• 文献检索
  • 文档翻译
  • 深度研究
  • 学术资讯
  • Suppr Zotero 插件Zotero 插件
  • 邀请有礼
  • 套餐&价格
  • 历史记录
应用&插件
Suppr Zotero 插件Zotero 插件浏览器插件Mac 客户端Windows 客户端微信小程序
定价
高级版会员购买积分包购买API积分包
服务
文献检索文档翻译深度研究API 文档MCP 服务
关于我们
关于 Suppr公司介绍联系我们用户协议隐私条款
关注我们

Suppr 超能文献

核心技术专利:CN118964589B侵权必究
粤ICP备2023148730 号-1Suppr @ 2026

文献检索

告别复杂PubMed语法,用中文像聊天一样搜索,搜遍4000万医学文献。AI智能推荐,让科研检索更轻松。

立即免费搜索

文件翻译

保留排版,准确专业,支持PDF/Word/PPT等文件格式,支持 12+语言互译。

免费翻译文档

深度研究

AI帮你快速写综述,25分钟生成高质量综述,智能提取关键信息,辅助科研写作。

立即免费体验

儿童摄入异物:两例报告

Ingested foreign bodies in children: a report of two cases.

作者信息

Singh Gurjit, Sharma Surendra, Khurade Shrikant, Gooptu Somnath

机构信息

Department of General Surgery, Padm. Dr. D.Y. Patil Medical College, Pimpri, Pune, Maharashtra, India.

出版信息

J Family Med Prim Care. 2014 Oct-Dec;3(4):452-5. doi: 10.4103/2249-4863.148148.

DOI:10.4103/2249-4863.148148
PMID:25657965
原文链接:https://pmc.ncbi.nlm.nih.gov/articles/PMC4311364/
Abstract

INTRODUCTION

Accidental foreign body ingestion and impaction of food bolus present as an emergency. Pediatric population is the most vulnerable. Since the act may go unnoticed, the child may present late. However, most foreign bodies pass spontaneously in the stools.

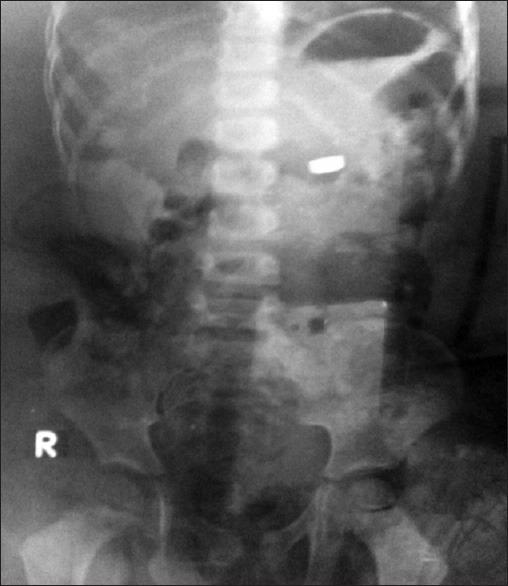
CASE CAPSULE

Two children were brought with history of battery ingestion. In one case, an emergency gastro intestinal endoscopy had to be done for the foreign body removal which was made up of corroded battery. In the other case, no interventation was undertaken & an uncorroded battery passed per anum along with stools after 15 days of ingestion.

CONCLUSION

Decision regarding immediate intervention or conservative approach will require consideration of the level of lodgement & type of foreign body. Prevention is possible if parents/guardians exercise control on their wards & are aware of implications of such an event.

摘要

引言

意外吞食异物及食物团块嵌塞是一种急症。儿童群体最为脆弱。由于这种行为可能未被注意到,孩子可能就诊较晚。然而,大多数异物会随粪便自行排出。

病例摘要

两名儿童因吞食电池前来就诊。其中一例,因异物为腐蚀的电池,必须进行紧急胃肠内镜检查以取出异物。另一例未采取干预措施,吞食后15天,一枚未腐蚀的电池随粪便经肛门排出。

结论

关于立即干预或保守治疗的决策需要考虑异物嵌塞的位置及异物类型。如果家长/监护人对其孩子加以照管并了解此类事件的影响,预防是可行的。

https://cdn.ncbi.nlm.nih.gov/pmc/blobs/bafa/4311364/ed09ed6b9551/JFMPC-3-452-g004.jpg
https://cdn.ncbi.nlm.nih.gov/pmc/blobs/bafa/4311364/182864114024/JFMPC-3-452-g001.jpg
https://cdn.ncbi.nlm.nih.gov/pmc/blobs/bafa/4311364/94a3df2911b1/JFMPC-3-452-g002.jpg
https://cdn.ncbi.nlm.nih.gov/pmc/blobs/bafa/4311364/e62a72d6d4d9/JFMPC-3-452-g003.jpg
https://cdn.ncbi.nlm.nih.gov/pmc/blobs/bafa/4311364/ed09ed6b9551/JFMPC-3-452-g004.jpg
https://cdn.ncbi.nlm.nih.gov/pmc/blobs/bafa/4311364/182864114024/JFMPC-3-452-g001.jpg
https://cdn.ncbi.nlm.nih.gov/pmc/blobs/bafa/4311364/94a3df2911b1/JFMPC-3-452-g002.jpg
https://cdn.ncbi.nlm.nih.gov/pmc/blobs/bafa/4311364/e62a72d6d4d9/JFMPC-3-452-g003.jpg
https://cdn.ncbi.nlm.nih.gov/pmc/blobs/bafa/4311364/ed09ed6b9551/JFMPC-3-452-g004.jpg

