Bouziane Amal, Benrachadi Latifa, Abouqal Redouane, Ennibi Oumkeltoum
Department of Periodontology, Faculty of Dental Medicine, Biostatistical, Clinical, and Epidemiological Research Laboratory, Faculty of Medicine and Pharmacy, Mohammed V Souissi University, Rabat, Morocco.
Department of Periodontology, Faculty of Dental Medicine, Mohammed V Souissi University, Rabat, Morocco.
J Periodontal Implant Sci. 2014 Aug;44(4):201-6. doi: 10.5051/jpis.2014.44.4.201. Epub 2014 Aug 28.
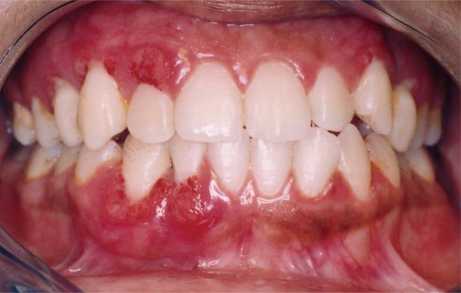
Aggressive periodontitis, especially in its severe form, was traditionally considered to have an unfavourable prognosis. It required a complex treatment and its stabilization was often achieved by surgical therapy. The aim of this study was to investigate the results of nonsurgical periodontal treatment in severe generalized forms of aggressive periodontitis.
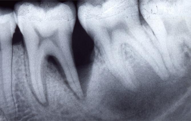
Patients with advanced generalized aggressive periodontitis were included in the study. Probing depth (PD) of pockets ≥7 mm and clinical attachment level (CAL) of sites with attachment loss ≥5 mm were measured at baseline before nonsurgical periodontal treatment, at re-evaluation, and after treatment. The following other parameters were recorded: resolution of inflammation and bone fill. We compared the baseline values with re-evaluation and posttreatment values using the Friedman test. The Wilcoxon test with the Bonferroni correction was used for both re-evaluation and posttreatment values.
Seven patients with 266 periodontal sites were examined. A significant difference was found between values, reported as medians with interquartile ranges, for PD at baseline (7.94 [7.33-8.19] mm) and both re-evaluation (4.33 [3.63-5.08] mm) and posttreatment (3.54 [3.33-4.11] mm) values (P=0.002). A significant difference was also found between values for CAL at baseline (9.02 [7.5-9.2] mm) and both re-evaluation (6.55 [6.30-6.87] mm) and posttreatment (6.45 [5.70-6.61] mm) (P=0.002). Inflammation was resolved and angular bone defects were repaired in all cases.
These therapeutic results suggest that this form of periodontitis could have positive outcomes after nonsurgical periodontal treatment. The reparative potential of tissue affected by severe aggressive periodontitis should encourage clinicians to save apparently hopeless teeth in cases of this form of periodontitis.
侵袭性牙周炎,尤其是重度形式,传统上被认为预后不佳。它需要复杂的治疗,其病情稳定通常通过手术治疗来实现。本研究的目的是调查重度广泛型侵袭性牙周炎非手术牙周治疗的效果。
患有晚期广泛型侵袭性牙周炎的患者被纳入研究。在非手术牙周治疗前的基线、复查时以及治疗后,测量深度≥7mm的牙周袋探诊深度(PD)和附着丧失≥5mm部位的临床附着水平(CAL)。记录以下其他参数:炎症消退情况和骨填充情况。我们使用Friedman检验将基线值与复查值和治疗后值进行比较。复查值和治疗后值均使用经Bonferroni校正的Wilcoxon检验。
检查了7例患者共266个牙周部位。以中位数及四分位间距表示的基线时PD值(7.94 [7.33 - 8.19]mm)与复查时(4.33 [3.63 - 5.08]mm)和治疗后(3.54 [3.33 - 4.11]mm)的值之间存在显著差异(P = 0.002)。基线时CAL值(9.02 [7.5 - 9.2]mm)与复查时(6.55 [6.30 - 6.87]mm)和治疗后(6.45 [5.70 - 6.61]mm)的值之间也存在显著差异(P = 0.002)。所有病例炎症均消退且角形骨缺损得到修复。
这些治疗结果表明这种形式的牙周炎在非手术牙周治疗后可能有积极的预后。重度侵袭性牙周炎所累及组织的修复潜力应促使临床医生在这种形式的牙周炎病例中挽救看似无望保留的牙齿。