• 文献检索
  • 文档翻译
  • 深度研究
  • 学术资讯
  • Suppr Zotero 插件Zotero 插件
  • 邀请有礼
  • 套餐&价格
  • 历史记录
应用&插件
Suppr Zotero 插件Zotero 插件浏览器插件Mac 客户端Windows 客户端微信小程序
定价
高级版会员购买积分包购买API积分包
服务
文献检索文档翻译深度研究API 文档MCP 服务
关于我们
关于 Suppr公司介绍联系我们用户协议隐私条款
关注我们

Suppr 超能文献

核心技术专利:CN118964589B侵权必究
粤ICP备2023148730 号-1Suppr @ 2026

文献检索

告别复杂PubMed语法,用中文像聊天一样搜索,搜遍4000万医学文献。AI智能推荐,让科研检索更轻松。

立即免费搜索

文件翻译

保留排版,准确专业,支持PDF/Word/PPT等文件格式,支持 12+语言互译。

免费翻译文档

深度研究

AI帮你快速写综述,25分钟生成高质量综述,智能提取关键信息,辅助科研写作。

立即免费体验

酷似囊性病变的透明细胞牙源性癌:一例误诊病例

Clear cell odontogenic carcinoma mimicking a cystic lesion: a case of misdiagnosis.

作者信息

Kim Minkyu, Cho Eunae, Kim Jae-Young, Kim Hyun Sil, Nam Woong

机构信息

Department of Oral and Maxillofacial Surgery, College of Dentistry, Yonsei University, Seoul, Korea.

Department of Oral Pathology, College of Dentistry, Yonsei University, Seoul, Korea.

出版信息

J Korean Assoc Oral Maxillofac Surg. 2014 Aug;40(4):199-203. doi: 10.5125/jkaoms.2014.40.4.199. Epub 2014 Aug 26.

DOI:10.5125/jkaoms.2014.40.4.199
PMID:25247151
原文链接:https://pmc.ncbi.nlm.nih.gov/articles/PMC4170665/
Abstract

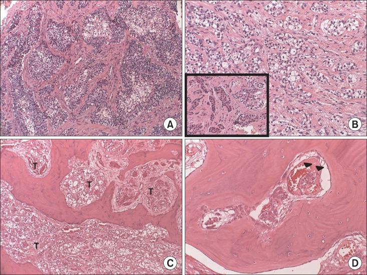
Clear cell odontogenic carcinoma (CCOC) is a rare jaw tumor that was classified as a malignant tumor of odontogenic origin in 2005 by the World Health Organization because of its aggressive and destructive growth capacity and metastasis to the lungs and lymph nodes. We report a case of a 66-year-old female who had swelling, incision and drainage history and a well-defined unicystic radiolucent lesion that was comparable to a cystic lesion. At first, the patient received decompression, and the lesion size decreased. Three months after decompression, cyst enucleation was performed. The pathologic result indicated that the lesion was CCOC. In this report we emphasize that patients with painful cystic lesions in addition to jaw enlargement and loosening teeth should be considered for the possibility of malignancy.

摘要

透明细胞牙源性癌(CCOC)是一种罕见的颌骨肿瘤,由于其具有侵袭性和破坏性生长能力以及可转移至肺和淋巴结,在2005年被世界卫生组织归类为牙源性恶性肿瘤。我们报告一例66岁女性病例,该患者有肿胀、切开引流史,存在一个边界清晰的单房性透射性病变,类似于囊性病变。起初,患者接受了减压治疗,病变大小减小。减压三个月后,进行了囊肿摘除术。病理结果表明该病变为透明细胞牙源性癌。在本报告中,我们强调,除颌骨肿大和牙齿松动外,伴有疼痛性囊性病变的患者应考虑恶性病变的可能性。

