Suppr超能文献

肾癌腹腔镜手术后发生脑二氧化碳栓塞且神经功能完全恢复:一例报告

Cerebral carbon dioxide embolism after kidney cancer laparoscopic surgery with full neurological recovery: A case report.

作者信息

Li Yuan, Zhang Enlong, Yuan Huishu

机构信息

Department of Radiology, Peking University Third Hospital, Haidian District.

Department of Radiology, Peking University International Hospital, Life Park Road No.1 Life Science Park of Zhong Guancun, Chang Ping District, Beijing, China.

出版信息

Medicine (Baltimore). 2020 Jul 2;99(27):e20986. doi: 10.1097/MD.0000000000020986.

Abstract

RATIONALE

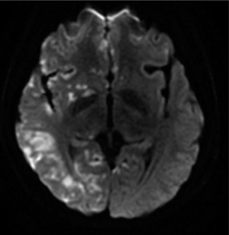
Cerebral carbon dioxide embolism (CCDE) is a rare cause of stroke and is a recognized life-threatening complication.CCDE may result from direct intravascular CO2 insufflation during surgery. Due to the lack of typical clinical manifestations, the disease is often missed or mistaken for another condition. The clinical signs and symptoms depend on the speed and volume of embolized gas entering the blood and the patient's condition. In particular, patent foramen ovale has been found to be associated, in rare cases, with the intraoperative entry of gas into the arterial system.

PATIENT CONCERNS

In this report, we present the case of a 35-year-old woman with kidney cancer who underwent laparoscopic right partial nephrectomy.

DIAGNOSIS

After the laparoscopic surgery, the patient was initially diagnosed with acute cerebral infarction.

INTERVENTIONS

The patient was treated according to the standard method for treatment of acute cerebrovascular disease.

OUTCOMES

Three days after the laparoscopic procedure, the patient gained consciousness, and she was discharged without any neurologic sequelae on postoperative day 12.

LESSONS SUBSECTIONS AS PER STYLE

Due to the low incidence and sudden occurrence of CCDE, there is a strong likelihood of missed diagnosis or misdiagnosis, and it is; therefore, important to be aware of the risk. The findings from this report would be highly useful as a reference to clinicians in the future.

摘要

理论依据

脑二氧化碳栓塞(CCDE)是一种罕见的中风病因,是一种公认的危及生命的并发症。CCDE可能源于手术期间直接向血管内注入二氧化碳。由于缺乏典型的临床表现,该病常被漏诊或误诊为其他病症。临床体征和症状取决于栓塞气体进入血液的速度和量以及患者的病情。特别是,已发现卵圆孔未闭在罕见情况下与术中气体进入动脉系统有关。

患者情况

在本报告中,我们介绍了一名35岁肾癌女性患者,她接受了腹腔镜右半肾切除术。

诊断

腹腔镜手术后,患者最初被诊断为急性脑梗死。

干预措施

患者按照急性脑血管疾病的标准治疗方法进行治疗。

结果

腹腔镜手术后三天,患者恢复意识,术后第12天出院,无任何神经后遗症。

经验教训

由于CCDE发病率低且发病突然,漏诊或误诊的可能性很大,因此,了解其风险很重要。本报告的研究结果对未来临床医生具有很高的参考价值。

https://cdn.ncbi.nlm.nih.gov/pmc/blobs/e410/7337529/a754bf45eb3f/medi-99-e20986-g001.jpg

文献AI研究员

20分钟写一篇综述,助力文献阅读效率提升50倍。

立即体验

用中文搜PubMed

大模型驱动的PubMed中文搜索引擎

马上搜索

文档翻译

学术文献翻译模型,支持多种主流文档格式。

立即体验