• 文献检索
  • 文档翻译
  • 深度研究
  • 学术资讯
  • Suppr Zotero 插件Zotero 插件
  • 邀请有礼
  • 套餐&价格
  • 历史记录
应用&插件
Suppr Zotero 插件Zotero 插件浏览器插件Mac 客户端Windows 客户端微信小程序
定价
高级版会员购买积分包购买API积分包
服务
文献检索文档翻译深度研究API 文档MCP 服务
关于我们
关于 Suppr公司介绍联系我们用户协议隐私条款
关注我们

Suppr 超能文献

核心技术专利:CN118964589B侵权必究
粤ICP备2023148730 号-1Suppr @ 2026

文献检索

告别复杂PubMed语法,用中文像聊天一样搜索,搜遍4000万医学文献。AI智能推荐,让科研检索更轻松。

立即免费搜索

文件翻译

保留排版,准确专业,支持PDF/Word/PPT等文件格式,支持 12+语言互译。

免费翻译文档

深度研究

AI帮你快速写综述,25分钟生成高质量综述,智能提取关键信息,辅助科研写作。

立即免费体验

信号素3a促进晚期糖尿病肾病。

Semaphorin3a promotes advanced diabetic nephropathy.

作者信息

Aggarwal Pardeep K, Veron Delma, Thomas David B, Siegel Dionicio, Moeckel Gilbert, Kashgarian Michael, Tufro Alda

机构信息

Department of Pediatrics/Nephrology, Yale University School of Medicine, New Haven, CT.

Department of Pathology, University of Miami Miller School of Medicine, Miami, FL.

出版信息

Diabetes. 2015 May;64(5):1743-59. doi: 10.2337/db14-0719. Epub 2014 Dec 4.

DOI:10.2337/db14-0719
PMID:25475434
原文链接:https://pmc.ncbi.nlm.nih.gov/articles/PMC4407856/
Abstract

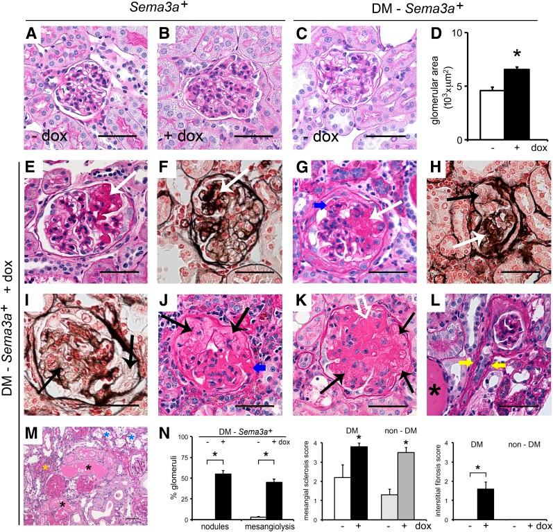
The onset of diabetic nephropathy (DN) is highlighted by glomerular filtration barrier abnormalities. Identifying pathogenic factors and targetable pathways driving DN is crucial to developing novel therapies and improving the disease outcome. Semaphorin3a (sema3a) is a guidance protein secreted by podocytes. Excess sema3a disrupts the glomerular filtration barrier. Here, using immunohistochemistry, we show increased podocyte SEMA3A in renal biopsies from patients with advanced DN. Using inducible, podocyte-specific Sema3a gain-of-function (Sema3a(+)) mice made diabetic with streptozotocin, we demonstrate that sema3a is pathogenic in DN. Diabetic Sema3a(+) mice develop massive proteinuria, renal insufficiency, and extensive nodular glomerulosclerosis, mimicking advanced DN in humans. In diabetic mice, Sema3a(+) exacerbates laminin and collagen IV accumulation in Kimmelstiel-Wilson-like glomerular nodules and causes diffuse podocyte foot process effacement and F-actin collapse via nephrin, αvβ3 integrin, and MICAL1 interactions with plexinA1. MICAL1 knockdown and sema3a inhibition render podocytes not susceptible to sema3a-induced shape changes, indicating that MICAL1 mediates sema3a-induced podocyte F-actin collapse. Moreover, sema3a binding inhibition or podocyte-specific plexinA1 deletion markedly ameliorates albuminuria and abrogates renal insufficiency and the diabetic nodular glomerulosclerosis phenotype of diabetic Sema3a(+) mice. Collectively, these findings indicate that excess sema3a promotes severe diabetic nephropathy and identifies novel potential therapeutic targets for DN.