相似文献

1
Ingested foreign bodies in children: a report of two cases.儿童摄入异物:两例报告
J Family Med Prim Care. 2014 Oct-Dec;3(4):452-5. doi: 10.4103/2249-4863.148148.
2
Management of foreign body ingestion and food bolus impaction in children: a retrospective analysis of 675 cases.儿童异物吞食和食物团块梗阻的管理:675例回顾性分析
Turk J Pediatr. 2011 Jul-Aug;53(4):381-7.
3
Duodenal perforation nine months after accidental foreign body ingestion, a case report.误吞异物九个月后十二指肠穿孔:一例报告
BMC Surg. 2019 Sep 10;19(1):132. doi: 10.1186/s12893-019-0594-5.
4
Removal of foreign bodies in the upper gastrointestinal tract in adults: European Society of Gastrointestinal Endoscopy (ESGE) Clinical Guideline.成人上消化道异物取出术:欧洲胃肠内镜学会(ESGE)临床指南
Endoscopy. 2016 May;48(5):489-96. doi: 10.1055/s-0042-100456. Epub 2016 Feb 10.
5
Endoscopic techniques and management of foreign body ingestion and food bolus impaction in the upper gastrointestinal tract: a retrospective analysis of 139 cases.内镜技术与上消化道异物摄入和食物团块梗阻的处理:139例回顾性分析
J Clin Gastroenterol. 2006 Oct;40(9):784-9. doi: 10.1097/01.mcg.0000225602.25858.2c.
6
Lower esophageal sphincter relaxation by administrating hyoscine-N-butylbromide for esophageal impaction by coin - shaped foreign bodies; prospective clinical study in pediatric population.通过给予丁溴东莨菪碱使食管下括约肌松弛用于治疗硬币形异物所致食管异物嵌顿:儿科人群的前瞻性临床研究
Folia Med Cracov. 2016;56(4):21-29.
7
Overtube-Assisted Foreign Body Removal: A Review of Endoscopic Management and Case Illustration.外套管辅助异物取出术:内镜治疗综述及病例说明
Cureus. 2017 Sep 29;9(9):e1730. doi: 10.7759/cureus.1730.
8
Endoscopic removal of foreign bodies in children.儿童内镜下异物取出术
Kaohsiung J Med Sci. 2007 Sep;23(9):447-52. doi: 10.1016/S1607-551X(08)70052-4.
9
Button battery ingestion: an analysis of 25 cases.纽扣电池吞食:25例病例分析
Chang Gung Med J. 2002 Mar;25(3):169-74.
10
Endoscopic Retrieval vs Observation in Cylindrical Battery Ingestion.圆柱形电池吞食的内镜取出与观察对比
Ochsner J. 2019 Summer;19(2):157-165. doi: 10.31486/toj.18.0020.

引用本文的文献

1
Accidental Ingestion of an Open Safety Pin by a Two-Year-Old Male Child: A Case Report.一名两岁男童意外吞食开口安全别针:病例报告
Cureus. 2025 Apr 24;17(4):e82929. doi: 10.7759/cureus.82929. eCollection 2025 Apr.
2
Foreign body in the gastrointestinal tract in children: A tertiary hospital experience.儿童胃肠道内异物:一家三级医院的经验。
Afr J Paediatr Surg. 2023 Jul-Sep;20(3):224-228. doi: 10.4103/ajps.AJPS_148_20.
3
Epidemiological, Clinical and Radiological Profile of Patients with Foreign Body Oesophagus: A Prospective Study.

本文引用的文献

1
Management of ingested foreign bodies and food impactions.摄入异物及食物嵌塞的处理
Gastrointest Endosc. 2011 Jun;73(6):1085-91. doi: 10.1016/j.gie.2010.11.010.
2
Foreign body ingestion in children.儿童误吞异物
Am Fam Physician. 2005 Jul 15;72(2):287-91.
3
Foreign body ingestion in infants and children: location, location, location.婴幼儿吞食异物:位置,位置,还是位置。
食管异物患者的流行病学、临床及影像学特征:一项前瞻性研究
Indian J Otolaryngol Head Neck Surg. 2022 Dec;74(4):443-448. doi: 10.1007/s12070-021-02553-5. Epub 2021 Apr 19.
4
Foreign body ingestion in an infant: A high index of suspicion is required.婴儿吞食异物:需要高度怀疑。
Pediatr Investig. 2019 Sep 26;3(3):188-190. doi: 10.1002/ped4.12149. eCollection 2019 Sep.
Clin Pediatr (Phila). 2002 Nov-Dec;41(9):633-40. doi: 10.1177/000992280204100901.
4
Management of esophageal foreign bodies: a retrospective review of 400 cases.食管异物的管理:400例病例的回顾性研究
Eur J Cardiothorac Surg. 2002 Apr;21(4):653-6. doi: 10.1016/s1010-7940(02)00032-5.
5
Management of ingested foreign bodies in children.儿童摄入异物的处理
J Okla State Med Assoc. 2001 Jun;94(6):183-6.
6
Dental prosthesis ingested and impacted in the esophagus and orolaryngopharynx.假牙误吞并嵌顿于食管及口咽和喉咽部。
J Otolaryngol. 1998 Aug;27(4):190-4.
7
Fatal upper esophageal hemorrhage caused by a previously ingested chicken bone: case report.既往吞食鸡骨导致致命性食管上段出血:病例报告
Am J Forensic Med Pathol. 1998 Jun;19(2):166-8. doi: 10.1097/00000433-199806000-00013.
8
Management of foreign bodies of the upper gastrointestinal tract: update.上消化道异物的处理:最新进展
Gastrointest Endosc. 1995 Jan;41(1):39-51. doi: 10.1016/s0016-5107(95)70274-1.