Suppr超能文献

外耳道网状血管内皮瘤的罕见表现。

A rare presentation of retiform hemangioendothelioma in the external auditory canal.

作者信息

Jothi Ezhil Arasan, Sundaram Muthuchitra, Namasivayam Jeyalakshmidevi, Jothi Mathivanan

机构信息

Department of Otorhinolaryngology, Government Thiruvarur Medical College Hospital, Thiruvarur, Tamil Nadu 610004, India.

Department of Pathology, Government Thiruvarur Medical College Hospital, Thiruvarur, Tamil Nadu 610004, India ; Department of Pathology, Government Villupuram Medical College, Villupuram, Tamil Nadu 605601, India.

出版信息

Case Rep Otolaryngol. 2014;2014:715035. doi: 10.1155/2014/715035. Epub 2014 Jul 13.

Abstract

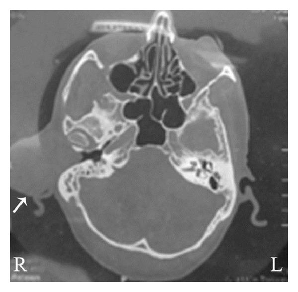
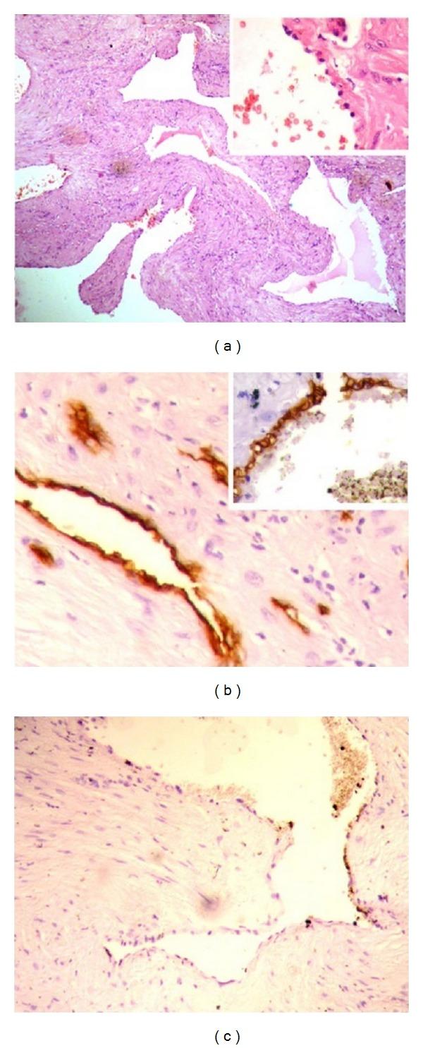
Retiform hemangioendothelioma is a rare intermediate or borderline neoplasm of the blood vessels that mostly occurs in extremities. Here we report a unique case of retiform hemangioendothelioma presented in the external auditory canal. 58-year-old male patient presented with the complaint of right ear swelling for 4 years. On examination, a spherical swelling in the right ear was found occluding the view of external auditory canal. The tumor was removed surgically. Intraoperatively, the mass was found attached to the outer part of the right external auditory canal near the root of helix. Histopathology of the resected tumor showed typical features of retiform hemangioendothelioma. In addition, immunohistochemical analysis revealed that tumor was positive for endothelial cell marker CD34 and occasionally positive for cell proliferative marker Ki-67.

摘要

网状血管内皮瘤是一种罕见的血管中间型或交界性肿瘤,主要发生于四肢。本文报告1例发生于外耳道的罕见网状血管内皮瘤。一名58岁男性患者因右耳肿胀4年就诊。检查发现右耳有一球状肿物,阻塞外耳道视野。手术切除肿瘤。术中发现肿物附着于右外耳道靠近耳轮根部的外侧部分。切除肿瘤的组织病理学检查显示为典型的网状血管内皮瘤特征。此外,免疫组化分析显示肿瘤内皮细胞标志物CD34阳性,细胞增殖标志物Ki-67偶尔阳性。

https://cdn.ncbi.nlm.nih.gov/pmc/blobs/3d0a/4122065/974dabb42619/CRIOT2014-715035.001.jpg

文献AI研究员

20分钟写一篇综述,助力文献阅读效率提升50倍。

立即体验

用中文搜PubMed

大模型驱动的PubMed中文搜索引擎

马上搜索

文档翻译

学术文献翻译模型,支持多种主流文档格式。

立即体验