Suppr超能文献

丝素蛋白与胶原膜在大鼠颅骨缺损引导骨再生中具有相当的疗效。

Comparable efficacy of silk fibroin with the collagen membranes for guided bone regeneration in rat calvarial defects.

机构信息

Department of Oral and Maxillofacial Surgery, Hallym University School of Medicine, Hallym University Sacred Heart Hospital, Anyang, Republic of Korea.

Department of Prosthodontics, Hallym University School of Medicine, Hallym University Sacred Heart Hospital, Anyang, Republic of Korea.

出版信息

J Adv Prosthodont. 2014 Dec;6(6):539-46. doi: 10.4047/jap.2014.6.6.539. Epub 2014 Dec 17.

Abstract

PURPOSE

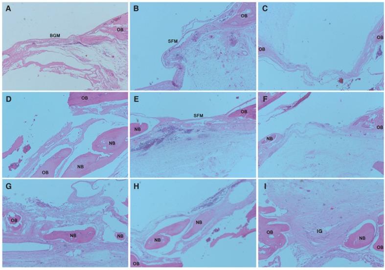
Silk fibroin (SF) is a new degradable barrier membrane for guided bone regeneration (GBR) that can reduce the risk of pathogen transmission and the high costs associated with the use of collagen membranes. This study compared the efficacy of SF membranes on GBR with collagen membranes (Bio-Gide®) using a rat calvarial defect model.

MATERIALS AND METHODS

Thirty-six male Sprague Dawley rats with two 5 mm-sized circular defects in the calvarial bone were prepared (n=72). The study groups were divided into a control group (no membrane) and two experimental groups (SF membrane and Bio-Gide®). Each group of 24 samples was subdivided at 2, 4, and 8 weeks after implantation. New bone formation was evaluated using microcomputerized tomography and histological examination.

RESULTS

Bone regeneration was observed in the SF and Bio-Gide®-treated groups to a greater extent than in the control group (mean volume of new bone was 5.49 ± 1.48 mm(3) at 8 weeks). There were different patterns of bone regeneration between the SF membrane and the Bio-Gide® samples. However, the absolute volume of new bone in the SF membrane-treated group was not significantly different from that in the collagen membrane-treated group at 8 weeks (8.75 ± 0.80 vs. 8.47 ± 0.75 mm(3), respectively, P=.592).

CONCLUSION

SF membranes successfully enhanced comparable volumes of bone regeneration in calvarial bone defects compared with collagen membranes. Considering the lower cost and lesser risk of infectious transmission from animal tissue, SF membranes are a viable alternative to collagen membranes for GBR.

摘要

目的

丝素蛋白(SF)是一种新的可降解屏障膜,可用于引导骨再生(GBR),它可以降低病原体传播的风险和使用胶原膜相关的高成本。本研究使用大鼠颅骨缺损模型比较了 SF 膜与胶原膜(Bio-Gide®)在 GBR 中的效果。

材料与方法

制备 36 只雄性 Sprague Dawley 大鼠颅骨上有两个 5mm 大小的圆形缺损(n=72)。将研究组分为对照组(无膜)和两个实验组(SF 膜和 Bio-Gide®)。每组 24 个样本在植入后 2、4 和 8 周时进行细分。使用微计算机断层扫描和组织学检查评估新骨形成。

结果

与对照组相比,SF 和 Bio-Gide®治疗组观察到更多的骨再生(8 周时新骨的平均体积为 5.49±1.48mm3)。SF 膜和 Bio-Gide®样本之间存在不同的骨再生模式。然而,8 周时 SF 膜治疗组的新骨绝对体积与胶原膜治疗组无显著差异(分别为 8.75±0.80mm3和 8.47±0.75mm3,P=.592)。

结论

SF 膜成功地增强了颅骨缺损中可比体积的骨再生,与胶原膜相比。考虑到较低的成本和较少的动物组织传播感染的风险,SF 膜是 GBR 中胶原膜的一种可行替代品。

https://cdn.ncbi.nlm.nih.gov/pmc/blobs/10a1/4279054/0bfa14b1098c/jap-6-539-g001.jpg

文献AI研究员

20分钟写一篇综述,助力文献阅读效率提升50倍。

立即体验

用中文搜PubMed

大模型驱动的PubMed中文搜索引擎

马上搜索

文档翻译

学术文献翻译模型,支持多种主流文档格式。

立即体验