https://cdn.ncbi.nlm.nih.gov/pmc/blobs/54d1/4170665/087e2e5dbd41/jkaoms-40-199-g008.jpg
https://cdn.ncbi.nlm.nih.gov/pmc/blobs/54d1/4170665/3f45395dd0ad/jkaoms-40-199-g001.jpg
https://cdn.ncbi.nlm.nih.gov/pmc/blobs/54d1/4170665/d1af4222555e/jkaoms-40-199-g002.jpg
https://cdn.ncbi.nlm.nih.gov/pmc/blobs/54d1/4170665/44900b9e49e1/jkaoms-40-199-g003.jpg
https://cdn.ncbi.nlm.nih.gov/pmc/blobs/54d1/4170665/8828d660a49c/jkaoms-40-199-g004.jpg
https://cdn.ncbi.nlm.nih.gov/pmc/blobs/54d1/4170665/5885b3471600/jkaoms-40-199-g005.jpg
https://cdn.ncbi.nlm.nih.gov/pmc/blobs/54d1/4170665/d918c3fa3ed5/jkaoms-40-199-g006.jpg
https://cdn.ncbi.nlm.nih.gov/pmc/blobs/54d1/4170665/175f9420b557/jkaoms-40-199-g007.jpg
https://cdn.ncbi.nlm.nih.gov/pmc/blobs/54d1/4170665/087e2e5dbd41/jkaoms-40-199-g008.jpg
https://cdn.ncbi.nlm.nih.gov/pmc/blobs/54d1/4170665/3f45395dd0ad/jkaoms-40-199-g001.jpg
https://cdn.ncbi.nlm.nih.gov/pmc/blobs/54d1/4170665/d1af4222555e/jkaoms-40-199-g002.jpg
https://cdn.ncbi.nlm.nih.gov/pmc/blobs/54d1/4170665/44900b9e49e1/jkaoms-40-199-g003.jpg
https://cdn.ncbi.nlm.nih.gov/pmc/blobs/54d1/4170665/8828d660a49c/jkaoms-40-199-g004.jpg
https://cdn.ncbi.nlm.nih.gov/pmc/blobs/54d1/4170665/5885b3471600/jkaoms-40-199-g005.jpg
https://cdn.ncbi.nlm.nih.gov/pmc/blobs/54d1/4170665/d918c3fa3ed5/jkaoms-40-199-g006.jpg
https://cdn.ncbi.nlm.nih.gov/pmc/blobs/54d1/4170665/175f9420b557/jkaoms-40-199-g007.jpg
https://cdn.ncbi.nlm.nih.gov/pmc/blobs/54d1/4170665/087e2e5dbd41/jkaoms-40-199-g008.jpg

