Suppr超能文献

具有人类使用历史的氧化还原活性化合物:抗葡萄球菌作用及作为局部抗生物膜剂重新利用的潜力。

Redox-active compounds with a history of human use: antistaphylococcal action and potential for repurposing as topical antibiofilm agents.

作者信息

Ooi N, Eady E A, Cove J H, O'Neill A J

机构信息

Antimicrobial Research Centre and School of Molecular and Cellular Biology, University of Leeds, Leeds, UK.

Harrogate and District NHS Foundation Trust, Harrogate, UK.

出版信息

J Antimicrob Chemother. 2015 Feb;70(2):479-88. doi: 10.1093/jac/dku409. Epub 2014 Nov 3.

Abstract

OBJECTIVES

To investigate the antistaphylococcal/antibiofilm activity and mode of action (MOA) of a panel of redox-active (RA) compounds with a history of human use and to provide a preliminary preclinical assessment of their potential for topical treatment of staphylococcal infections, including those involving a biofilm component.

METHODS

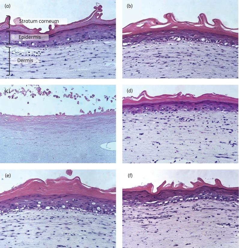
Antistaphylococcal activity was evaluated by broth microdilution and by time-kill studies with growing and slow- or non-growing cells. The antibiofilm activity of RA compounds, alone and in combination with established antibacterial agents, was assessed using the Calgary Biofilm Device. Established assays were used to examine the membrane-perturbing effects of RA compounds, to measure penetration into biofilms and physical disruption of biofilms and to assess resistance potential. A living skin equivalent model was used to assess the effects of RA compounds on human skin.

RESULTS

All 15 RA compounds tested displayed antistaphylococcal activity against planktonic cultures (MIC 0.25-128 mg/L) and 7 eradicated staphylococcal biofilms (minimum biofilm eradication concentration 4-256 mg/L). The MOA of all compounds involved perturbation of the bacterial membrane, whilst selected compounds with antibiofilm activity caused destructuring of the biofilm matrix. The two most promising agents [celastrol and nordihydroguaiaretic acid (NDGA)] in respect of antibacterial potency and selective toxicity against bacterial membranes acted synergistically with gentamicin against biofilms, did not damage artificial skin following topical application and exhibited low resistance potential.

CONCLUSIONS

In contrast to established antibacterial drugs, some RA compounds are capable of eradicating staphylococcal biofilms. Of these, celastrol and NDGA represent particularly attractive candidates for development as topical antistaphylococcal biofilm treatments.

摘要

目的

研究一组有人类使用历史的氧化还原活性(RA)化合物的抗葡萄球菌/抗生物膜活性及作用模式(MOA),并对其局部治疗葡萄球菌感染(包括涉及生物膜成分的感染)的潜力进行初步临床前评估。

方法

通过肉汤微量稀释法以及对生长和生长缓慢或不生长的细胞进行时间杀菌研究来评估抗葡萄球菌活性。使用卡尔加里生物膜装置评估RA化合物单独以及与既定抗菌剂联合使用时的抗生物膜活性。采用既定试验来检查RA化合物对膜的扰动作用、测量其对生物膜的渗透和生物膜的物理破坏情况,并评估耐药潜力。使用活皮肤等效模型评估RA化合物对人体皮肤的影响。

结果

所测试的所有15种RA化合物均对浮游培养物显示出抗葡萄球菌活性(MIC为0.25 - 128 mg/L),7种化合物可根除葡萄球菌生物膜(最低生物膜根除浓度为4 - 256 mg/L)。所有化合物的作用模式均涉及细菌膜的扰动,而具有抗生物膜活性的选定化合物会导致生物膜基质结构破坏。就抗菌效力和对细菌膜的选择性毒性而言,两种最有前景的药物[雷公藤红素和去甲二氢愈创木酸(NDGA)]与庆大霉素对生物膜具有协同作用,局部应用后不会损伤人造皮肤,且耐药潜力低。

结论

与既定的抗菌药物不同,一些RA化合物能够根除葡萄球菌生物膜。其中,雷公藤红素和NDGA作为局部抗葡萄球菌生物膜治疗药物具有特别吸引人的开发潜力。

https://cdn.ncbi.nlm.nih.gov/pmc/blobs/d12f/4291238/667fda7e3931/dku40901.jpg

文献AI研究员

20分钟写一篇综述,助力文献阅读效率提升50倍。

立即体验

用中文搜PubMed

大模型驱动的PubMed中文搜索引擎

马上搜索

文档翻译

学术文献翻译模型,支持多种主流文档格式。

立即体验