Suppr超能文献

庆大霉素联合高果糖喂养对 Sprague-Dawley 大鼠肾衰竭和代谢综合征进展的影响。

Impact of gentamicin coadministration along with high fructose feeding on progression of renal failure and metabolic syndrome in Sprague-Dawley rats.

机构信息

Department of Pharmacology and Toxicology, School of Medicine and Health Science, Universiti Putra Malaysia, 47300 Serdang, Selangor, Malaysia ; Department of Clinical Laboratory Science, Faculty of Pharmacy, Baghdad University, Baghdad, Iraq.

Department of Pharmacology and Toxicology, School of Medicine and Health Science, Universiti Putra Malaysia, 47300 Serdang, Selangor, Malaysia ; Department of Anatomy, School of Medicine and Health Science, Universiti Putra Malaysia, 47300 Serdang, Selangor, Malaysia.

出版信息

Biomed Res Int. 2014;2014:823879. doi: 10.1155/2014/823879. Epub 2014 Jun 23.

Abstract

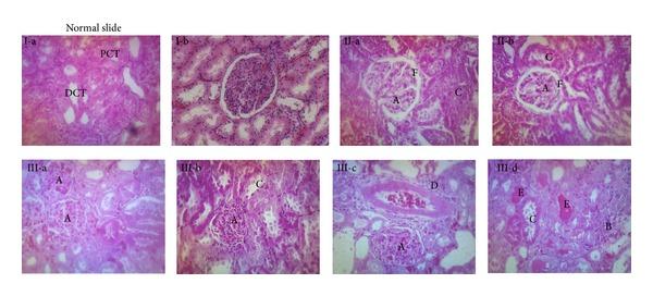
The current study evaluates the impact of high fructose feeding in rat model of gentamicin induced nephrotoxicity. Sprague-Dawley rats weighing 180-200 g were randomized into four groups; (C) received standard rodents chow with free access to ad libitum drinking water for 8 weeks and was considered as control, (F) received standard rodents chow with free access to drinking water supplemented with 20% (W/V) fructose for the same abovementioned period, (FG) was fed as group F and was given 80 mg/kg (body weight)/day gentamicin sulphate intraperitoneally during the last 20 days of the feeding period, and (G) was given gentamicin as above and fed as group C. Renal function was assessed at the end of the treatment period through measuring serum creatinine, uric acid and albumin, creatinine clearance, absolute and fractional excretion of both sodium and potassium, twenty-four-hour urinary excretion of albumin, and renal histology. For metabolic syndrome assessment, fasting plasma glucose and insulin were measured and oral glucose tolerance test was performed throughout the treatment period. Results showed that gentamicin enhances progression of fructose induced metabolic syndrome. On the other hand, fructose pretreatment before gentamicin injection produced a comparable degree of renal dysfunction to those which were given fructose-free water but the picture of nephrotoxicity was somewhat altered as it was characterized by higher extent of glomerular congestion and protein urea. Overall, more vigilance is required when nephrotoxic drugs are prescribed for patients with fructose induced metabolic syndrome.

摘要

本研究评估了高果糖喂养在庆大霉素诱导的肾毒性大鼠模型中的影响。180-200 克的 Sprague-Dawley 大鼠随机分为四组;(C)接受标准啮齿动物饲料,自由饮用饮用水,持续 8 周,被认为是对照组,(F)接受标准啮齿动物饲料,自由饮用饮用水,补充 20%(W/V)果糖,持续上述相同时间,(FG)作为 F 组喂养,并在喂养期的最后 20 天内每天给予 80mg/kg(体重)/天硫酸庆大霉素腹膜内注射,(G)给予庆大霉素,如 C 组。在治疗期末通过测量血清肌酐、尿酸和白蛋白、肌酐清除率、钠和钾的绝对和分数排泄、24 小时尿白蛋白排泄以及肾脏组织学来评估肾功能。为了评估代谢综合征,在整个治疗期间测量空腹血糖和胰岛素,并进行口服葡萄糖耐量试验。结果表明,庆大霉素加重了果糖诱导的代谢综合征的进展。另一方面,庆大霉素注射前的果糖预处理产生了与给予无果糖水相似程度的肾功能障碍,但肾毒性的表现有些改变,因为它的特征是肾小球充血和蛋白尿的程度更高。总的来说,当给患有果糖诱导的代谢综合征的患者开肾毒性药物时,需要更加警惕。

https://cdn.ncbi.nlm.nih.gov/pmc/blobs/9534/4090614/0e55a6b7ced4/BMRI2014-823879.001.jpg

文献AI研究员

20分钟写一篇综述,助力文献阅读效率提升50倍。

立即体验

用中文搜PubMed

大模型驱动的PubMed中文搜索引擎

马上搜索

文档翻译

学术文献翻译模型,支持多种主流文档格式。

立即体验