Suppr超能文献

肝脏及后纵隔包虫病

Hydatidosis of the liver and posterior mediastinum.

作者信息

Quail Jacob F, Gramins Daniel L, Dutton William D

机构信息

Department of General Surgery, Naval Medical Center San Diego, 34800 Bob Wilson Drive, San Diego, CA 92134, USA.

Department of Cardiothoracic Surgery, Naval Medical Center San Diego, 34800 Bob Wilson Drive, San Diego, CA 92134, USA.

出版信息

Int J Surg Case Rep. 2015;7C:26-8. doi: 10.1016/j.ijscr.2014.12.031. Epub 2014 Dec 27.

Abstract

INTRODUCTION

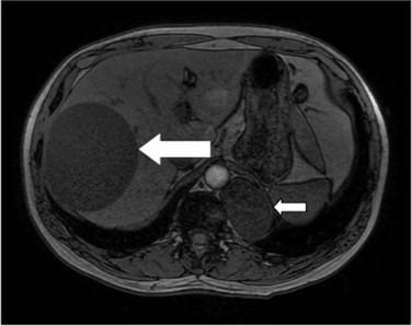
Cystic echinococcus (CE) is an endemic zoonosis secondary to infection by the larval form of the cestode Echinococcus granulosus. An intermediate host, humans enter the organism's life cycle by exposure to infected canid feces. The liver is the most common location of CE while mediastinal hydatid cysts are rarely reported.

PRESENTATION OF CASE

We report a case of synchronous CE of the liver and posterior mediastinum treated sequentially using chemotherapy, percutaneous aspiration with injection of a scolicidal agent and re-aspiration (PAIR) and then staged minimally-invasive surgeries.

DISCUSSION

Synchronous CE involving the liver and posterior mediastinum is rare. The treatment of hydatid liver and mediastinal disease is multimodal including chemotherapy, percutaneous and laparoscopic or open surgical interventions. One option for controlled puncture of hepatic and mediastinal CE includes PAIR followed by surgery.

CONCLUSION

The sequential use of chemotherapy and PAIR followed by surgery provides another treatment strategy for management of CE. We believe this strategy may be used safely in locations without endemic CE, including most regions of the United States.

摘要

引言

囊性棘球蚴病(CE)是一种由细粒棘球绦虫幼虫感染引起的地方性人畜共患病。作为中间宿主,人类通过接触受感染犬科动物的粪便进入该生物体的生命周期。肝脏是CE最常见的发病部位,而纵隔包虫囊肿则鲜有报道。

病例介绍

我们报告一例肝脏和后纵隔同步发生CE的病例,该病例先后接受了化疗、经皮穿刺抽吸并注入杀头节剂及再次抽吸(PAIR)治疗,随后进行了分期微创手术。

讨论

肝脏和后纵隔同时发生CE的情况较为罕见。肝包虫病和纵隔疾病的治疗方法是多模式的,包括化疗、经皮治疗以及腹腔镜或开放手术干预。一种用于控制肝和纵隔CE穿刺的方法是先进行PAIR,然后再进行手术。

结论

化疗和PAIR序贯治疗后再进行手术为CE的治疗提供了另一种策略。我们认为,这种策略可在美国等大多数无地方性CE的地区安全使用。

https://cdn.ncbi.nlm.nih.gov/pmc/blobs/2217/4336409/93663f8099b0/gr1.jpg

文献AI研究员

20分钟写一篇综述,助力文献阅读效率提升50倍。

立即体验

用中文搜PubMed

大模型驱动的PubMed中文搜索引擎

马上搜索

文档翻译

学术文献翻译模型,支持多种主流文档格式。

立即体验