Suppr超能文献

恶性上皮性肿瘤中凝固性坏死的机制(综述)

Mechanisms of coagulative necrosis in malignant epithelial tumors (Review).

作者信息

Caruso Rosario A, Branca Giovanni, Fedele Francesco, Irato Eleonora, Finocchiaro Giuseppe, Parisi Antonio, Ieni Antonio

机构信息

Department of Human Pathology, University of Messina, Messina I-98125, Italy.

Department of Surgical Science, University of Messina, Messina I-98125, Italy.

出版信息

Oncol Lett. 2014 Oct;8(4):1397-1402. doi: 10.3892/ol.2014.2345. Epub 2014 Jul 11.

Abstract

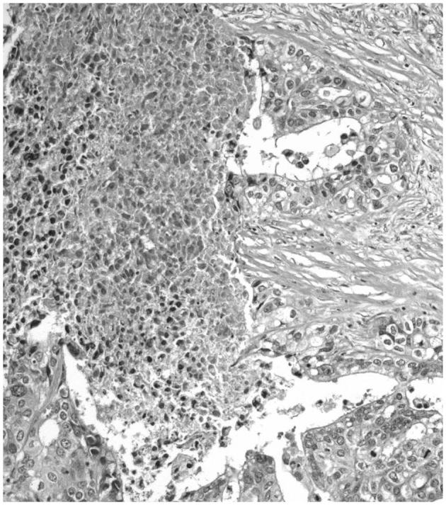
Histological tumor necrosis (TN) has been reported to indicate a poor prognosis for different human cancers. It is generally accepted that TN results from chronic ischemic injury due to rapid tumor growth. However, whether insufficient tumor vascularization and inadequate tumor cell oxygenation are the only factors causing TN remains controversial. Mitotic catastrophe is considered to occur as a result of dysregulated/failed mitosis, leading to cell death. We hypothesize that mitotic catastrophe, induced by hypoxic stress, may lead to the TN which is observed in high grade carcinomas. The current review describes the morphological features of TN in malignant epithelial tumors. In addition, evidence regarding the involvement of mitotic catastrophe in the induction of TN in human carcinomas is discussed.

摘要

据报道,组织学肿瘤坏死(TN)提示不同人类癌症的预后不良。人们普遍认为,TN是由肿瘤快速生长导致的慢性缺血性损伤引起的。然而,肿瘤血管生成不足和肿瘤细胞氧合不足是否是导致TN的唯一因素仍存在争议。有丝分裂灾难被认为是由于有丝分裂失调/失败导致细胞死亡而发生的。我们假设,由缺氧应激诱导的有丝分裂灾难可能导致在高级别癌中观察到的TN。本综述描述了恶性上皮肿瘤中TN的形态学特征。此外,还讨论了有关有丝分裂灾难参与人类癌症中TN诱导的证据。

https://cdn.ncbi.nlm.nih.gov/pmc/blobs/2bf1/4156238/2354021e2d91/OL-08-04-1397-g00.jpg

文献AI研究员

20分钟写一篇综述,助力文献阅读效率提升50倍。

立即体验

用中文搜PubMed

大模型驱动的PubMed中文搜索引擎

马上搜索

文档翻译

学术文献翻译模型,支持多种主流文档格式。

立即体验