相似文献

1
Clear cell odontogenic carcinoma mimicking a cystic lesion: a case of misdiagnosis.酷似囊性病变的透明细胞牙源性癌:一例误诊病例
J Korean Assoc Oral Maxillofac Surg. 2014 Aug;40(4):199-203. doi: 10.5125/jkaoms.2014.40.4.199. Epub 2014 Aug 26.
2
Clear cell odontogenic carcinoma: A rare case report with emphasis on differential diagnosis.透明细胞牙源性癌:1例罕见病例报告并着重于鉴别诊断
J Cancer Res Ther. 2017 Apr-Jun;13(2):374-377. doi: 10.4103/0973-1482.187381.
3
Maxillary unicystic ameloblastoma: a case report.上颌单囊性成釉细胞瘤:一例报告
BMC Res Notes. 2016 Oct 18;9(1):469. doi: 10.1186/s13104-016-2260-7.
4
Mandibular clear cell odontogenic carcinoma.下颌透明细胞牙源性癌
World J Surg Oncol. 2015 Sep 24;13:284. doi: 10.1186/s12957-015-0693-4.
5
Unicystic ameloblastoma metastasizing to multiple cervical lymph nodes.单囊性成釉细胞瘤转移至多个颈部淋巴结。
J Surg Case Rep. 2013 May 9;2013(5):rjt033. doi: 10.1093/jscr/rjt033.
6
Calcifying odontogenic cyst of anterior maxillary: Case report and review.上颌前部钙化性牙源性囊肿:病例报告及文献复习
Int J Surg Case Rep. 2021 Aug;85:106267. doi: 10.1016/j.ijscr.2021.106267. Epub 2021 Aug 6.
7
Clear Cell Odontogenic Carcinoma: A Series of Three Cases.透明细胞牙源性癌:三例报告
Dent J (Basel). 2022 Feb 25;10(3):34. doi: 10.3390/dj10030034.
8
The dilemma of extensive unilocular radiolucent lesions of the jaws - value of immunohistochemistry as a diagnostic marker and prognostic Indicator.颌骨广泛单房透亮病变的困境——免疫组织化学作为诊断标志物和预后指标的价值。
Ann Diagn Pathol. 2019 Jun;40:105-135. doi: 10.1016/j.anndiagpath.2019.04.007. Epub 2019 Apr 24.
9
Clear Cell Odontogenic Carcinoma: First Report of Novel EWSR1-CREM Fusion Gene in Case of Long-Term Misdiagnosis.透明细胞牙源性癌:首例长期误诊病例中新发现的 EWSR1-CREM 融合基因报告。
Head Neck Pathol. 2021 Dec;15(4):1391-1398. doi: 10.1007/s12105-021-01302-y. Epub 2021 Feb 22.
10
Clear cell odontogenic carcinoma. A review.透明细胞牙源性癌。综述。
J Stomatol Oral Maxillofac Surg. 2017 Dec;118(6):363-370. doi: 10.1016/j.jormas.2017.08.005. Epub 2017 Aug 30.

引用本文的文献

1
Diagnostic Dilemma of Clear Cell Odontogenic Carcinoma Mimicking Various Pathological Entities: A Case Report and Literature Review.酷似多种病理实体的透明细胞牙源性癌的诊断困境:一例报告及文献综述
Clin Case Rep. 2025 Aug 1;13(8):e70752. doi: 10.1002/ccr3.70752. eCollection 2025 Aug.
2
Unusual Presentation of Clear Cell Odontogenic Carcinoma: Case Report and Literature Review.透明细胞牙源性癌的罕见表现:病例报告与文献综述
Diagnostics (Basel). 2022 Apr 18;12(4):1019. doi: 10.3390/diagnostics12041019.
3
Clear Cell Odontogenic Carcinoma a Systematic Review.

