Suppr超能文献

网状血管内皮细胞瘤的临床、皮肤镜及组织病理学表现。

Clinical, dermoscopic and histopathologic findings of retiform hemangioendothelioma.

机构信息

Skin Cancer Unit, Arcispedale Santa Maria Nuova IRCCS, Reggio Emilia, Italy.

出版信息

Dermatol Pract Concept. 2013 Oct 31;3(4):11-4. doi: 10.5826/dpc.0304a03. eCollection 2013.

Abstract

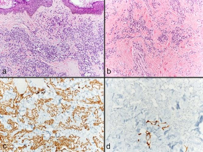
Retiform hemangioendothelioma (RH) is an uncommon vascular neoplasm of borderline malignancy that clinically develops as a solitary, gradually enlarging exophytic mass, nodule or plaque, most often on the lower limbs, upper limbs and trunk. Clinical recognition of RH is troublesome because of its non-specific appearance, with differential diagnosis comprising a variety of benign and malignant tumors clinically presenting as reddish nodules. In this article we describe the clinical, dermoscopic and histopathologic findings in a case of RH developing on the flank of a 26-year-old woman, and discuss the possible role of dermoscopy in facilitating the clinical recognition of this rare tumor.

摘要

网状血管内皮细胞瘤(RH)是一种罕见的交界性血管肿瘤,临床上表现为单发、逐渐增大的外生性肿块、结节或斑块,最常见于下肢、上肢和躯干。由于其非特异性外观,临床诊断 RH 较为困难,鉴别诊断包括各种良性和恶性肿瘤,这些肿瘤临床上表现为红色结节。本文描述了 1 例发生在 26 岁女性侧腰部的 RH 的临床、皮肤镜和组织病理学表现,并讨论了皮肤镜在促进对这种罕见肿瘤的临床识别中的可能作用。

https://cdn.ncbi.nlm.nih.gov/pmc/blobs/8b01/3839825/6ce9824b4cec/dpc0304a03g001.jpg

文献AI研究员

20分钟写一篇综述,助力文献阅读效率提升50倍。

立即体验

用中文搜PubMed

大模型驱动的PubMed中文搜索引擎

马上搜索

文档翻译

学术文献翻译模型,支持多种主流文档格式。

立即体验