• 文献检索
  • 文档翻译
  • 深度研究
  • 学术资讯
  • Suppr Zotero 插件Zotero 插件
  • 邀请有礼
  • 套餐&价格
  • 历史记录
应用&插件
Suppr Zotero 插件Zotero 插件浏览器插件Mac 客户端Windows 客户端微信小程序
定价
高级版会员购买积分包购买API积分包
服务
文献检索文档翻译深度研究API 文档MCP 服务
关于我们
关于 Suppr公司介绍联系我们用户协议隐私条款
关注我们

Suppr 超能文献

核心技术专利:CN118964589B侵权必究
粤ICP备2023148730 号-1Suppr @ 2026

文献检索

告别复杂PubMed语法,用中文像聊天一样搜索,搜遍4000万医学文献。AI智能推荐,让科研检索更轻松。

立即免费搜索

文件翻译

保留排版,准确专业,支持PDF/Word/PPT等文件格式,支持 12+语言互译。

免费翻译文档

深度研究

AI帮你快速写综述,25分钟生成高质量综述,智能提取关键信息,辅助科研写作。

立即免费体验

腹腔镜胆囊切除术中反常二氧化碳栓塞致心脏骤停及神经后遗症:一例报告

Paradoxical carbon dioxide embolism during laparoscopic cholecystectomy as a cause of cardiac arrest and neurologic sequelae: a case report.

作者信息

Shin Hye Young, Kim Dong Wook, Kim Ju Deok, Yu Soo Bong, Kim Doo Sik, Kim Kyung Han, Ryu Sie Jeong

机构信息

Department of Anesthesiology and Pain Medicine, Kosin University College of Medicine, Busan, Korea.

出版信息

Korean J Anesthesiol. 2014 Dec;67(6):425-8. doi: 10.4097/kjae.2014.67.6.425. Epub 2014 Dec 29.

DOI:10.4097/kjae.2014.67.6.425
PMID:25558345
原文链接:https://pmc.ncbi.nlm.nih.gov/articles/PMC4280482/
Abstract

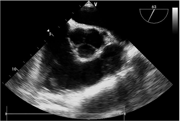
An 81-year-old male patient was scheduled for a laparoscopic cholecystectomy due to acute cholecystitis. About 50 minutes into the operation, the arterial blood pressure suddenly decreased and ventricular fibrillation appeared on the electrocardiography. The patient received cardiopulmonary resuscitation and recovered a normal vital sign. We suspected a carbon dioxide embolism as the middle hepatic vein had been injured during the surgery. We performed a transesophageal echocardiography and were able to confirm the presence of multiple gas bubbles in all of the cardiac chambers. After the operation, the patient presented a stable hemodynamic state, but showed weaknesses in the left arm and leg. There were no acute lesions except for a chronic cerebral cortical atrophy and chronic microvascular encephalopathy on the postoperative brain-computed tomography, 3D angiography and magnetic resonance image. Fortunately, three days after the operation, the patient's hemiparesis had entirely subsided and he was discharged without any neurologic sequelae.

摘要

一名81岁男性患者因急性胆囊炎计划接受腹腔镜胆囊切除术。手术进行约50分钟时,动脉血压突然下降,心电图显示出现心室颤动。患者接受了心肺复苏,生命体征恢复正常。我们怀疑是二氧化碳栓塞,因为手术中肝中静脉受到了损伤。我们进行了经食管超声心动图检查,证实所有心腔内均存在多个气泡。术后,患者血流动力学状态稳定,但左侧手臂和腿部出现无力症状。术后脑部计算机断层扫描、三维血管造影和磁共振成像显示,除慢性脑皮质萎缩和慢性微血管脑病外,无急性病变。幸运的是,术后三天,患者的偏瘫完全消退,出院时无任何神经后遗症。

https://cdn.ncbi.nlm.nih.gov/pmc/blobs/1bc7/4280482/c9bef134057c/kjae-67-425-g003.jpg
https://cdn.ncbi.nlm.nih.gov/pmc/blobs/1bc7/4280482/8b3eda80c952/kjae-67-425-g001.jpg
https://cdn.ncbi.nlm.nih.gov/pmc/blobs/1bc7/4280482/6c7615504028/kjae-67-425-g002.jpg
https://cdn.ncbi.nlm.nih.gov/pmc/blobs/1bc7/4280482/c9bef134057c/kjae-67-425-g003.jpg
https://cdn.ncbi.nlm.nih.gov/pmc/blobs/1bc7/4280482/8b3eda80c952/kjae-67-425-g001.jpg
https://cdn.ncbi.nlm.nih.gov/pmc/blobs/1bc7/4280482/6c7615504028/kjae-67-425-g002.jpg
https://cdn.ncbi.nlm.nih.gov/pmc/blobs/1bc7/4280482/c9bef134057c/kjae-67-425-g003.jpg

