diagn Cytopathol. 2003 Oct;29(4):185-93. doi: 10.1002/dc.10285.
8
Survival in breast cancer cases in relation to the structure of the primary tumor and regional lymph nodes.乳腺癌病例的生存情况与原发肿瘤及区域淋巴结结构的关系。
Surg Gynecol Obstet. 1955 May;100(5):543-51.
9
Cytologic grading of invasive breast carcinoma. Correlation with clinicopathologic variables and predictive value of nodal metastasis.浸润性乳腺癌的细胞学分级。与临床病理变量的相关性及淋巴结转移的预测价值。
Acta Cytol. 2000 Jul-Aug;44(4):587-91. doi: 10.1159/000328533.
10
Spectrum of breast disease in young females: a retrospective study of 1315 patients.年轻女性乳腺疾病谱:对1315例患者的回顾性研究
Indian J Pathol Microbiol. 1998 Oct;41(4):397-401.