Suppr超能文献

芒果苷通过抑制链脲佐菌素诱导的糖尿病大鼠体内氧化应激介导的信号级联反应、肿瘤坏死因子α相关途径和线粒体依赖性凋亡途径来减轻糖尿病肾病。

Mangiferin attenuates diabetic nephropathy by inhibiting oxidative stress mediated signaling cascade, TNFα related and mitochondrial dependent apoptotic pathways in streptozotocin-induced diabetic rats.

作者信息

Pal Pabitra Bikash, Sinha Krishnendu, Sil Parames C

机构信息

Division of Molecular Medicine, Bose Institute, Kolkata, India.

出版信息

PLoS One. 2014 Sep 18;9(9):e107220. doi: 10.1371/journal.pone.0107220. eCollection 2014.

Abstract

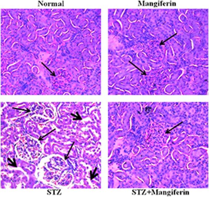
Oxidative stress plays a crucial role in the progression of diabetic nephropathy in hyperglycemic conditions. It has already been reported that mangiferin, a natural C-glucosyl xanthone and polyhydroxy polyphenol compound protects kidneys from diabetic nephropathy. However, little is known about the mechanism of its beneficial action in this pathophysiology. The present study, therefore, examines the detailed mechanism of the beneficial action of mangiferin on STZ-induced diabetic nephropathy in Wister rats as the working model. A significant increase in plasma glucose level, kidney to body weight ratio, glomerular hypertrophy and hydropic changes as well as enhanced nephrotoxicity related markers (BUN, plasma creatinine, uric acid and urinary albumin) were observed in the experimental animals. Furthermore, increased oxidative stress related parameters, increased ROS production and decreased the intracellular antioxidant defenses were detected in the kidney. Studies on the oxidative stress mediated signaling cascades in diabetic nephropathy demonstrated that PKC isoforms (PKCα, PKCβ and PKCε), MAPKs (p38, JNK and ERK1/2), transcription factor (NF-κB) and TGF-β1 pathways were involved in this pathophysiology. Besides, TNFα was released in this hyperglycemic condition, which in turn activated caspase 8, cleaved Bid to tBid and finally the mitochorndia-dependent apoptotic pathway. In addition, oxidative stress also disturbed the proapoptotic-antiapoptotic (Bax and Bcl-2) balance and activated mitochorndia-dependent apoptosis via caspase 9, caspase 3 and PARP cleavage. Mangiferin treatment, post to hyperglycemia, successfully inhibited all of these changes and protected the cells from apoptotic death.

摘要

氧化应激在高血糖条件下糖尿病肾病的进展中起关键作用。已有报道称,芒果苷,一种天然的C-葡萄糖基呫吨酮和多羟基多酚化合物,可保护肾脏免受糖尿病肾病的侵害。然而,关于其在这种病理生理学中有益作用的机制知之甚少。因此,本研究以Wister大鼠为工作模型,研究了芒果苷对链脲佐菌素诱导的糖尿病肾病有益作用的详细机制。实验动物出现血浆葡萄糖水平显著升高、肾重与体重比增加、肾小球肥大和水样变性,以及肾毒性相关标志物(血尿素氮、血浆肌酐、尿酸和尿白蛋白)增强。此外,在肾脏中检测到氧化应激相关参数增加、活性氧生成增加和细胞内抗氧化防御能力下降。对糖尿病肾病中氧化应激介导的信号级联反应的研究表明,蛋白激酶C亚型(PKCα、PKCβ和PKCε)、丝裂原活化蛋白激酶(p38、JNK和ERK1/2)、转录因子(NF-κB)和转化生长因子-β1途径参与了这一病理生理过程。此外,在这种高血糖条件下释放了肿瘤坏死因子α,其反过来激活半胱天冬酶8,将Bid切割成tBid,最终激活线粒体依赖性凋亡途径。此外,氧化应激还扰乱了促凋亡-抗凋亡(Bax和Bcl-2)平衡,并通过半胱天冬酶9、半胱天冬酶3和聚(ADP-核糖)聚合酶切割激活线粒体依赖性凋亡。高血糖后给予芒果苷治疗成功抑制了所有这些变化,并保护细胞免于凋亡死亡。

https://cdn.ncbi.nlm.nih.gov/pmc/blobs/98ba/4169432/0e76ec8c369f/pone.0107220.g001.jpg

文献AI研究员

20分钟写一篇综述,助力文献阅读效率提升50倍。

立即体验

用中文搜PubMed

大模型驱动的PubMed中文搜索引擎

马上搜索

文档翻译

学术文献翻译模型,支持多种主流文档格式。

立即体验