相似文献

1
Paradoxical carbon dioxide embolism during laparoscopic cholecystectomy as a cause of cardiac arrest and neurologic sequelae: a case report.腹腔镜胆囊切除术中反常二氧化碳栓塞致心脏骤停及神经后遗症:一例报告
Korean J Anesthesiol. 2014 Dec;67(6):425-8. doi: 10.4097/kjae.2014.67.6.425. Epub 2014 Dec 29.
2
Cardiac arrest associated with carbon dioxide gas embolism during laparoscopic surgery for colorectal cancer and liver metastasis -A case report-.腹腔镜结直肠癌和肝转移癌手术中二氧化碳气体栓塞致心跳骤停-1 例报告-
Korean J Anesthesiol. 2012 Nov;63(5):469-72. doi: 10.4097/kjae.2012.63.5.469. Epub 2012 Nov 16.
3
Carbon dioxide: the cause of devastating stroke without hemodynamic compromise during laparoscopic nephrectomy with injury of the inferior vena cava: A case report.二氧化碳:腹腔镜下肾切除术损伤下腔静脉导致无血流动力学障碍的破坏性中风的原因:一例报告。
Medicine (Baltimore). 2021 Feb 26;100(8):e24892. doi: 10.1097/MD.0000000000024892.
4
Detection of paradoxical carbon dioxide gas embolism with opening of patent foramen ovale by perioperative transesophageal echocardiography during laparoscopic hepatectomy - A case report.腹腔镜肝切除术中经食管超声心动图检测卵圆孔未闭开放导致的矛盾性二氧化碳气体栓塞——1例病例报告
Anesth Pain Med (Seoul). 2022 Oct;17(4):397-403. doi: 10.17085/apm.22170. Epub 2022 Oct 19.
5
Gas embolism during laparoscopic cholecystectomy.腹腔镜胆囊切除术中的气体栓塞
J Laparoendosc Adv Surg Tech A. 2005 Aug;15(4):387-90. doi: 10.1089/lap.2005.15.387.
6
Successful resuscitation after carbon dioxide embolism during laparoscopy.腹腔镜检查期间二氧化碳栓塞后的成功复苏。
Surg Laparosc Endosc Percutan Tech. 2012 Jun;22(3):e164-7. doi: 10.1097/SLE.0b013e31825150a9.
7
Successful use of extracorporeal membrane oxygenation for pulmonary embolism, prolonged cardiac arrest, post-partum: a cannulation dilemma.体外膜肺氧合在肺栓塞、长时间心脏骤停、产后的成功应用:插管难题
Perfusion. 2015 Mar;30(2):106-10. doi: 10.1177/0267659114555818. Epub 2014 Oct 10.
8
Paradoxical carbon dioxide embolism during laparoscopic hepatectomy without intracardiac shunt: A case report.无心脏内分流的腹腔镜肝切除术中的反常二氧化碳栓塞:一例报告。
World J Clin Cases. 2022 Mar 26;10(9):2908-2915. doi: 10.12998/wjcc.v10.i9.2908.
9
Neurosurgical procedures in the semisitting position: evaluation of the risk of paradoxical venous air embolism in patients with a patent foramen ovale.半坐卧位下的神经外科手术:卵圆孔未闭患者发生矛盾性静脉空气栓塞的风险评估。
World Neurosurg. 2014 Jan;81(1):159-64. doi: 10.1016/j.wneu.2013.01.003. Epub 2013 Jan 4.
10
[Heart arrest caused by CO2 embolism during a laparoscopic cholecystectomy].[腹腔镜胆囊切除术中二氧化碳栓塞导致的心搏骤停]
Rev Esp Anestesiol Reanim. 2003 Jun-Jul;50(6):295-8.

引用本文的文献

1
Occurrence of cerebral CO embolism during laparoscopic adrenalectomy: a case report and review of the literature.腹腔镜肾上腺切除术中脑一氧化碳栓塞的发生:一例病例报告及文献复习
J Med Case Rep. 2025 Jul 1;19(1):299. doi: 10.1186/s13256-025-05305-z.
2
Needle insufflation into the liver as a cause of massive gas embolus and CVA.经皮肝穿刺注气导致大量气体栓塞和脑血管意外。
J Surg Case Rep. 2021 Oct 27;2021(10):rjab448. doi: 10.1093/jscr/rjab448. eCollection 2021 Oct.
3
Paradoxical carbon dioxide embolism during laparoscopic surgery without intracardiac right-to-left shunt: two case reports and a brief review of the literature.

