Suppr超能文献

多排螺旋计算机断层扫描:成人钝性胸部创伤的评估

Multidetector computer tomography: evaluation of blunt chest trauma in adults.

作者信息

Palas João, Matos António P, Mascarenhas Vasco, Herédia Vasco, Ramalho Miguel

机构信息

Department of Radiology, Hospital Garcia de Orta, Avenida Torrado da Silva, Almada, 2801-951 Setúbal, Portugal.

Department of Radiology, Hospital da Luz, Avenida Lusíada 100, 1500-650 Lisbon, Portugal.

出版信息

Radiol Res Pract. 2014;2014:864369. doi: 10.1155/2014/864369. Epub 2014 Sep 8.

Abstract

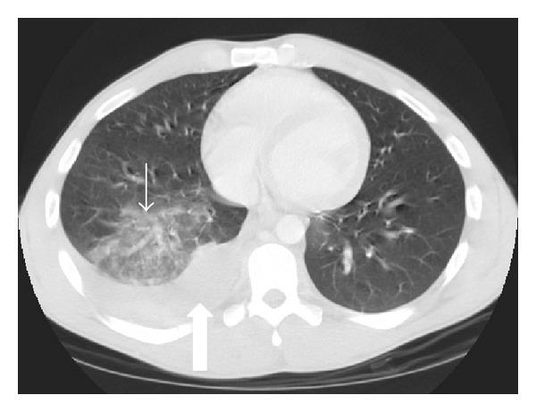
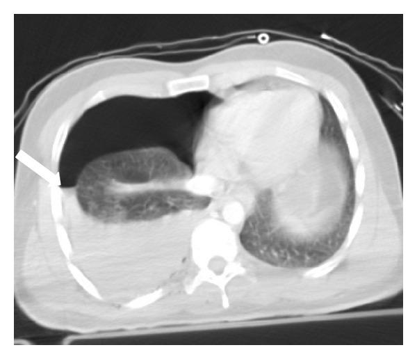
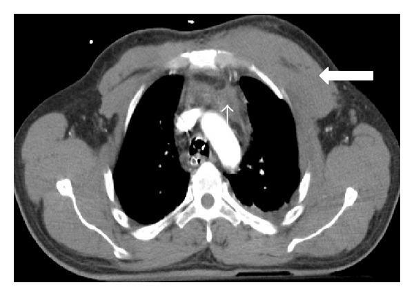
Imaging plays an essential part of chest trauma care. By definition, the employed imaging technique in the emergency setting should reach the correct diagnosis as fast as possible. In severe chest blunt trauma, multidetector computer tomography (MDCT) has become part of the initial workup, mainly due to its high sensitivity and diagnostic accuracy of the technique for the detection and characterization of thoracic injuries and also due to its wide availability in tertiary care centers. The aim of this paper is to review and illustrate a spectrum of characteristic MDCT findings of blunt traumatic injuries of the chest including the lungs, mediastinum, pleural space, and chest wall.

摘要

影像学在胸部创伤治疗中起着至关重要的作用。根据定义,在急诊环境中所采用的影像学技术应尽快得出正确诊断。在严重胸部钝性创伤中,多排螺旋计算机断层扫描(MDCT)已成为初始检查的一部分,这主要归因于该技术在检测和鉴别胸部损伤方面具有高敏感性和诊断准确性,还归因于其在三级医疗中心广泛可用。本文旨在回顾并阐述胸部钝性创伤包括肺、纵隔、胸膜腔和胸壁的一系列MDCT特征性表现。

https://cdn.ncbi.nlm.nih.gov/pmc/blobs/b157/4175749/e4bc62265e0d/RRP2014-864369.001.jpg

文献AI研究员

20分钟写一篇综述,助力文献阅读效率提升50倍。

立即体验

用中文搜PubMed

大模型驱动的PubMed中文搜索引擎

马上搜索

文档翻译

学术文献翻译模型,支持多种主流文档格式。

立即体验