摘要

糖尿病肾病(DN)的发病以肾小球滤过屏障异常为突出表现。识别驱动DN的致病因素和可靶向的通路对于开发新疗法和改善疾病预后至关重要。信号素3a(sema3a)是足细胞分泌的一种导向蛋白。过量的sema3a会破坏肾小球滤过屏障。在此,我们通过免疫组织化学显示,晚期DN患者肾活检中足细胞SEMA3A增加。利用链脲佐菌素诱导制成糖尿病的、足细胞特异性sema3a功能获得性(Sema3a(+))小鼠,我们证明sema3a在DN中具有致病性。糖尿病Sema3a(+)小鼠出现大量蛋白尿、肾功能不全和广泛的结节性肾小球硬化,类似于人类的晚期DN。在糖尿病小鼠中,Sema3a(+)会加剧Kimmelstiel-Wilson样肾小球结节中层粘连蛋白和IV型胶原的积累,并通过nephrin、αvβ3整合素以及MICAL1与丛状蛋白A1的相互作用导致弥漫性足细胞足突消失和F-肌动蛋白塌陷。敲低MICAL1和抑制sema3a可使足细胞不易受到sema3a诱导的形态变化影响,表明MICAL1介导sema3a诱导的足细胞F-肌动蛋白塌陷。此外,抑制sema3a结合或足细胞特异性缺失丛状蛋白A1可显著改善蛋白尿,并消除糖尿病Sema3a(+)小鼠的肾功能不全和糖尿病结节性肾小球硬化表型。总体而言,这些发现表明过量的sema3a会促进严重的糖尿病肾病,并确定了DN新的潜在治疗靶点。

https://cdn.ncbi.nlm.nih.gov/pmc/blobs/8a90/4407856/84abc3802e96/db140719f9.jpg
https://cdn.ncbi.nlm.nih.gov/pmc/blobs/8a90/4407856/558cc674af03/db140719f1.jpg
https://cdn.ncbi.nlm.nih.gov/pmc/blobs/8a90/4407856/2f540d1ad4ac/db140719f2.jpg
https://cdn.ncbi.nlm.nih.gov/pmc/blobs/8a90/4407856/9553bd9f9180/db140719f3.jpg
https://cdn.ncbi.nlm.nih.gov/pmc/blobs/8a90/4407856/93c278794a11/db140719f4.jpg
https://cdn.ncbi.nlm.nih.gov/pmc/blobs/8a90/4407856/22090d2f865f/db140719f5.jpg
https://cdn.ncbi.nlm.nih.gov/pmc/blobs/8a90/4407856/fec0d94ef08f/db140719f6.jpg
https://cdn.ncbi.nlm.nih.gov/pmc/blobs/8a90/4407856/9aa1b3a26ad0/db140719f7.jpg
https://cdn.ncbi.nlm.nih.gov/pmc/blobs/8a90/4407856/79af67c3c355/db140719f8.jpg
https://cdn.ncbi.nlm.nih.gov/pmc/blobs/8a90/4407856/84abc3802e96/db140719f9.jpg
https://cdn.ncbi.nlm.nih.gov/pmc/blobs/8a90/4407856/558cc674af03/db140719f1.jpg
https://cdn.ncbi.nlm.nih.gov/pmc/blobs/8a90/4407856/2f540d1ad4ac/db140719f2.jpg
https://cdn.ncbi.nlm.nih.gov/pmc/blobs/8a90/4407856/9553bd9f9180/db140719f3.jpg
https://cdn.ncbi.nlm.nih.gov/pmc/blobs/8a90/4407856/93c278794a11/db140719f4.jpg
https://cdn.ncbi.nlm.nih.gov/pmc/blobs/8a90/4407856/22090d2f865f/db140719f5.jpg
https://cdn.ncbi.nlm.nih.gov/pmc/blobs/8a90/4407856/fec0d94ef08f/db140719f6.jpg
https://cdn.ncbi.nlm.nih.gov/pmc/blobs/8a90/4407856/9aa1b3a26ad0/db140719f7.jpg
https://cdn.ncbi.nlm.nih.gov/pmc/blobs/8a90/4407856/79af67c3c355/db140719f8.jpg
https://cdn.ncbi.nlm.nih.gov/pmc/blobs/8a90/4407856/84abc3802e96/db140719f9.jpg

