Leeming Gail H, Kipar Anja, Hughes David J, Bingle Lynne, Bennett Elaine, Moyo Nathifa A, Tripp Ralph A, Bigley Alison L, Bingle Colin D, Sample Jeffery T, Stewart James P
1] Department of Infection Biology, University of Liverpool, Liverpool, UK [2] Department of Veterinary Pathology, School of Veterinary Science, University of Liverpool, Liverpool, UK.
1] Department of Infection Biology, University of Liverpool, Liverpool, UK [2] Department of Veterinary Pathology, School of Veterinary Science, University of Liverpool, Liverpool, UK [3] Institute of Veterinary Pathology, Vetsuisse Faculty, University of Zurich, Zurich, Switzerland.
Lab Invest. 2015 Jun;95(6):610-24. doi: 10.1038/labinvest.2014.162. Epub 2014 Dec 22.
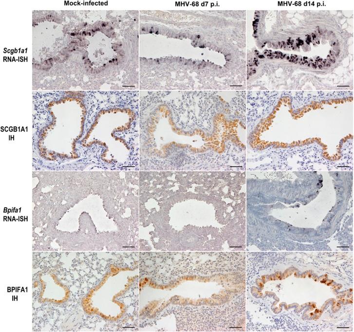
Murine γ-herpesvirus 68 (MHV-68) infection of Mus musculus-derived strains of mice is an established model of γ-herpesvirus infection. We have previously developed an alternative system using a natural host, the wood mouse (Apodemus sylvaticus), and shown that the MHV-68 M3 chemokine-binding protein contributes significantly to MHV-68 pathogenesis. Here we demonstrate in A. sylvaticus using high-density micro-arrays that M3 influences the expression of genes involved in the host response including Scgb1a1 and Bpifa1 that encode potential innate defense proteins secreted into the respiratory tract. Further analysis of MHV-68-infected animals showed that the levels of both protein and RNA for SCGB1A1 and BPIFA1 were decreased at day 7 post infection (p.i.) but increased at day 14 p.i. as compared with M3-deficient and mock-infected animals. The modulation of expression was most pronounced in bronchioles but was also present in the bronchi and trachea. Double staining using RNA in situ hybridization and immunohistology demonstrated that much of the BPIFA1 expression occurs in club cells along with SCGB1A1 and that BPIFA1 is stored within granules in these cells. The increase in SCGB1A1 and BPIFA1 expression at day 14 p.i. was associated with the differentiation of club cells into mucus-secreting cells. Our data highlight the role of club cells and the potential of SCGB1A1 and BPIFA1 as innate defense mediators during respiratory virus infection.
小家鼠来源的小鼠品系感染鼠γ-疱疹病毒68(MHV-68)是一种已确立的γ-疱疹病毒感染模型。我们之前利用天然宿主林姬鼠(Apodemus sylvaticus)开发了一种替代系统,并表明MHV-68 M3趋化因子结合蛋白对MHV-68发病机制有显著贡献。在此,我们在林姬鼠中使用高密度微阵列证明,M3影响宿主反应相关基因的表达,包括编码分泌到呼吸道的潜在固有防御蛋白的Scgb1a1和Bpifa1。对感染MHV-68的动物的进一步分析表明,与M3缺陷和模拟感染的动物相比,感染后第7天(p.i.)时SCGB1A1和BPIFA1的蛋白质和RNA水平均降低,但在感染后第14天升高。表达的调节在细支气管中最为明显,但在支气管和气管中也存在。使用RNA原位杂交和免疫组织学的双重染色表明,BPIFA1的大部分表达与SCGB1A1一起出现在棒状细胞中,并且BPIFA1储存在这些细胞的颗粒中。感染后第14天SCGB1A1和BPIFA1表达的增加与棒状细胞分化为分泌黏液的细胞有关。我们的数据突出了棒状细胞的作用以及SCGB1A1和BPIFA1作为呼吸道病毒感染期间固有防御介质的潜力。