Suppr超能文献

一例罕见的人工主动脉瓣心内膜炎合并主动脉周围结构多发瘘管病例。

A rare case of prosthetic aortic valve endocarditis complicated with multiple fistula to peri aortic structure.

作者信息

Sabzi Feridoun, Faraji Reza

机构信息

1. Department of Cardiovascular Surgery, Imam Ali Heart Center, Kermanshah University of Medical Sciences, Kermanshah, Iran.

2. Yazd Cardiovascular Research Centre, Shahid Sadoughi University of Medical Sciences, Yazd, Iran.

出版信息

Med J Islam Repub Iran. 2014 Dec 10;28:146. eCollection 2014.

Abstract

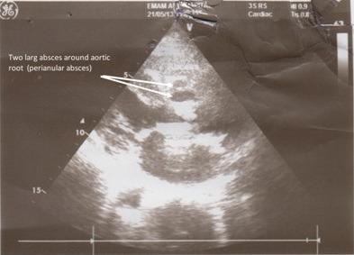
Multiple aorto-cardiac cavity communications is very rare but important complication of prosthetic aortic valve endocarditis. The case below illustrates multiple aorto-cardiac cavity fistula formation following prostethic aortic valve endocarditis presented with slowly progressive symptoms of heart failure. A brief review of surgical reconstruction and the existing literature are presented, including emphasis on pre and intra operative echocardiographic diagnosis and treatment.

摘要

多发性主动脉-心腔交通是人工主动脉瓣心内膜炎非常罕见但重要的并发症。以下病例说明了人工主动脉瓣心内膜炎后多发性主动脉-心腔瘘的形成,表现为心力衰竭的缓慢进展症状。本文简要回顾了手术重建及现有文献,重点强调术前和术中超声心动图诊断及治疗。

https://cdn.ncbi.nlm.nih.gov/pmc/blobs/f393/4322321/95fe572996a7/MJIRI-28-146-g001.jpg

相似文献

2
Clinical and echocardiographic features of aorto-atrial fistulas.
Cardiovasc Ultrasound. 2005 Jan 17;3:1. doi: 10.1186/1476-7120-3-1.
4
Echocardiographic evolution of prosthetic aortic valve endocarditis with aorto-left atrial fistula formation.
J Am Soc Echocardiogr. 2009 Feb;22(2):210.e5-6. doi: 10.1016/j.echo.2008.12.002.
9
Repair of aorto-left ventricular and aorto-right ventricular fistulas following prosthetic valve endocarditis.
J Card Surg. 2013 Nov;28(6):654-9. doi: 10.1111/jocs.12197. Epub 2013 Aug 11.

引用本文的文献

1
Evaluation of epidemiological, clinical, and microbiological features of definite infective endocarditis.
GMS Hyg Infect Control. 2017 Jan 16;12:Doc01. doi: 10.3205/dgkh000286. eCollection 2017.

本文引用的文献

1
Percutaneous closure of aortic prosthetic paravalvular regurgitation with two amplatzer septal occluders.
Anesth Analg. 2009 Feb;108(2):437-8. doi: 10.1213/ane.0b013e31818fbddc.
3
Impact of intraoperative transesophageal echocardiography in patients undergoing valve replacement.
Ann Thorac Surg. 2004 Aug;78(2):579-83; discussion 583-4. doi: 10.1016/j.athoracsur.2004.02.075.
4
Clinical presentation of infective endocarditis.
Cardiol Clin. 2003 May;21(2):159-66, v. doi: 10.1016/s0733-8651(03)00023-7.
5
Aortocardiac fistulas complicating infective endocarditis.
Am J Cardiol. 2001 Mar 1;87(5):652-4, A10. doi: 10.1016/s0002-9149(00)01449-1.
7
Diagnosis and management of traumatic aorto-right ventricular fistulas.
Ann Thorac Surg. 1998 Jan;65(1):288-92. doi: 10.1016/s0003-4975(97)01084-9.
8
Aorto-left atrial fistula. A reversible cause of acute refractory heart failure.
Chest. 1997 Mar;111(3):828-31. doi: 10.1378/chest.111.3.828.
9

文献AI研究员

20分钟写一篇综述,助力文献阅读效率提升50倍。

立即体验

用中文搜PubMed

大模型驱动的PubMed中文搜索引擎

马上搜索

文档翻译

学术文献翻译模型,支持多种主流文档格式。

立即体验