相似文献

1
Semaphorin3a promotes advanced diabetic nephropathy.信号素3a促进晚期糖尿病肾病。
Diabetes. 2015 May;64(5):1743-59. doi: 10.2337/db14-0719. Epub 2014 Dec 4.
2
Excess podocyte semaphorin-3A leads to glomerular disease involving plexinA1-nephrin interaction.过量的足细胞信号素 3A 导致涉及丛蛋白 A1-nephrin 相互作用的肾小球疾病。
Am J Pathol. 2013 Oct;183(4):1156-1168. doi: 10.1016/j.ajpath.2013.06.022. Epub 2013 Aug 14.
3
Podocyte-specific VEGF-a gain of function induces nodular glomerulosclerosis in eNOS null mice.足细胞特异性血管内皮生长因子-a功能获得在eNOS基因敲除小鼠中诱导结节性肾小球硬化。
J Am Soc Nephrol. 2014 Aug;25(8):1814-24. doi: 10.1681/ASN.2013070752. Epub 2014 Feb 27.
4
Podocyte vascular endothelial growth factor (Vegf₁₆₄) overexpression causes severe nodular glomerulosclerosis in a mouse model of type 1 diabetes.足细胞血管内皮生长因子 (Vegf₁₆₄) 过表达导致 1 型糖尿病小鼠模型中严重的结节性肾小球硬化。
Diabetologia. 2011 May;54(5):1227-41. doi: 10.1007/s00125-010-2034-z. Epub 2011 Feb 12.
5
Semaphorin3a signaling, podocyte shape, and glomerular disease.信号素3a信号传导、足细胞形态与肾小球疾病
Pediatr Nephrol. 2014 Apr;29(4):751-5. doi: 10.1007/s00467-013-2743-x. Epub 2014 Jan 26.
6
Semaphorin3a regulates endothelial cell number and podocyte differentiation during glomerular development.信号素3a在肾小球发育过程中调节内皮细胞数量和足细胞分化。
Development. 2009 Dec;136(23):3979-89. doi: 10.1242/dev.037267.
7
Impaired Podocyte Autophagy Exacerbates Proteinuria in Diabetic Nephropathy.足细胞自噬受损加剧糖尿病肾病蛋白尿
Diabetes. 2016 Mar;65(3):755-67. doi: 10.2337/db15-0473. Epub 2015 Sep 17.
8
Diabetic kidney lesions of GIPRdn transgenic mice: podocyte hypertrophy and thickening of the GBM precede glomerular hypertrophy and glomerulosclerosis.GIPRdn转基因小鼠的糖尿病性肾脏病变:足细胞肥大和肾小球基底膜增厚先于肾小球肥大和肾小球硬化。
Am J Physiol Renal Physiol. 2009 Apr;296(4):F819-29. doi: 10.1152/ajprenal.90665.2008. Epub 2009 Feb 11.
9
Urinary semaphorin 3A correlates with diabetic proteinuria and mediates diabetic nephropathy and associated inflammation in mice.尿信号素3A与糖尿病蛋白尿相关,并介导小鼠糖尿病肾病及相关炎症。
J Mol Med (Berl). 2014 Dec;92(12):1245-56. doi: 10.1007/s00109-014-1209-3. Epub 2014 Sep 25.
10
Podocyte-specific Nox4 deletion affords renoprotection in a mouse model of diabetic nephropathy.足细胞特异性Nox4缺失在糖尿病肾病小鼠模型中提供肾脏保护作用。
Diabetologia. 2016 Feb;59(2):379-89. doi: 10.1007/s00125-015-3796-0. Epub 2015 Oct 28.

引用本文的文献

1
Expression analysis and possible functional roles of semaphorin/plexin/CRMP families in mouse pancreatic islets.信号素/丛状蛋白/CRMP家族在小鼠胰岛中的表达分析及可能的功能作用
Sci Rep. 2025 Mar 27;15(1):10546. doi: 10.1038/s41598-025-95300-7.
2
MICAL1 Mediates TGF-β1-Induced Epithelial-to-Mesenchymal Transition and Metastasis of Hepatocellular Carcinoma by Activating Smad2/3.MICAL1通过激活Smad2/3介导转化生长因子-β1诱导的肝癌上皮-间质转化和转移。
Cell Biochem Biophys. 2025 Jun;83(2):2589-2606. doi: 10.1007/s12013-025-01668-8. Epub 2025 Feb 15.
3
IGFBP2 induces podocyte apoptosis promoted by mitochondrial damage via integrin α5/FAK in diabetic kidney disease.

