Ozgun Alpaslan, Tuncel Tolga, Emirzeoglu Levent, Celik Serkan, Bilgi Oguz, Haholu Abdullah, Urhan Muammer, Karagoz Bulent
Department of Medical Oncology, Gulhane Military Medical Academy Haydarpasa Training Hospital, Istanbul, Turkey.
Department of Pathology, Gulhane Military Medical Academy Haydarpasa Training Hospital, Istanbul, Turkey.
Oncol Lett. 2015 Jan;9(1):468-470. doi: 10.3892/ol.2014.2642. Epub 2014 Oct 27.
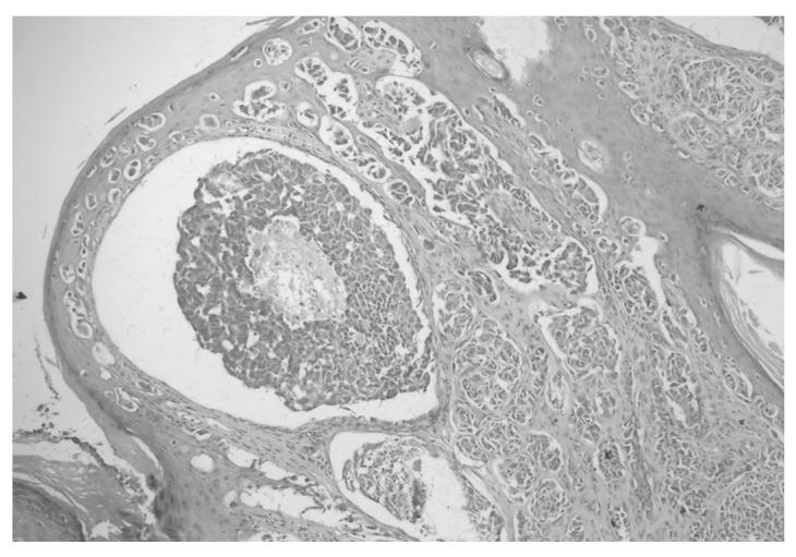
Malignant melanoma can be successfully treated when it is identified in its early stages, but the disease is associated with a poor prognosis when it is detected in an advanced stage. Papillary thyroid carcinoma is a thyroid cancer that has a good prognosis. The present study reports a rare case of malignant melanoma and papillary thyroid carcinoma that were diagnosed concurrently and treated simultaneously. The present patient was a 37-year-old male, in whom examination of a skin biopsy that was obtained from a lesion in the right retroauricular region revealed the lesion to be consistent with malignant melanoma. The patient underwent radical neck dissection upon the detection of malignant melanoma metastasis to the sentinel lymph node. Metastases of papillary thyroid carcinoma were detected in four out of 38 lymph nodes. The patient was then diagnosed with papillary thyroid carcinoma and underwent total thyroidectomy. The patient was administered with high-dose followed by moderate-dose interferon-α therapy for the treatment of malignant melanoma. The patient also received concurrent radioactive iodine therapy for the treatment of papillary thyroid carcinoma, at the same time as the interferon therapy. The two primary tumors of the patient were treated successfully. During therapy, no serious side-effects were observed, with the exception of fever caused by high-dose interferon therapy. Malignant melanoma and papillary thyroid carcinoma may occur concurrently, although this is rarely observed. The present study reports a rare case that demonstrates that the two tumors can be successfully treated simultaneously.
恶性黑色素瘤在早期被发现时可得到成功治疗,但在晚期被检测到时,该疾病的预后较差。乳头状甲状腺癌是一种预后良好的甲状腺癌。本研究报告了一例罕见的同时诊断出恶性黑色素瘤和乳头状甲状腺癌并同时进行治疗的病例。该患者为一名37岁男性,对从右耳后区域病变处获取的皮肤活检样本进行检查后发现,该病变与恶性黑色素瘤相符。在检测到恶性黑色素瘤转移至前哨淋巴结后,患者接受了根治性颈清扫术。在38个淋巴结中有4个检测到乳头状甲状腺癌转移。随后患者被诊断为乳头状甲状腺癌并接受了全甲状腺切除术。患者接受了大剂量随后是中等剂量的干扰素-α治疗以治疗恶性黑色素瘤。患者在接受干扰素治疗的同时,还接受了放射性碘治疗以治疗乳头状甲状腺癌。患者的两种原发性肿瘤均得到成功治疗。在治疗期间,除了大剂量干扰素治疗引起的发热外,未观察到严重的副作用。恶性黑色素瘤和乳头状甲状腺癌可能同时发生,尽管这种情况很少见。本研究报告了一例罕见病例,表明这两种肿瘤可同时成功治疗。