本文引用的文献

1
Carbon dioxide embolism during laparoscopic surgery.腹腔镜手术中的二氧化碳栓塞。
Yonsei Med J. 2012 May;53(3):459-66. doi: 10.3349/ymj.2012.53.3.459.
2
Paradoxical air embolism due to electrosurgical vaporization during hysteroscopic myomectomy.宫腔镜子宫肌瘤切除术中电外科汽化导致的反常空气栓塞
Korean J Anesthesiol. 2012 Mar;62(3):293-4. doi: 10.4097/kjae.2012.62.3.293. Epub 2012 Mar 21.
3
Transoesophageal echocardiography shows high risk of gas embolism during laparoscopic hepatic resection under carbon dioxide pneumoperitoneum.
无心脏内右向左分流的腹腔镜手术期间的反常二氧化碳栓塞:两例报告及文献简要综述
J Int Med Res. 2020 Aug;48(8):300060520933816. doi: 10.1177/0300060520933816.
4
Cerebral carbon dioxide embolism after kidney cancer laparoscopic surgery with full neurological recovery: A case report.肾癌腹腔镜手术后发生脑二氧化碳栓塞且神经功能完全恢复:一例报告
Medicine (Baltimore). 2020 Jul 2;99(27):e20986. doi: 10.1097/MD.0000000000020986.
5
Cerebral infarction detected after laparoscopic partial hepatectomy: case report.腹腔镜下部分肝切除术后发现脑梗死:病例报告
JA Clin Rep. 2019 Dec 12;5(1):82. doi: 10.1186/s40981-019-0301-7.
6
Cerebral Infarction by Paradoxical Gas Embolism During Laparoscopic Liver Resection with Injury of the Hepatic Vessels in a Patient without a Right-to-Left Systemic Shunt.在无右向左分流系统的患者中,腹腔镜肝切除术中肝血管损伤导致反常气体栓塞引起脑梗死。
Am J Case Rep. 2017 Jun 20;18:687-691. doi: 10.12659/ajcr.903777.
经食管超声心动图显示,在二氧化碳气腹下进行腹腔镜肝切除时,气体栓塞风险很高。
Br J Surg. 2002 Jul;89(7):870-6. doi: 10.1046/j.1365-2168.2002.02123.x.
4
Complications of transperitoneal laparoscopic surgery in urology: review of 1,311 procedures at a single center.泌尿外科经腹腹腔镜手术的并发症:单中心1311例手术回顾
J Urol. 2002 Jul;168(1):23-6.
5
The detection of interatrial flow patency in awake and anesthetized patients: a comparative study using transnasal transesophageal echocardiography.清醒和麻醉患者房间隔血流通畅性的检测:一项使用经鼻经食管超声心动图的对比研究。
Anesth Analg. 2001 May;92(5):1111-6. doi: 10.1097/00000539-200105000-00006.
6
A case of acute pulmonary embolism and acute myocardial infarction with suspected paradoxical embolism after laparoscopic surgery.1例腹腔镜手术后发生急性肺栓塞和急性心肌梗死且疑似反常栓塞的病例。
Heart Vessels. 1999;14(4):197-200. doi: 10.1007/BF02482307.
7
Cardiopulmonary responses to experimental venous carbon dioxide embolism.
Surg Endosc. 1998 Aug;12(8):1025-30. doi: 10.1007/s004649900773.
8
Gas embolism during laparoscopy: a report of seven cases in patients with previous abdominal surgical history.腹腔镜手术期间的气体栓塞:7例有腹部手术史患者的报告
Surg Endosc. 1996 Feb;10(2):166-9. doi: 10.1007/s004649910038.
9
Detection of gas embolism by transesophageal echocardiography during laparoscopic cholecystectomy.腹腔镜胆囊切除术期间经食管超声心动图检测气体栓塞
Anesth Analg. 1996 Jan;82(1):119-24. doi: 10.1097/00000539-199601000-00021.
10
Paradoxic air embolism during venous air embolism: transesophageal echocardiographic evidence of transpulmonary air passage.静脉空气栓塞时的反常空气栓塞:经食管超声心动图证实的肺内空气通道证据
Anesthesiology. 1994 Apr;80(4):947-50. doi: 10.1097/00000542-199404000-00030.