Suppr超能文献

内镜下取石术后的胆石性肠梗阻

Gallstone Ileus following Endoscopic Stone Extraction.

作者信息

Yamauchi Yoshiya, Wakui Noritaka, Asai Yasutsugu, Dan Nobuhiro, Takeda Yuki, Ueki Nobuo, Otsuka Takahumi, Oba Nobuyuki, Nisinakagawa Shuta, Kojima Tatsuya

机构信息

Department of Internal Gastroenterology and Hepatology, Tokyo Rosai Hospital, 4-13-21 Omori-minami, Ota-ku, Tokyo 143-0013, Japan.

出版信息

Case Rep Gastrointest Med. 2014;2014:271571. doi: 10.1155/2014/271571. Epub 2014 Sep 28.

Abstract

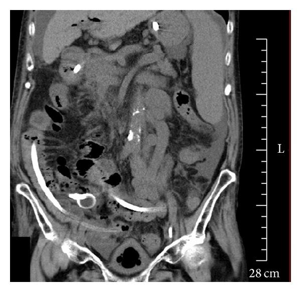
An 85-year-old woman was an outpatient treated at Tokyo Rosai Hospital for cirrhosis caused by hepatitis B. She had previously been diagnosed as having common bile duct stones, for which she underwent endoscopic retrograde cholangiopancreatography (ERCP). However, as stone removal was unsuccessful, a plastic stent was placed after endoscopic sphincterotomy. In October 2012, the stent was replaced endoscopically because she developed cholangitis due to stent occlusion. Seven days later, we performed ERCP to treat recurring cholangitis. During the procedure, the stone was successfully removed by a balloon catheter when cleaning the common bile duct. The next day, the patient developed abdominal pain, abdominal distension, and nausea and was diagnosed as having gallstone ileus based on abdominal computed tomography (CT) and abdominal ultrasonography findings of an incarcerated stone in the terminal ileum. Although colonoscopy was performed after inserting an ileus tube, no stone was visible. Subsequent CT imaging verified the disappearance of the incarcerated stone from the ileum, suggesting that the stone had been evacuated naturally via the transanal route. Although it is extremely rare for gallstone ileus to develop as a complication of ERCP, physicians should be aware of gallstone ileus and follow patients carefully, especially after removing huge stones.

摘要

一名85岁女性因乙型肝炎导致肝硬化,在东京Rosai医院接受门诊治疗。她此前被诊断患有胆总管结石,并接受了内镜逆行胰胆管造影术(ERCP)。然而,由于结石清除未成功,在内镜括约肌切开术后放置了塑料支架。2012年10月,因支架阻塞导致胆管炎,她接受了内镜下支架置换。七天后,我们进行ERCP治疗复发性胆管炎。在手术过程中,清理胆总管时通过球囊导管成功取出结石。第二天,患者出现腹痛、腹胀和恶心,根据腹部计算机断层扫描(CT)和腹部超声检查结果显示回肠末端有嵌顿结石,被诊断为胆石性肠梗阻。尽管在插入肠梗阻导管后进行了结肠镜检查,但未发现结石。随后的CT成像证实回肠中的嵌顿结石消失,表明结石已通过经肛门途径自然排出。尽管胆石性肠梗阻作为ERCP的并发症极为罕见,但医生应意识到胆石性肠梗阻并仔细观察患者,尤其是在取出巨大结石后。

https://cdn.ncbi.nlm.nih.gov/pmc/blobs/32d8/4195353/4dfedd31f24e/CRIGM2014-271571.001.jpg

文献AI研究员

20分钟写一篇综述,助力文献阅读效率提升50倍。

立即体验

用中文搜PubMed

大模型驱动的PubMed中文搜索引擎

马上搜索

文档翻译

学术文献翻译模型,支持多种主流文档格式。

立即体验