本文引用的文献

1
Podocyte-specific VEGF-a gain of function induces nodular glomerulosclerosis in eNOS null mice.足细胞特异性血管内皮生长因子-a功能获得在eNOS基因敲除小鼠中诱导结节性肾小球硬化。
J Am Soc Nephrol. 2014 Aug;25(8):1814-24. doi: 10.1681/ASN.2013070752. Epub 2014 Feb 27.
2
New insights into molecular mechanisms of diabetic kidney disease.糖尿病肾病分子机制的新见解。
Am J Kidney Dis. 2014 Feb;63(2 Suppl 2):S63-83. doi: 10.1053/j.ajkd.2013.10.047.
3
SelR reverses Mical-mediated oxidation of actin to regulate F-actin dynamics.SelR 逆转 Mical 介导的肌动蛋白氧化,从而调节 F-肌动蛋白的动态变化。
IGFBP2 通过整合素 α5/FAK 诱导糖尿病肾病中线粒体损伤引起的足细胞凋亡。
Apoptosis. 2024 Aug;29(7-8):1109-1125. doi: 10.1007/s10495-024-01974-1. Epub 2024 May 25.
4
Role of Semaphorin 3A in Kidney Development and Diseases.信号素3A在肾脏发育和疾病中的作用。
Diagnostics (Basel). 2023 Sep 25;13(19):3038. doi: 10.3390/diagnostics13193038.
5
Expression profiles and potential roles of serum tRNA‑derived fragments in diabetic nephropathy.血清tRNA衍生片段在糖尿病肾病中的表达谱及潜在作用
Exp Ther Med. 2023 May 11;26(1):311. doi: 10.3892/etm.2023.12010. eCollection 2023 Jul.
6
MICAL-mediated oxidation of actin and its effects on cytoskeletal and cellular dynamics.MICAL介导的肌动蛋白氧化及其对细胞骨架和细胞动力学的影响。
Front Cell Dev Biol. 2023 Feb 17;11:1124202. doi: 10.3389/fcell.2023.1124202. eCollection 2023.
7
LncRNA TCF7 contributes to high glucose-induced damage in human podocytes by up-regulating SEMA3A via sponging miR-16-5p.长链非编码 RNA TCF7 通过海绵吸附 miR-16-5p 而上调 SEMA3A 促进高糖诱导的人足细胞损伤。
J Diabetes Investig. 2023 Feb;14(2):193-204. doi: 10.1111/jdi.13904. Epub 2022 Dec 29.
8
MICAL1 facilitates pancreatic cancer proliferation, migration, and invasion by activating WNT/β-catenin pathway.MICAL1 通过激活 WNT/β-catenin 通路促进胰腺癌的增殖、迁移和侵袭。
J Transl Med. 2022 Nov 12;20(1):528. doi: 10.1186/s12967-022-03749-1.
9
Activation of the Renin-Angiotensin System Disrupts the Cytoskeletal Architecture of Human Urine-Derived Podocytes.肾素-血管紧张素系统的激活破坏了人尿液来源的足细胞的细胞骨架结构。
Cells. 2022 Mar 24;11(7):1095. doi: 10.3390/cells11071095.
10
Podocyte Knockdown Induces Diffuse Glomerulosclerosis in Diabetic and in Knockout Mice.足细胞敲低诱导糖尿病小鼠和基因敲除小鼠发生弥漫性肾小球硬化。
Front Pharmacol. 2022 Feb 23;12:788886. doi: 10.3389/fphar.2021.788886. eCollection 2021.
Nat Cell Biol. 2013 Dec;15(12):1445-54. doi: 10.1038/ncb2871. Epub 2013 Nov 10.
4
Diabetic nephropathy: diagnosis and treatment.糖尿病肾病:诊断与治疗。
Nat Rev Endocrinol. 2013 Dec;9(12):713-23. doi: 10.1038/nrendo.2013.184. Epub 2013 Oct 8.
5
Targeted glomerular angiopoietin-1 therapy for early diabetic kidney disease.靶向肾小球血管生成素-1 治疗早期糖尿病肾病。
J Am Soc Nephrol. 2014 Jan;25(1):33-42. doi: 10.1681/ASN.2012121218. Epub 2013 Sep 5.
6
Excess podocyte semaphorin-3A leads to glomerular disease involving plexinA1-nephrin interaction.过量的足细胞信号素 3A 导致涉及丛蛋白 A1-nephrin 相互作用的肾小球疾病。
Am J Pathol. 2013 Oct;183(4):1156-1168. doi: 10.1016/j.ajpath.2013.06.022. Epub 2013 Aug 14.
7
MsrB1 and MICALs regulate actin assembly and macrophage function via reversible stereoselective methionine oxidation.MsrB1 和 MICALs 通过可逆立体选择性蛋氨酸氧化调节肌动蛋白组装和巨噬细胞功能。
Mol Cell. 2013 Aug 8;51(3):397-404. doi: 10.1016/j.molcel.2013.06.019. Epub 2013 Aug 1.
8
The modern spectrum of renal biopsy findings in patients with diabetes.糖尿病患者肾活检的现代表现谱。
Clin J Am Soc Nephrol. 2013 Oct;8(10):1718-24. doi: 10.2215/CJN.02510213. Epub 2013 Jul 25.
9
Semaphorin 3A is a new early diagnostic biomarker of experimental and pediatric acute kidney injury.Semaphorin 3A 是实验性和儿科急性肾损伤的新的早期诊断生物标志物。
PLoS One. 2013;8(3):e58446. doi: 10.1371/journal.pone.0058446. Epub 2013 Mar 4.
10
Mechanisms of diabetic complications.糖尿病并发症的发病机制。
Physiol Rev. 2013 Jan;93(1):137-88. doi: 10.1152/physrev.00045.2011.