Di Filippo C, Rossi C, Ferraro B, Maisto R, De Angelis A, Ferraraccio F, Rotondo A, D'Amico M
Department of Experimental Medicine, Section of Pharmacology "L. Donatelli", Second University of Naples, 80138 Naples, Italy.
Radiology, Radiotherapy and Nuclear Medicine Unit, Second University of Naples, 80138 Naples, Italy.
Mediators Inflamm. 2014;2014:972761. doi: 10.1155/2014/972761. Epub 2014 Jul 8.
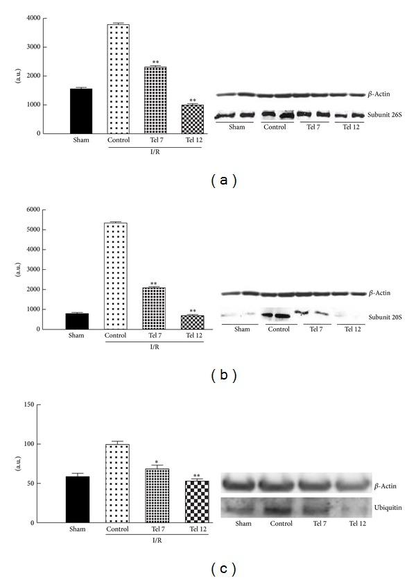
This study investigated the involvement of proteasome and macrophages M2 in the protection afforded by telmisartan against the acute myocardial infarction in Zucker diabetic fatty (ZDF) rats with metabolic syndrome. ZDF rats were treated for three weeks with telmisartan at doses of 7 and 12 mg/kg/day. After treatment, rats were subjected to a 25 min occlusion of the left descending coronary artery followed by 2 h reperfusion (I/R). At the end of the I/R period, biochemical, immunohistochemical, and echocardiographic evaluations were done. Telmisartan treatment (7 mg/kg and 12 mg/kg) reduced the myocardial infarct size, the expression of proteasome subunits 20S and 26S, and the protein ubiquitin within the heart. The compound has led to an increased M2 macrophage phenotype within the cardiac specimens and a modification of the cardiac cytokine and chemokine profile. This was functionally translated in improved cardiac performance as evidenced by echography after 2 h reperfusion. 7 mg/kg/day telmisartan was sufficient to improve the left ventricular ejection fraction LVEF of the rat heart recorded after I/R (e.g., vehicle 38 ± 2.2%; telmisartan 54 ± 2.7%) and was sufficient to improve the diastolic function and the myocardial performance index up to values of 0.6 ± 0.01 measured after I/R.
本研究调查了蛋白酶体和巨噬细胞M2在替米沙坦对患有代谢综合征的Zucker糖尿病脂肪(ZDF)大鼠急性心肌梗死的保护作用中的参与情况。ZDF大鼠以7和12毫克/千克/天的剂量接受替米沙坦治疗三周。治疗后,大鼠接受25分钟的左冠状动脉前降支闭塞,随后进行2小时再灌注(I/R)。在I/R期结束时,进行了生化、免疫组织化学和超声心动图评估。替米沙坦治疗(7毫克/千克和12毫克/千克)减小了心肌梗死面积,降低了心脏内蛋白酶体亚基20S和26S的表达以及蛋白质泛素的水平。该化合物导致心脏标本中M2巨噬细胞表型增加,并改变了心脏细胞因子和趋化因子谱。这在功能上转化为心脏性能的改善,2小时再灌注后的超声检查证明了这一点。7毫克/千克/天的替米沙坦足以改善I/R后记录的大鼠心脏左心室射血分数LVEF(例如,载体组38±2.2%;替米沙坦组54±2.7%),并且足以将舒张功能和心肌性能指数提高到I/R后测量的0.6±0.01的值。