本文引用的文献

1
Clear cell odontogenic carcinoma of maxilla: A case report and mini review.上颌骨透明细胞牙源性癌:一例报告及简要综述
J Oral Maxillofac Pathol. 2013 Jan;17(1):89-94. doi: 10.4103/0973-029X.110681.
2
Clear cell odontogenic carcinoma: report of 6 cases and review of the literature.透明细胞牙源性癌:6 例报告及文献复习。
Med Oncol. 2011 Dec;28 Suppl 1:S626-33. doi: 10.1007/s12032-010-9668-z. Epub 2010 Sep 9.
3
Clear-cell odontogenic carcinoma: a new case and long-term follow-up of an old case, and review of the literature.
透明细胞牙源性癌的系统评价。
Head Neck Pathol. 2022 Sep;16(3):838-848. doi: 10.1007/s12105-021-01383-9. Epub 2021 Oct 7.
4
Rare clear cell odontogenic carcinoma associated with impacted tooth in a young patient: case report and literature review.年轻患者中罕见的伴有埋伏牙的透明细胞牙源性癌:病例报告及文献复习。
Oral Maxillofac Surg. 2022 Sep;26(3):491-503. doi: 10.1007/s10006-021-01006-1. Epub 2021 Sep 20.
5
A radiolucent lesion of the jaw as a presentation form of a mucoepidermoid carcinoma of the oral cavity.颌骨的透射性病变作为口腔黏液表皮样癌的一种表现形式。
J Korean Assoc Oral Maxillofac Surg. 2021 Jun 30;47(3):229-232. doi: 10.5125/jkaoms.2021.47.3.229.
6
Sequential treatment from mandibulectomy to reconstruction on mandibular oral cancer - Case review II: mandibular anterior and the floor of the mouth lesion of basaloid squamous cell carcinoma and clear cell odontogenic carcinoma.下颌骨口腔癌从下颌骨切除到重建的序贯治疗——病例回顾II:基底样鳞状细胞癌和透明细胞牙源性癌的下颌前部及口底病变
J Korean Assoc Oral Maxillofac Surg. 2021 Jun 30;47(3):216-223. doi: 10.5125/jkaoms.2021.47.3.216.
7
Clear cell odontogenic carcinoma: a rare jaw tumor. A summary of 107 reported cases.透明细胞牙源性癌:一种罕见的颌骨肿瘤。107 例报告病例总结。
Int J Oral Maxillofac Surg. 2019 Nov;48(11):1405-1410. doi: 10.1016/j.ijom.2019.05.006. Epub 2019 Jun 18.
8
Misdiagnosis of ameloblastoma in a patient with clear cell odontogenic carcinoma: a case report.透明细胞牙源性癌患者成釉细胞瘤的误诊:一例报告
J Korean Assoc Oral Maxillofac Surg. 2019 Apr;45(2):116-120. doi: 10.5125/jkaoms.2019.45.2.116. Epub 2019 Apr 29.
9
Mandibular clear cell odontogenic carcinoma.下颌透明细胞牙源性癌
World J Surg Oncol. 2015 Sep 24;13:284. doi: 10.1186/s12957-015-0693-4.
10
Oral Cavity Clear Cell Odontogenic Carcinoma.口腔透明细胞牙源性癌
Head Neck Pathol. 2016 Jun;10(2):217-20. doi: 10.1007/s12105-015-0635-z. Epub 2015 May 21.
透明细胞牙源性癌:1例新病例及1例旧病例的长期随访,并文献复习
J Oral Maxillofac Surg. 2009 Jun;67(6):1342-8. doi: 10.1016/j.joms.2008.06.020.
4
An asymptomatic radiolucent lesion of the maxilla. Clear cell odontogenic carcinoma.上颌骨的无症状透射性病变。透明细胞牙源性癌。
Oral Surg Oral Med Oral Pathol Oral Radiol Endod. 2009 Apr;107(4):452-7. doi: 10.1016/j.tripleo.2008.09.029. Epub 2008 Dec 13.
5
Clear cell odontogenic carcinoma: a diagnostic and therapeutic dilemma.透明细胞牙源性癌:诊断与治疗的困境
World J Surg Oncol. 2006 Dec 12;4:91. doi: 10.1186/1477-7819-4-91.
6
Clear cell odontogenic carcinoma: a comprehensive analysis of treatment strategies.透明细胞牙源性癌:治疗策略的综合分析
Head Neck. 2005 Jun;27(6):536-42. doi: 10.1002/hed.20181.
7
Metastasising clear cell odontogenic carcinoma: a case report and review of the literature.转移性透明细胞牙源性癌:一例报告并文献复习
Oral Oncol. 2003 Feb;39(2):190-4. doi: 10.1016/s1368-8375(02)00012-x.
8
Clear-cell odontogenic carcinoma with pulmonary metastases resembling pulmonary meningothelial-like nodules.
Virchows Arch. 2001 Apr;438(4):412-7. doi: 10.1007/s004280000365.
9
Clear cell odontogenic carcinoma. Report of a case with lymph node and pulmonary metastases.
Eur J Cancer B Oral Oncol. 1994 Jul;30B(4):278-80. doi: 10.1016/0964-1955(94)90010-8.
10
Clear cell odontogenic tumor--a new histologic variant with aggressive potential.透明细胞牙源性肿瘤——一种具有侵袭潜能的新组织学变异型。
Head Neck Surg. 1985 Nov-Dec;8(2):115-23. doi: 10.1002/hed.2890080208.